
引言
结核在我国常见且高发,青少年发生结核感染占有相当比例,由于结核治疗过程长、药物副作用大、导致很多结核患者中途放弃治疗。患者罗某是一位14岁留守儿童,1年多前因颈部进行性肿大包块被诊断为淋巴结结核,给予HRZE方案治疗,遗憾的是治疗仅2月患者自行停药。入我院前3个月,患者因颈部淋巴结复发肿大再次被确诊为结核复治。然而在规律规范的四联抗痨治疗过程中,患者先后出现双眼视力下降,最终失明的严重情况。到底是什么夺走了她的视力?……通过本案例告诉大家,我们应重视在结核治疗过程中除抗痨药物副作用以外导致视力损害的其他因素,及时干预,避免发生不可挽回的严重后果。
女孩1年多前颈部包块被诊断为「淋巴结结核」,3个月前复发,治疗过程中出现「双目失明」,是何原因?
该患者是一位14岁的女孩,因「发现颈部包块1年余,复发加重伴视力下降2月」入住我院。1年多前,患者无原因出现右颈部包块,起初为「鹌鹑蛋」大小,于当地医院行颈部包块活检,提示:结节中间见干酪样坏死。当地医院给予异烟肼、利福平、吡嗪酰胺、乙胺丁醇治疗。2月后,颈部包块消失,患者自行停药。
入住我院前3个月,患者再次出现右侧颈部淋巴结肿大,右侧锁骨上淋巴结为新发,伴有破溃及中下腹疼痛。患者再次就诊于当地医院,完善T-sport阳性、淋巴结穿刺培养提示分支杆菌2+、PPD皮试强阳性、血沉 84mm/h;腹部超声提示:腹腔积液,最深处6.5cm。再次给予患者异烟肼、利福平、吡嗪酰胺、乙胺丁醇四联方案规律治疗。治疗1月后,患者颈部淋巴结缩小,腹痛缓解,腹水吸收。
由于有了前次停药复发的经历,这次,女孩在家长的监督下继续规律服药,期待着满疗程治愈。然而天不遂人愿,此后,患者无明显诱因开始出现了视力下降,左眼视物模糊直至无光感,右眼视力亦逐渐下降至50cm距离能数手指。再次到当地医院眼科就诊,双眼黄斑部扫描提示:左眼视神经视网膜病变,双眼视盘周围神经纤维厚度扫描;右眼视盘周围神经纤维层厚度正常,左眼视盘周围神经纤维层厚度变厚。颅脑及眼眶CT平扫未见异常;双眼视力检测:左眼视野全盲,右眼视野严重缺损;VEP:右眼VEP1.0deg,P100波潜伏期延长,振幅值正常;左眼VEP1.0HZ,P2波潜伏期正常,振幅值重度降低。当地眼科给予曲安奈德注射液40mg眼部注射,患者左眼可感强光。同时,当地医生停用了乙胺丁醇。患者为明确病因来我院门诊就诊。
抗痨治疗期间出现视力损害极易令人想到药物因素影响,MRI提示视神经鞘膜积液、视神经强化说明什么?前后两次治疗均为同等剂量,为何二次治疗中出现视力损害?
患者入我科后,根据她的前期诊断及治疗情况,我们迅速给出了初步诊断结果:1、淋巴结结核 培阳 复治;2、结核性腹膜炎;3、双眼视力障碍原因待查:1)药物性损害?2)眼结核?3)其他?
