日前,记者从贵航贵阳医院了解到,该院泌尿外科使用技术最新的“前列腺钬激光剜除术”成功治疗一名高龄大体积前列腺增生症患者,目前患者病情平稳,已康复出院。
据了解,87岁的李大爷五年前开始出现尿频、尿急、夜尿增多等典型的下尿路症状,经常解不出小便需要留置尿管,因治疗效果不尽人意,备受前列腺增生症折磨多年。
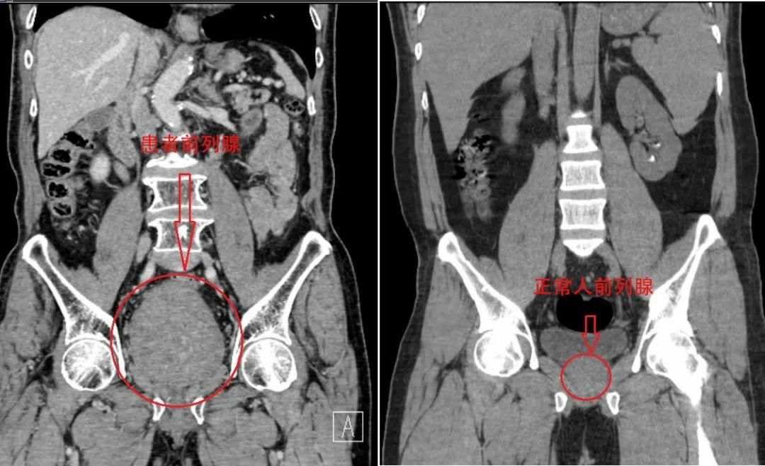
“这个病人是个高龄的老年男性,他87岁了,年龄确实也比较大,身体的一般情况也还可以,我们检查下来发现他前列腺的体积有400多克,他一直排尿困难也有很多年了,一直想解决问题,但一直拖到了现在才来医院。”贵航贵阳医院泌尿外科主任李永光告诉记者。

据了解,正常前列腺重量约20g,而李大爷的前列腺重量达到惊人的400g,增重近20倍。然而,能解决李大爷痛苦的方法有两种选择,一种是通过膀胱造瘘或者长期留置尿管,这种方案虽然简单,但是今后的生活及护理极不方便,会给患者造成很大的心理负担;另一种就是将增生的前列腺用钬激光“切掉”,经过抉择后李大爷选择进行手术。

“大体积的前列腺微创手术是我院泌尿外科的优势项目,手术通常30分钟即可完成,但400g的超巨大前列腺手术对于我院来说还是首次,手术难度较大。我们在为李大爷进行了全面的评估后进行了手术,目前病人术后恢复良好,已经出院回家休养。”李永光表示。
据李永光医生介绍,术式采用的是目前创伤最小、恢复最快、技术最新的“前列腺钬激光剜除术”,由于前列腺体积巨大,血运丰富,极易出血,手术风险较大,并且该手术对设备要求很高,普通的电切术式难以应对如此大的前列腺,巨大的前列腺给术者带来很大的挑战。在经验丰富的术者沉着应对下,手术顺利完成,术后3天即拔除尿管,现在李大爷已康复出院。
在此,医院也温馨提示:男性朋友要定期体检,做到早发现早预防早治疗。当出现性功能障碍、包皮过长、前列腺疾病、生殖感染等男科疾病时,可以免费在线咨询医院医生,找出病因,并进行规范治疗。
本台记者:林佳艺