安徽的某A,说是2个月前就在我们医院查出右肺占位,考虑恶性肿瘤,建议手术的,怎么兜兜转转过了2个月才找到我住院开刀。这个病例的诊治过程其实挺值得说道说道。个人以为耽误2个月时间不太划算。我们先来看这次同事叫我看他片子的情况:

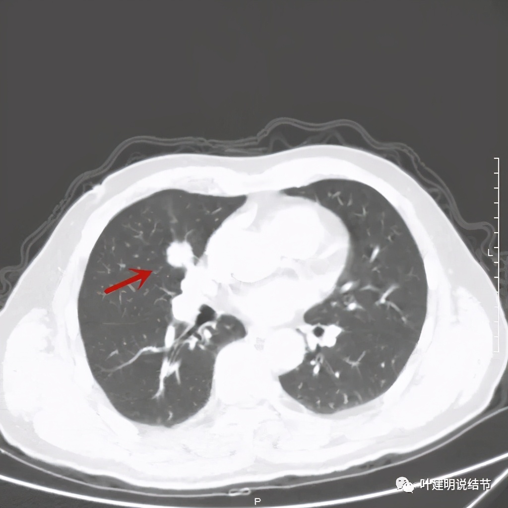
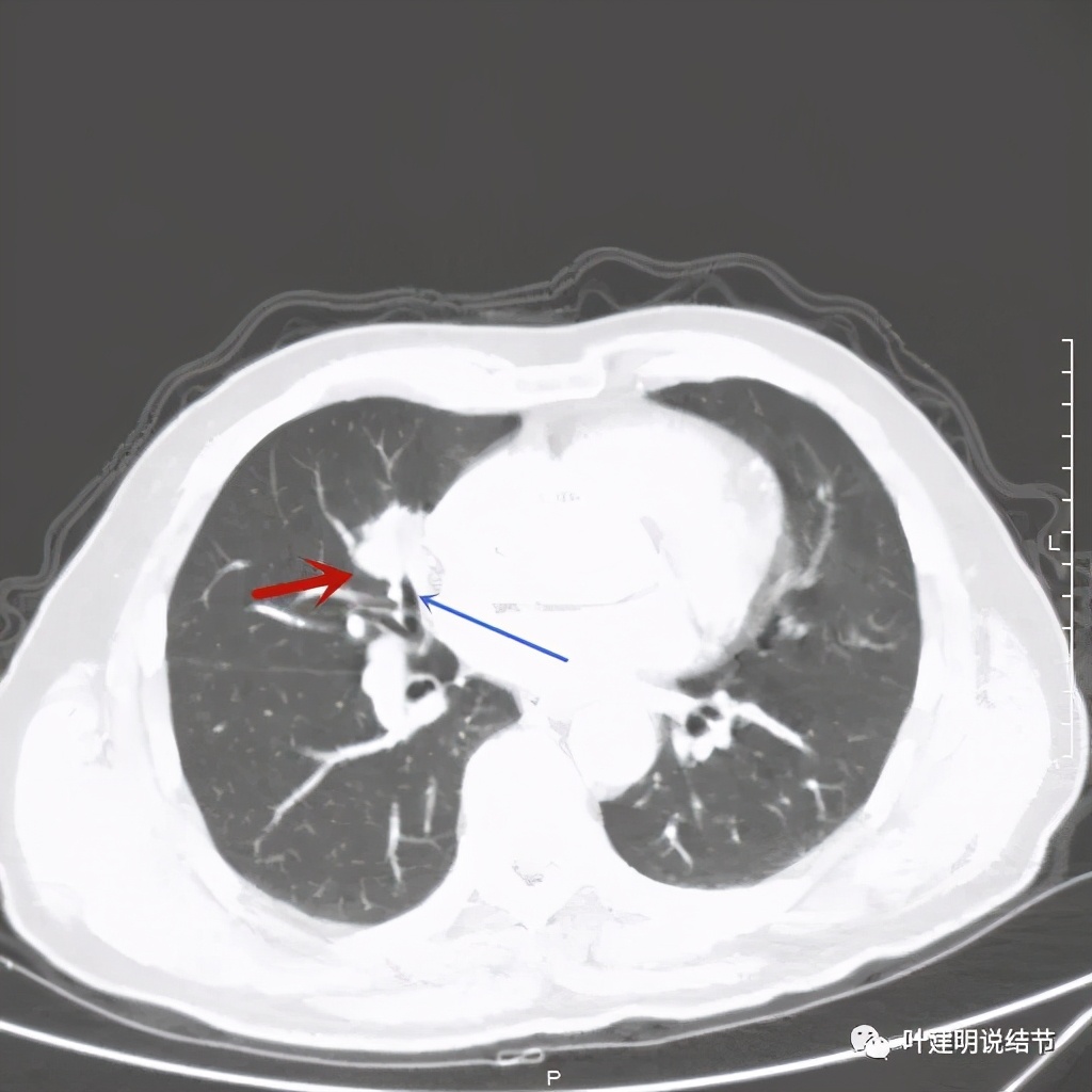
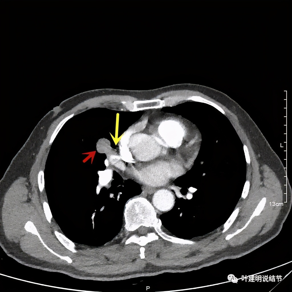
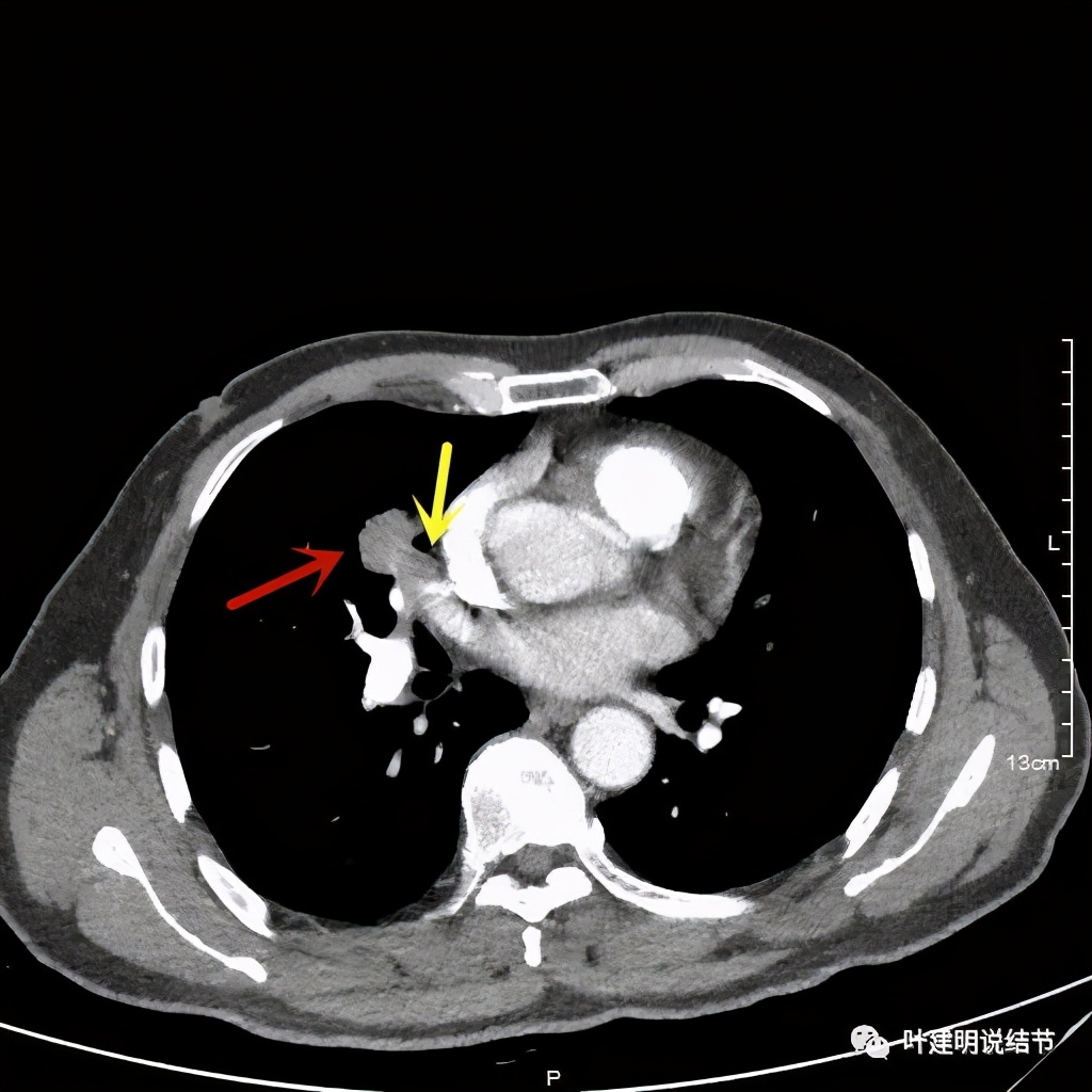
