赵忠祥先生是我们熟知的主持人, 因鳞状细胞癌于2020年1月16日去世。
在此之前,赵先生曾因腿部严重的不适,甚至于影响行走,让家人送他到医院治疗。
经检查后医生诊断为 晚期鳞状细胞癌 。入院后赵忠祥先生还深度昏迷了好几天。

最终治疗无效,死于癌症。由于他到医院检查的时候癌细胞已经扩散了,所以 短短两个月时间 赵忠祥先生就离世了。
鳞状细胞癌这么恐怖,那么它到底是什么样的疾病呢?其实, 鳞状细胞癌在生活中是较为常见的。
一、鳞状细胞癌的特征和表现

鳞状细胞是人体内的正常细胞,是人体上皮组织的一种,呈 扁平的鱼鳞状 ,一般覆盖在人体多个部位,例如皮肤、食管、支气管、宫颈等。
鳞状细胞一般分布在皮肤和黏膜表面,具有 保护、防止病原体侵入、吸收、防止损伤的功能 。并且分裂繁殖能力较强。人体在进行正常的新陈代谢时,鳞状上皮细胞会脱落、更新。

当鳞状上皮细胞长期受到炎症影响, 导致过度增生或变形, 或者是本没有鳞状上皮细胞的部位异常地出现了鳞状上皮,就有可能是发生了癌变。
可以通过在相应的部位取组织活检,例如宫颈,观察是否有鳞状细胞的变化。
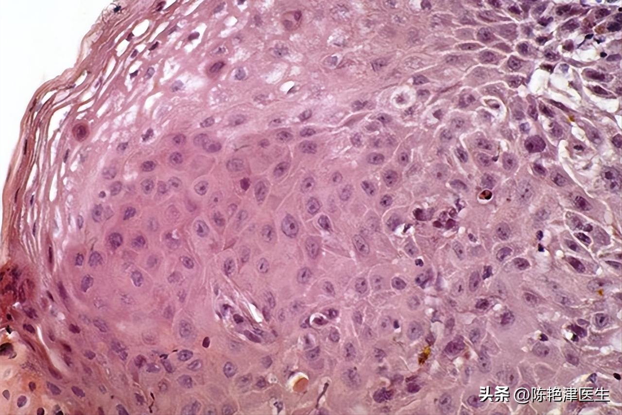
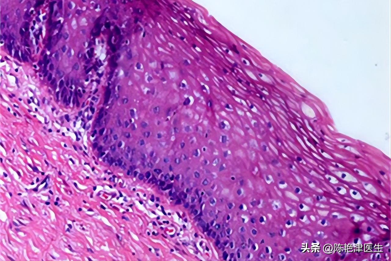
在组织切片显示的 癌细胞 在病变部位混乱排列形成乳头状、条状等各种形状的结构,并且逐渐向周围或者更深处扩散。
根据以上对鳞状细胞的了解,我们可以知道,鳞状细胞癌就是指发生在 人体鳞状上皮细胞覆盖部位的癌症。鳞状细胞癌指的是癌症的病理类型, 可以发生在多个部位。

分布在机体 各种部位的鳞状细胞癌有不同的病因和表现 。下面就为大家介绍不同四个典型部位的鳞状细胞癌。
1. 皮肤鳞癌
鳞状细胞癌在皮肤发生率很高, 一般发生在眼睑部皮肤和黏膜交界处,或者腿部、前臂、头皮等部位等,50岁以上的男性常见。像赵老师就是由于腿部的鳞状细胞癌而死亡的。
紫外线、放射线照射 或者长期化学物质接触皮肤,会使皮肤鳞状上皮细胞发生癌变。

