“老师,您帮我开个磁共振吧。”周五下午门诊即将结束,抬头发现进来的是一个以前在我们科轮转过的女学生,四五年过去了,虽然人胖了,样貌还认得出。
“怎么了,你哪里不舒服吗?”我关切的问道。
“最近用手机发现不太利索,手有点不受控制!”明显的感觉她有点有气无力,尽管戴着口罩,也能感受到她紧张的表情。
我马上调出她的病历,原来去年12月份她就发现了肺癌,已经化疗了一次,因为耐受性差,一直没继续治疗,现在三个月过去了,出现了颅脑症状。
“不好,可能脑转移了!”我心里想到可能的恶果,一边安慰她一边很快给她开具了颅脑MRI,嘱咐尽快去检查,然后回来诊室找我。
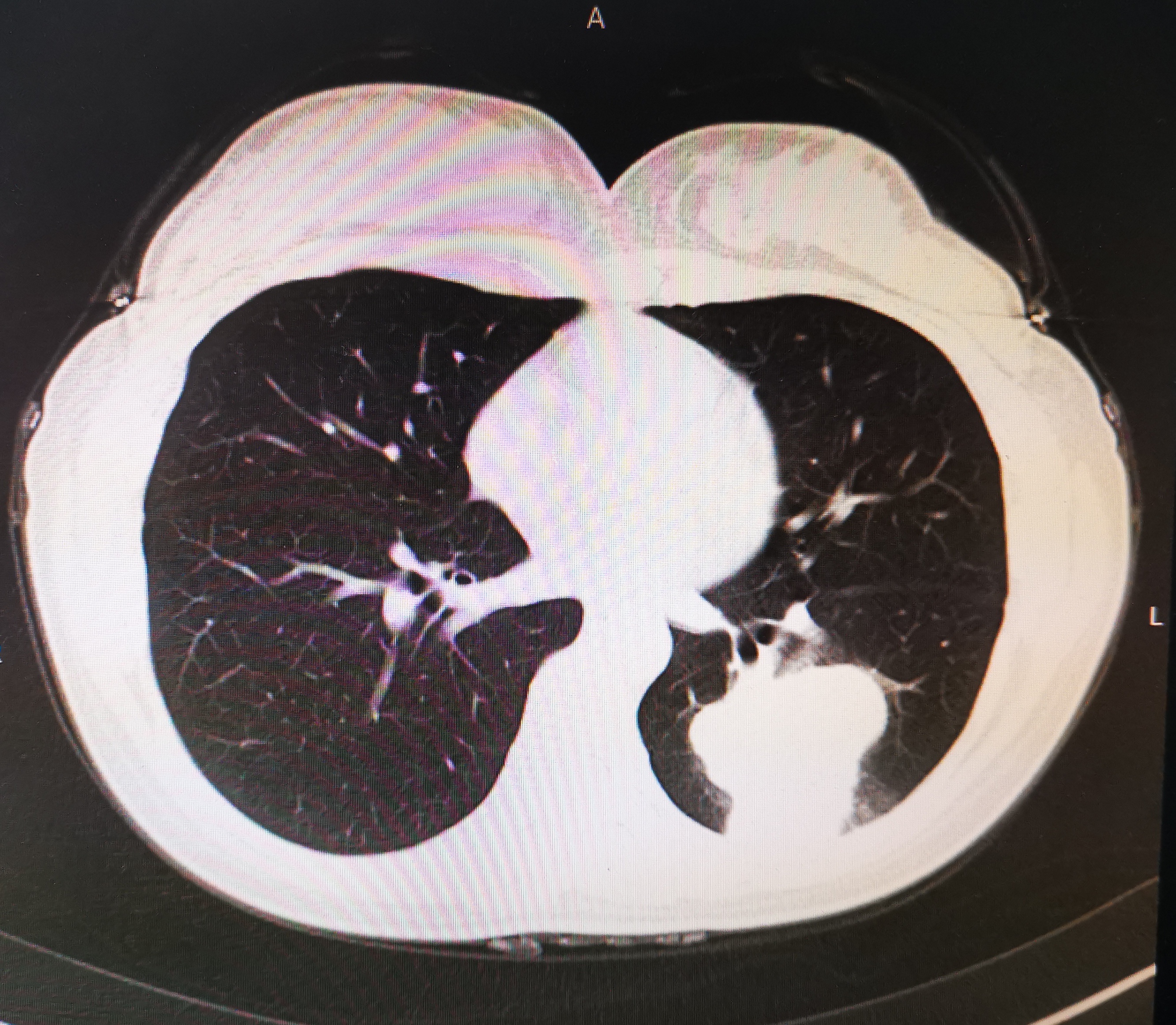
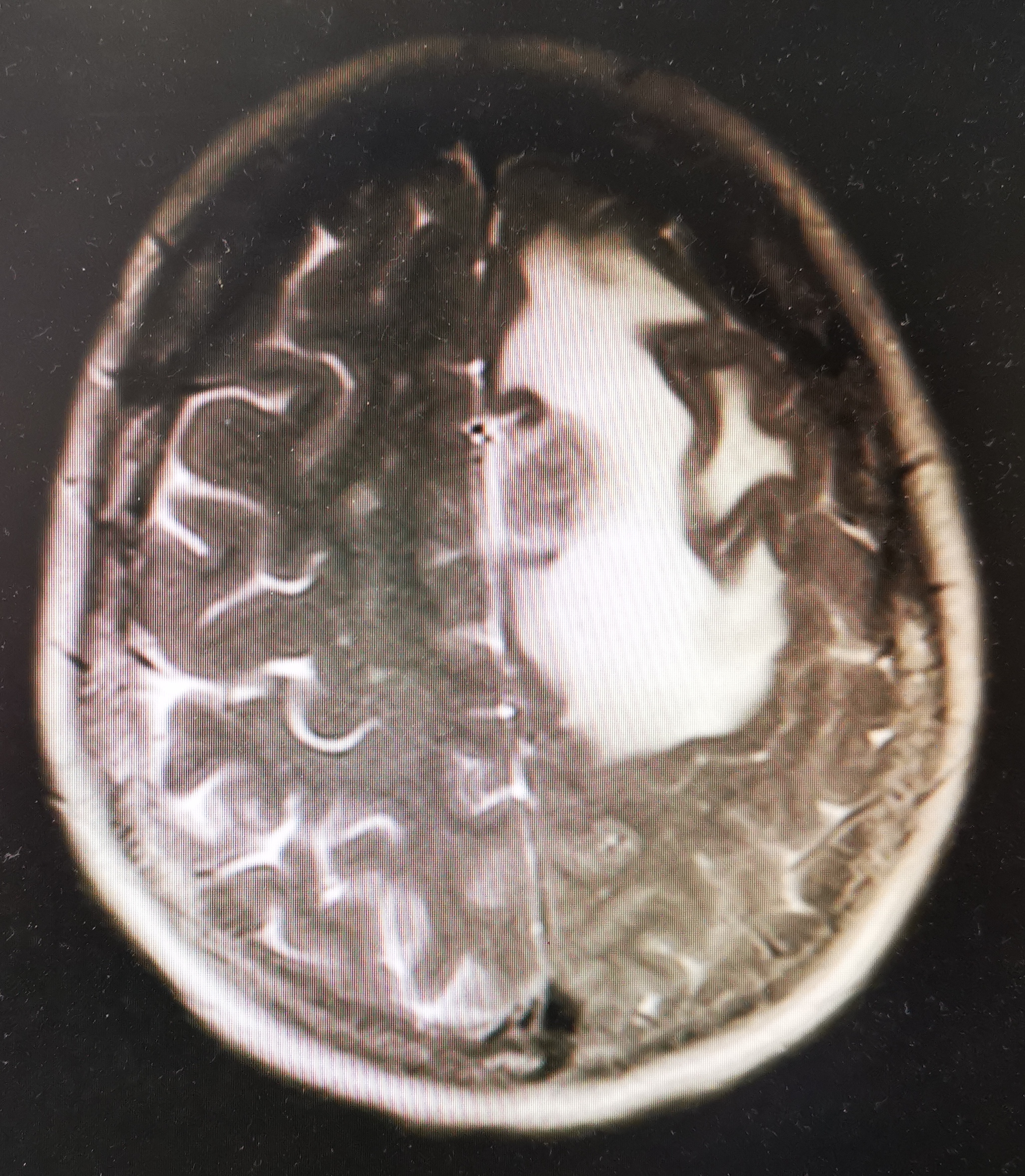
一刻钟后她回来了,这时我已经打开了她的影像图片,很遗憾,电脑显示出现大面积异常信号区,很明确的转移了!看到她绝望的神情,以及伤心的哭泣声,我痛苦极了。

肺癌图片
肺癌图片 脑转移图片

脑转移MRI图片
肺癌是发病率最高的恶性肿瘤,预后不佳,尤其年轻患者,若发现较晚,往往预后更差。那么肺癌应该如何早期发现并诊治呢?希望下面的介绍为大家带来帮助。
原发性支气管肺癌,简称肺癌,起源于气管、支气管粘膜或腺体,是最常见的肺部原发性恶性肿瘤。根据病理组织学,可分为非小细胞肺癌和小细胞肺癌。其中非小细胞肺癌主要包括腺癌和鳞癌。不同类型肺癌治疗不同,预后也有差异。