因考虑到结核药物治疗期间,异烟肼及乙胺丁醇导致视力受损的情况是在临床治疗过程中较为多见的副作用。因此,该患者处于抗痨治疗期间出现了视力损害,极易令人想到药物因素的影响。患者住进我科后,立即暂停了所有结核药物的使用。给予维生素b6 10mg 口服 qd,甲钴胺0.5mg bid 营养神经,同时请药学部、眼科会诊针对患者目前情况拟定抗痨治疗方案。
然而遗憾的是,患者入院后,继续停用结核药1周,视力仍无改善,甚至还出现了视力障碍再次加重。左眼再次全盲、右眼仅剩光感的表现。眼科会诊建议:复查眼底照片、vEP、ERG、FFA、OCT及裂隙灯检查。药学部建议:患者使用的四联抗结核药物中,乙胺丁醇和异烟肼均可能引起视神经病变,其中乙胺丁醇的可能性最大,且其严重程度呈时间和剂量依赖性,早期发现和及时停药可于数周到数月消失,极少数发生永久性视觉功能丧失。同时考虑患者出现结核全身多处转移,抗结核治疗仍需坚持,建议利福平+吡嗪酰胺联合治疗。
为了除外合并眼结核以及评价视神经是否损害,我们同时预约了眼眶MRI。复查相关检查结果如下:
1、眼底检查结果:双眼光感,角膜明,前房清,晶体透明,眼底双视乳头边界模糊水肿;
2、VEP:右眼1.0deg,P100波潜伏期延长,振幅值正常;左眼VEP1.0HZ,P2波潜伏期正常,振幅值重度降低;
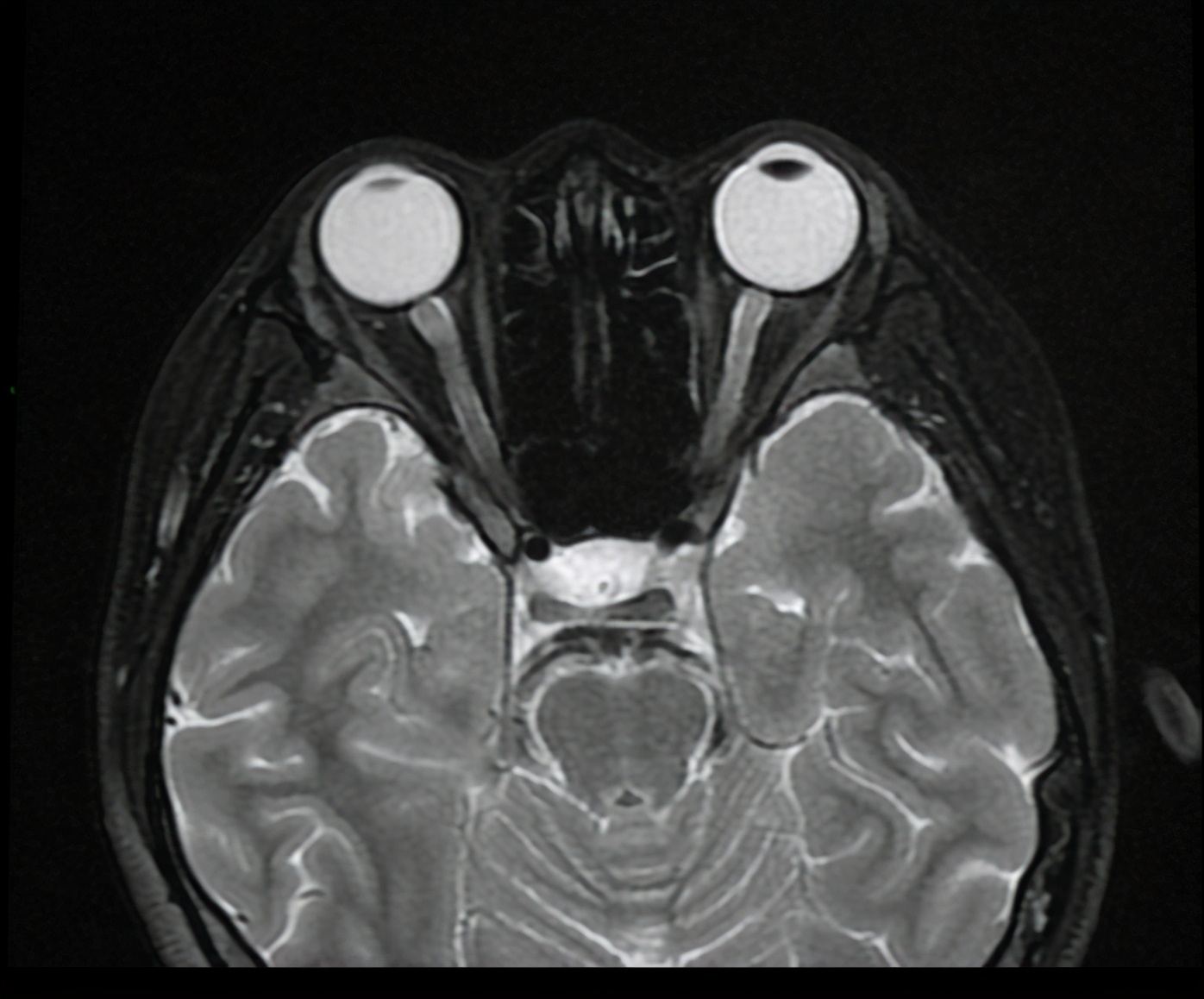
3、眼眶磁共振:双侧视神经鞘膜少量积液,右侧视神经球后段强化明显,考虑炎症性改变可能,双侧桥壁斑片等T1稍长T2信号。

图:眼眶MRI(T2平扫)
MRI提示该患者视神经鞘膜积液、视神经强化。病情进展到此时,似乎我们已经找到了其双目失明的真正原因——视神经病变。那么,现在面临的问题是,前后两次治疗均在同等剂量下进行,患者为何会在第二次治疗中出现视力损害?为何停用异烟肼、乙胺丁醇后视神经的损害迟迟得不到恢复?是停药时间不够,还是患者已出现永久性视神经损害?为何患者双侧视力损害不是同时出现?且双侧视力受损程度不一致?这些都可以用「药物性视神经损害」来解释吗?或者说还有其他原因?带着诸多疑惑,我们再次询问和细致厘清患者起病到病情进展的全过程:
患者1年多前因未规律抗痨治疗导致复治,在首次确诊淋巴结结核之前无其他疾病史,否认起病以来有生活习惯改变、特殊接触史。在首次抗痨治疗2月过程中,患者坚持规律用药,从未出现视物模糊、视力下降、视野缺损或一过性失明的表现。复治的3个月期间,患者无腹泻、皮疹、恶心呕吐、眩晕、头痛等症状,视力损害前无外伤或其他诱因。
面对患者视力一天天持续下降的情况,我们很清楚,这对于一个14岁的患者而言如果未来将持续面对黑暗,是一件极其残酷的事情。此时,寻找「视神经损害」的病因成为我们的重点工作,不仅要迅速找出病因,与消失的视力赛跑,还需要很高的准确性,因为患者没有时间等待。
多学科会诊、在与时间赛跑中 求因 ……这种病与结核病关系密切,关键在于用药调整?