皮肤鳞癌进展形式较为特异性。一开始表现为 一个红色、坚硬的小结节, 不易剥离。癌细胞渗透到周围组织可扩大病变范围,形成溃疡。溃疡深入骨骼或肌肉等组织时会形成坚硬的肿块,不易移动,疼痛难忍。
癌细胞通过淋巴管扩散至其他鳞状上皮细胞覆盖部位,甚至潜入 骨骼、肌肉 等,破坏机体正常功能,严重者危及生命。
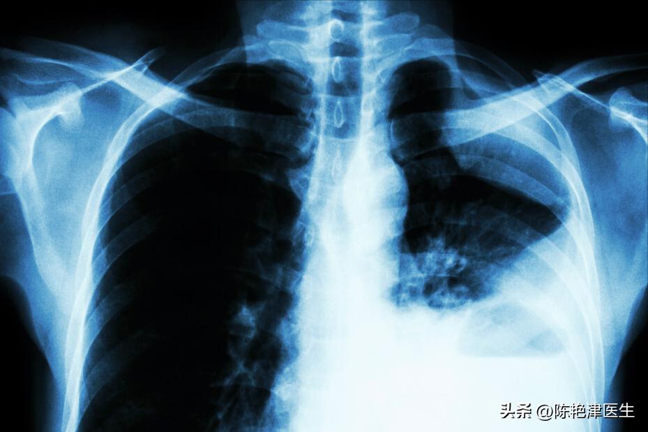
2. 肺鳞癌

肺鳞癌大约占肺癌发生率的50%,主要是发生在 支气管 部位的中央型肺癌。
肺部与空气接触的器官,容易接触外界的有害物质而病变。其中的 支气管覆盖有鳞状上皮细胞。
肺鳞癌常发生于在化工厂、冶炼厂等地工作的工人。他们的工作环境存在大量可吸入的 石棉、砷、铬等各种重金属 ,肺部与这些有害物质长期接触,容易导致支气管表面的鳞状上皮发生癌变。
表现在人体会有 咯血、胸闷、低热 等症状,进展至中晚期,癌细胞扩散至全身,发生其他脏器组织或功能的改变。
3. 食管鳞癌

我国属于食管癌高发区,其中食管鳞癌占90%左右,在太行山、秦岭、闽粤交界地区发病率更高,与 当地的饮食习惯 有关。
与食管鳞癌相关的 不良饮食习惯 有以下几种。
喜食滚烫食物,如滚烫的粥、汤、热饮等。有研究发现, 高温食物不仅会直接刺激、损伤食管上皮细胞,还会促进亚硝胺的致癌作用。
亚硝胺属于致癌物质。 对部分食管鳞癌高发区的研究发现,该地区的食物、水甚至居民生活环境中的亚硝胺水平较高,例如 酸腌菜、用小鱼腌制的鱼露 等食品,也是导致食管鳞癌的发生的因素之一。
食物储存方式不好导致其变质滋生霉菌。 长期不良饮食习惯就是食管鳞癌的病因。
食管鳞癌早期症状不明显,容易漏诊, 一般表现为胸骨后的轻微压痛、食管烧灼感,还会有呕吐、上消化道出血等症状。 随着肿瘤生长浸润会导致食管狭窄,导致吞咽困难,晚期癌细胞扩散至胸腔或其他脏器,使治疗效果大大降低。