肺癌的病因尚不完全明确,致病因素主要包括:吸烟、职业暴露、空气污染、电离辐射、饮食、遗传以及肺部慢性病史等。
肺癌的临床症状跟肿瘤的大小、部位、类型以及有无转移密切相关。早期肺癌亦可无明显症状,当疾病发展到一定阶段后才出现症状。5%-15%的患者在常规体检时发现。
肺癌的典型和常见症状如下:
1. 咳嗽。肺癌早期最多见的症状是咳嗽,常表现为无痰或少痰的阵发性刺激性干咳。以咳嗽为首发症状者占50%-75%,多见于中央型肺癌,气管易受侵,多为鳞癌或小细胞肺癌。当气管受累加剧时表现为喘鸣,完全堵塞气管会导致肺不张,从而出现气短。
2. 痰中带血或咯血。是最有提示意义的症状,以中央型肺癌多见;以咯血为首发症状的约占肺癌的25%-40%。常表现为特征性的间歇或持续性、反复少量的痰中带血丝,或少量咯血,偶尔有大咯血。
3. 胸痛。约20%的病例表现为胸痛,多数是由原发肿瘤直接侵犯胸壁组织。常表现为胸部不规则的隐痛或钝痛,咳嗽时疼痛加重。当出现持续剧烈、不易控制的胸痛时,提示胸壁的广泛侵犯。当出现肩、胸背部持续性疼痛时,提示侵犯胸壁外组织。
4. 还可出现呼吸困难、发热、胸水、声音嘶哑等表现。
5. 上腔静脉阻塞综合征。肿瘤侵犯纵膈或肿大淋巴结压迫上腔静脉致静脉回流受阻,出现上肢、颈部、面部水肿,严重者可出现头痛、嗜睡、视物模糊等症状。