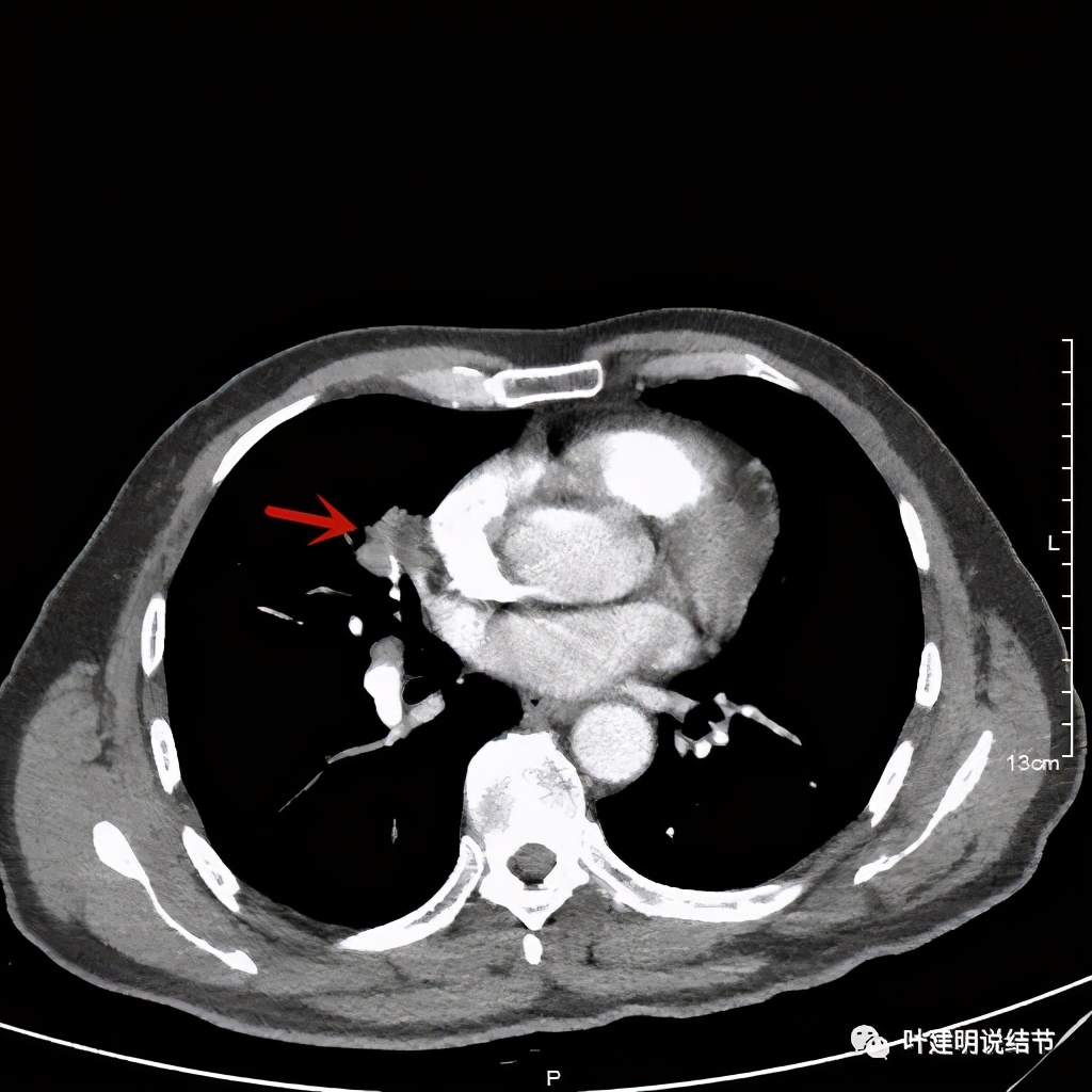
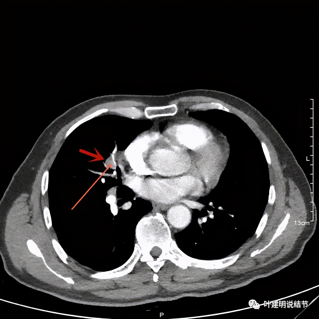
上图示病灶实性,且粉色箭头所示处边缘不平整,似细毛刺征(不太典型),蓝色箭头示像支气管截断(肿瘤堵塞的样子,但后文中有气管镜下未见异常,那么可能是角度的关系)