针对「视神经病变」的影像学表现,我们邀请了神经内科、眼科、药学部、影像科进行多学科MDT讨论。综合患者病情特点,多学科讨论意见:1)利福平、吡嗪酰胺按现有剂量继续使用,同时再送结核培养及耐药检测,为后续是否调整抗痨方案做好准备;2)行腰穿脑脊液检测,完善脊髓MRI,鉴别视神经脊髓谱系病(NMOSD);3)若诊断NMOSD明确,尽早大剂量激素冲击联合丙种球蛋白治疗,延缓视力损害。大剂量激素冲击治疗过程中需警惕结核爆发感染风险。
次日,我们为患者完善腰穿,结果提示:颅内压150cmH2O,脑脊液涂片及培养未见细菌生长,墨汁染色阴性;脑脊液和血清抗体检测结果显示,脑脊液抗水通道蛋白-4抗体7.15u/mL(阳性);血清抗水通道蛋白-4抗体80u/ml(阳性)。
此时脊髓MRI结果:

图:颈胸椎多发长段异常信号影
综合患者脑脊液及脊髓MRI结果,再联系患者病史,结核合并视神经脊髓谱系病NMOSD诊断明确。我们再次请药学部、眼科及神内科会诊后,建议给予500mg的甲基强的松龙静脉冲击治疗,联合丙种球蛋白10g连续5天;第6天甲强龙减量240mg / d,第9天减量120mg / d,第10天改为35mg(1mg/kg)口服强的松继续治疗。激素治疗同时口服异烟肼300mg、利福平450mg、吡嗪酰胺750mg。
调整方案后,患者的双眼视力均有改善,左眼能看到50厘米距离,右眼能看到2米距离的电视屏幕。2个月后随访中了解到,患者视力已恢复至左眼0.6、右眼0.9。目前,患者已恢复正常生活,仍在规律服用抗痨药物,无不良反应。
那么,什么是「视神经脊髓谱系病」?这种病与结核之间又存在怎样的关系呢?
视神经脊髓谱系疾病(NMOSD neuromyelitis optica spectrum disorders),是一组潜在的免疫病理机制和视神经脊髓炎,绝大多数具有相似的水通道蛋白 4(aquaporin 4,AQP4)抗体阳性。NMOSD是中枢神经系统炎症性疾病,以免疫介导的严重髓鞘脱失及轴突损伤为特征,主要累及视神经和脊髓。女性的NMOSD发病率可高达男性的10倍。NMOSD的标志性特征为:双侧同时或短时间内相继出现的视神经炎(导致视力丧失)、急性横贯性脊髓炎(常引起肢体无力和膀胱功能障碍),以及最后区综合征(表现为顽固性呃逆或恶心和呕吐)为特点的急性发作。
NMOSD诊断标准要求存在上述特征性表现中至少1个核心临床特征,特异性抗水通道蛋白-4(AQP4)抗体阳性,该抗体也被称为「NMO-IgG抗体」,并排除其他诊断的前提下即可考虑诊断该疾病。急性发作或复发者建议大剂量甲泼尼龙冲击治疗,对于激素治疗无效者建议血浆置换治疗。
AQP4血清阳性患者免疫抑制治疗通常需要持续至少5年,因为此类患者复发风险较高。其次,AQP4 抗体阳性者常伴随全身多系统的体液免疫紊乱,常合并干燥综合征、系统性红斑狼疮、类风湿关节炎、未分化的结缔组织病等非器官特异性自身免疫病,故此类患者应在诊断此疾病时进行免疫相关疾病筛查。以及器官特异性自身免疫病鉴别如甲状腺相关疾病、重症肌无力等。
结核感染同时合并NMOSD发病罕见,更多报道是在NMOSD服用激素治疗过程中出现继发性结核感染。对于前一类疾病的发病机制不明确,存在的假说集中在两方面:1)结核感染的另一种表现;2)结核与NMOSD启动共同的免疫机制导致两种疾病同时发生。有小样本对照研究对于确诊的NMOSD患者,一组采用标准化治疗(激素+丙球),另一组采用抗痨治疗方案;两组对比发现,经过抗痨治疗组同样存在症状缓解以及影像学好转的特点。
结核治疗过程中出现新发症状,除了考虑结核药物副作用以外,需警惕其他疾病合并存在的可能性,通过蛛丝马迹对比发现与常规结核药物副作用之间的差异,追根溯源找到真正的「凶手」。值得高兴的是,该病例患者虽视力损害时间较长,但对于调整方案后的疗效是敏感的,最终保住了她的视力。