6. 霍纳综合征。肺尖部癌(pancoast瘤)压迫颈部交感神经,引起患侧眼睑下垂、瞳孔缩小、眼球内陷、同侧胸壁与额部少汗或无汗等症状。
7. 肿瘤远处转移引起的症状。肺癌最常转移到中枢神经系统和骨,症状与转移部位功能相关。
8. 肺外症状。肺癌能产生激素、酶、抗原等具有特殊活性的物质,所以约10-20%的肺癌患者会出现肺外症状,如:肥大性骨关节病、肿瘤相关异位激素分泌综合征等。
所以,一旦出现以上症状,请及时就医诊治,尤其时出现无明显诱因的刺激性干咳对症治疗无效时;反复痰中带血或咯血时;同一部位反复发作炎症、抗感染治疗无效或病情反复不愈者等。
肺癌的治疗手段包括手术、放疗、化疗、靶向治疗等多种治疗方法,具体需要明确肺癌的病理类型、临床分期,对患者的整体状况综合评估,根据多学科MDT结果,制定科学合理的个体化综合诊治方案。

头条图片
回到文初,年轻的学生早早的出现转移,除了发现时病期较晚,没有规范治疗也是重要原因。
综上可见,随诊医学科学发展和治疗技术的进步,肺癌不可怕,早发现、早诊断、早治疗是关键。平时的生活中注意环境卫生,戒烟戒酒,避免接触工业致癌因素,均衡营养,保持心情愉悦,工作劳逸结合,发现问题及时就诊,可以更好的预防癌症的发生!#药事健康超能团# #健康2021#

头条图片