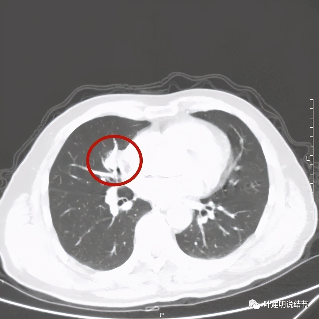
上图紫色箭头示浅分叶征明显,红色箭头示病灶牵拉胸膜(纵隔侧的胸膜)

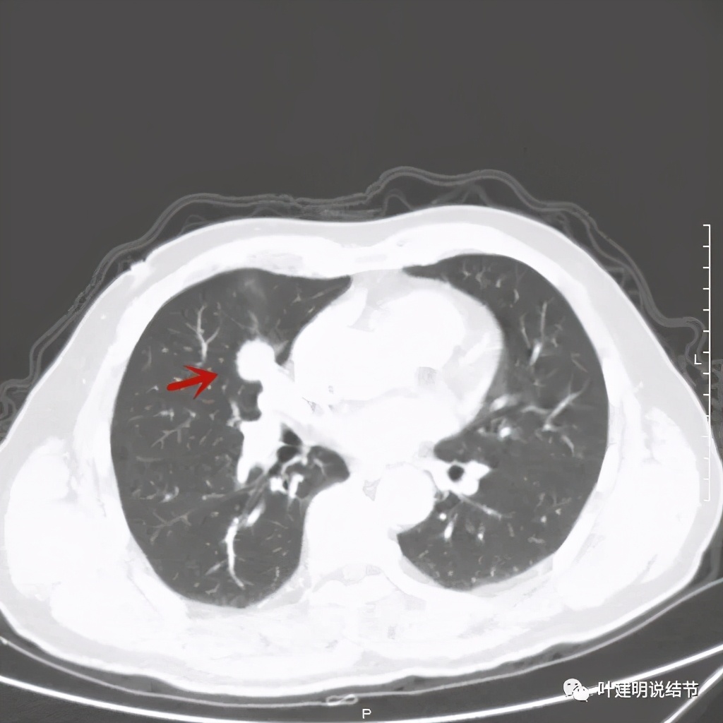
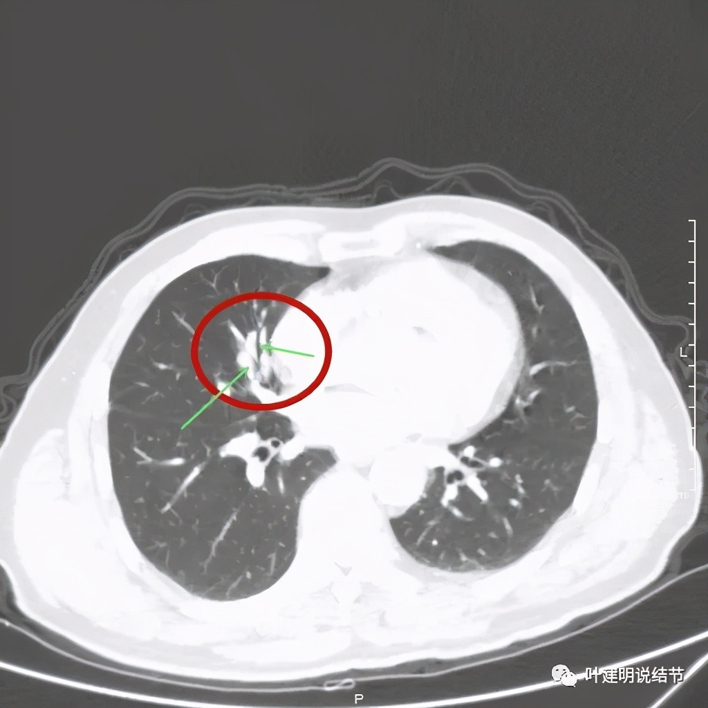
上图绿色箭头示支气管通气征
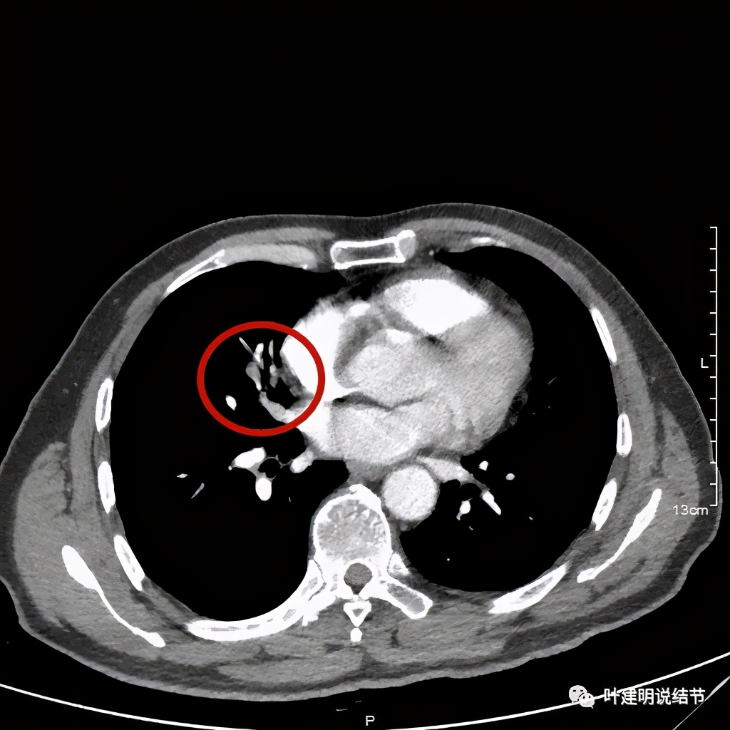
仅从这几个层面,而且病灶周围清晰,没有渗出性改变或卫星灶,整体具有膨胀性、收缩力、分叶,基本上可以肯定是肺癌。结合纵隔淋巴结没有显著肿大,小细胞癌是不大像的,支气管镜未见气管内异常,所以鳞癌的可能性也小,腺癌最有可能!我与同事说,这个肯定要考虑肺癌,没有远处转移转移的话,可以手术的,也是要积极手术的。于是某A便办理了住院手续。住院后了解到,其实他早在今年3月初,即2个月前已经发现,而且当时就说考虑恶性,怎么又拖了2个月呢?
下面是他当时住我们内科时的治疗检查经过:

几个关键点:1、合并存在胰腺肿瘤;2、曾抗炎治疗;3、气管镜阴性结果,超声支气管镜活检慢性炎;4、当时就高度怀疑恶性,建议PET-CT检查以及手术处理。
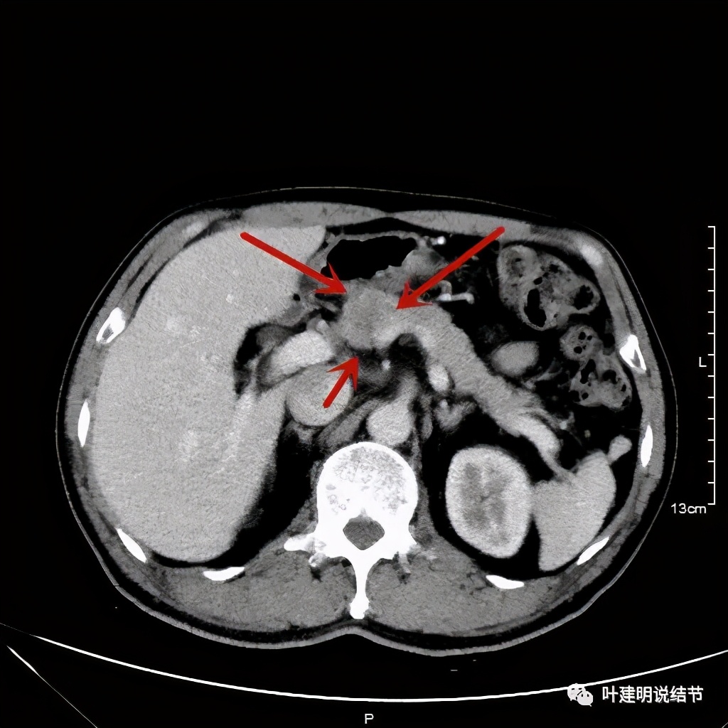
患者选择出院,到外院做了PET,结果如下:

右肺中叶与胰腺均考虑恶性肿瘤,但胰腺占位摄取只轻度增高。CT图像如下:

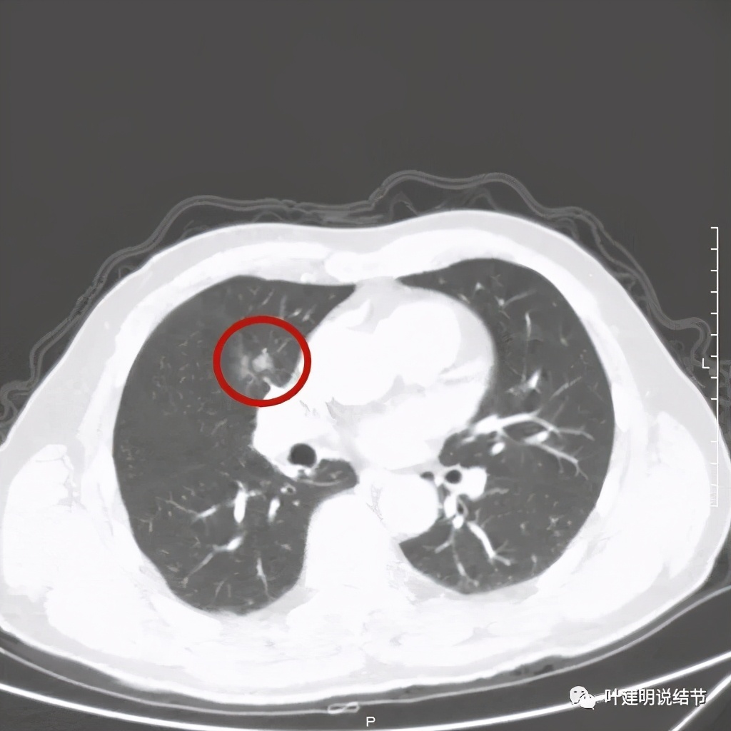
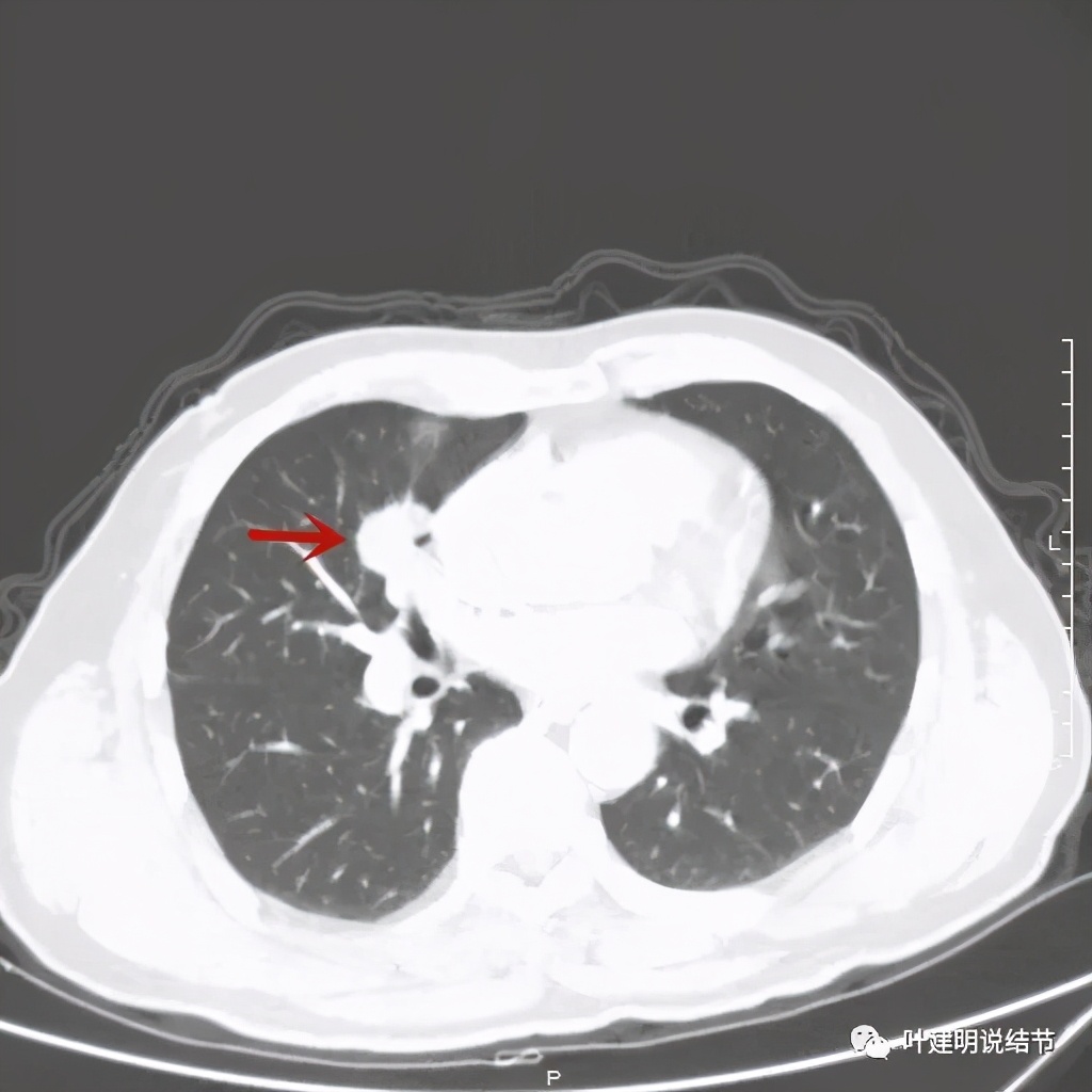
那么当时的胸部影像又是如何的呢?



病灶有分叶及胸膜牵拉




以上几图示病灶膨胀感明显,无卫星灶,周围无渗出性改变

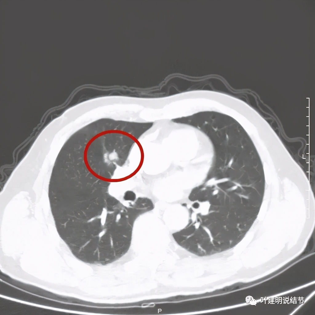
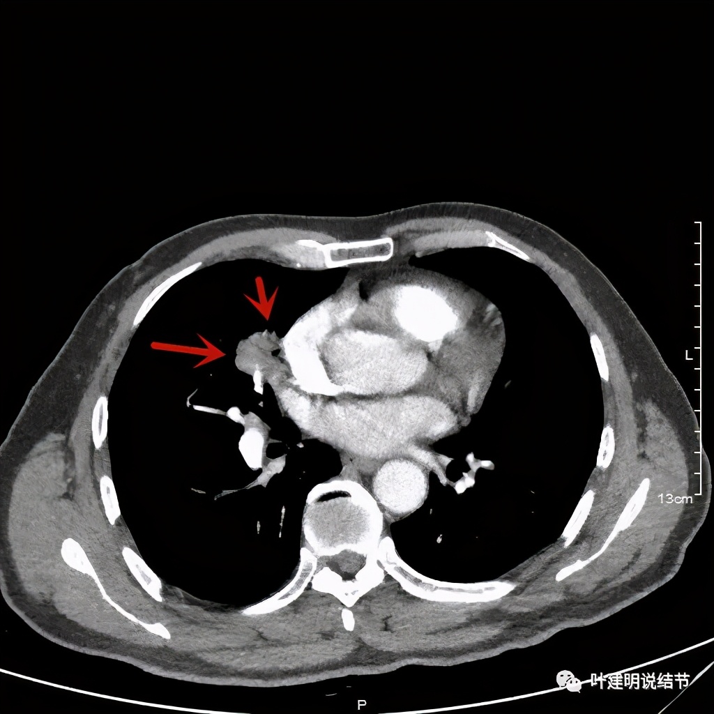
上图粉色箭头示细毛刺征,蓝色似支气管截断,红色示病灶膨胀性明显




上图绿色箭头示支气管通气征



纵隔窗分叶明显,密度不均


黄色箭头示病灶附近淋巴结或癌结节可能性大



上图示血管被病灶影响,似乎有侵犯

上图示血管在病灶内挤压变细

上图示血管在病灶内被挤压

上图示支气管壁欠光整

其实当时也是挺明显的恶性征象的。因考虑肺癌,某A及家属出院后到了上海市肺科医院就诊,打算去手术。结果肺科医院医生一看,除了肺癌还有胰腺肿瘤呀,告诉他要先处理胰腺肿瘤,所以某A又到了上海长征医院住院。医生告诉他如果肺癌与胰腺是两处不相干的肿瘤,那么可以分别处理,若是转移性的,那么要选择化疗,所以建议先做穿刺活检。结果肺与胰腺均穿刺了,病理结果出来两处均是“轻度异型增生”。那怎么办呢?其实也就没有取得足够的组织,不足以判定为肿瘤,但有异常的细胞形态。医生告诉他,接下来两个选择:一是再次穿刺活检;二是观察一个月后再复查。家属一想,这不妥呀,如果再次穿刺仍阴性,不是又回到原点吗?已经2个月了,再观察1个月病灶还能吸收好转?实际上家属也基本认可是恶性的疾病了。另外长征医院的医生也认为肺癌更加要紧点,胰腺占位因为SUV摄取轻度升高,可能是低度恶性肿瘤。应该处理肺癌,它更等不起。当听说他们在金华永康工作时,上海有医生建议他们到金华市人民医院来找我,先解决肺的问题。术前查了肿瘤筛查也有异常:

经过充分沟通,某A授受先行肺部手术,安排在2021.5.14进行,予以“3D胸腔镜下右肺中叶切除加淋巴结清扫术”,这也是我们医院首例3D胸腔镜下的肺叶切除加淋巴结清扫手术。取出标本,见切面灰白,结节致密质硬。术中送快速切片示为浸润性腺癌:

回顾这个病例,其实兜兜转转过了2个月才开刀,是稍显可惜的,如果能早点开肯定早点更佳,术中见有癌结节了的。其实我一直认为,如果影像上是较为典型的恶性占位,且在能手术的部位,术前的穿刺活检其实并非必需,阳性仍需手术,阴性仍不能除外恶性,反而容易耽误病情,因为穿刺不是肺癌,患者及家属就更不容易下定手术的决心,对于实性占位,延误数个月的时间并不可取。此外,最令我自己小开心下的是上海医生居然推荐他来金华找我手术。也说明我们在肺结节诊断与治疗领域的努力获得了更大范围内同道的肯定与鼓励。这也是我们努力前行的动力!
(此处已添加医疗卡片,请到*今条头日**客户端查看)