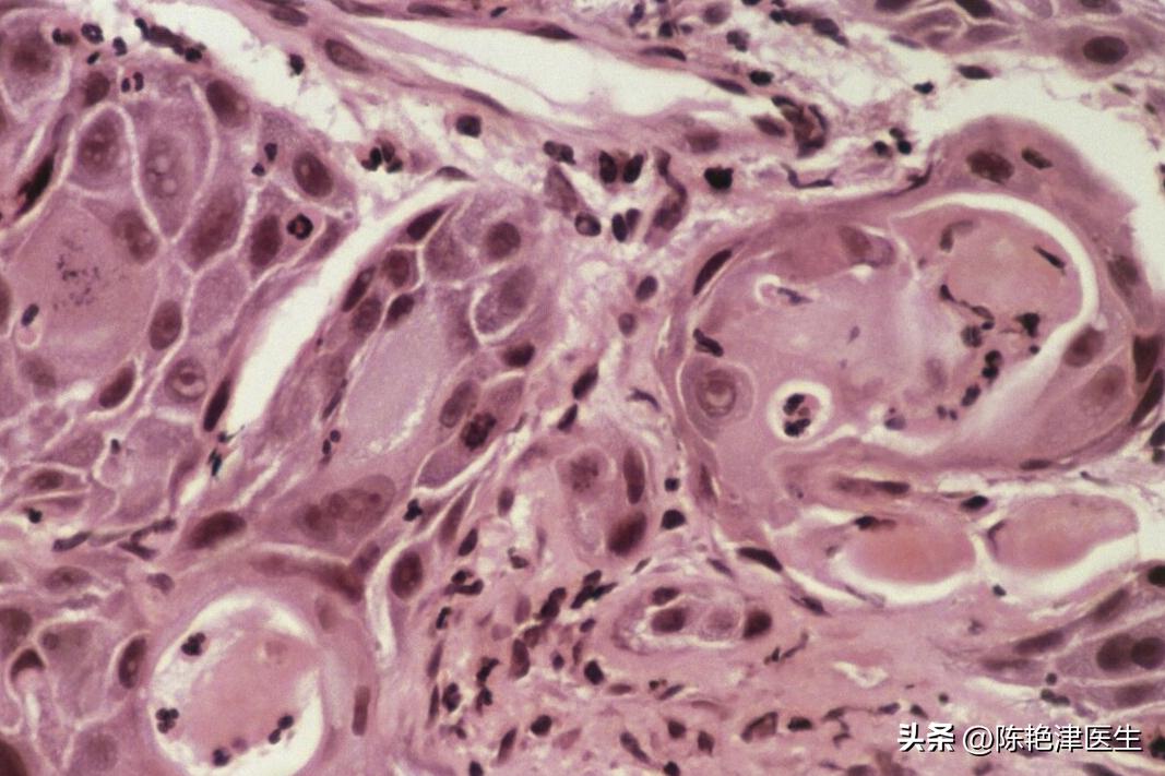
4. 宫颈鳞癌
宫颈癌的病因主要是感染 人乳头瘤病毒(HPV) ,组织器官发生癌变,宫颈鳞癌是宫颈癌的主要病理类型。病毒潜入机体,在其免疫力不足时进行攻击,破坏宫颈鳞状上皮,导致细胞癌变。
宫颈鳞癌主要的临床表现为 阴部不规则出血,分泌腥臭的脓性白带,甚至阴部有菜花样或乳头状等异物出现等,严重者甚至发生宫颈糜烂。
一般发生于50岁左右的妇女,是 女性常见的恶性肿瘤之一 ,对身体健康造成巨大影响。
除了以上介绍的几种常见的鳞状细胞癌,还有许多部位也可能会发生,例如 口腔、咽喉等 等。

鳞状细胞癌的治疗方法主要是根据癌症的分期、部位等种种因素,结合病人的实际情况制定治疗方案。 治疗方法主要包括手术治疗、化疗、靶向药物治疗等。
对于鳞状细胞癌应做到早发现、早治疗;晚期癌细胞扩散往往导致治疗效果不佳,死亡率升高。
二、鳞状细胞癌的患者,生命一般还有多久?

赵忠祥先生从发现鳞状细胞癌到去世仅仅不到两个月,这也不禁让人担忧, 这种疾病为何发展如此迅猛?
其实,鳞状细胞癌的患者并不都是这种状况。患上鳞状细胞癌还能活多久这个问题,需要 综合考虑多个因素 。
首先是癌症的进展。 主要通过其分期来考虑。如果宫颈鳞癌1期,5年生存率能达到90%,如果发展到了4期,治愈率只有10%左右。

其次看发生鳞癌的位置。 咽鳞癌的生存率只有35%,皮肤鳞癌基本在50%左右,因为皮肤鳞癌往往是在中晚期才发现的。
最后,还应考虑患者的身体条件。 年龄越高,可能身体免疫力等等条件会变差,会增加死亡率。
根据以上的分析,对于鳞状细胞癌来说, 早发现、早治疗就是保证治愈率的前提之一。
我们已经了解了鳞状细胞癌发生和作用机制,那么有什么方式可以帮助我们远离鳞状细胞癌?日常生活中又有什么注意事项呢?

三、预防鳞状细胞癌的方法
鳞状细胞癌主要是通过 长时间有害物质的接触 ,或者免疫、遗传等因素综合导致的。预防鳞状细胞癌需要注意以下几个事项。

1、首先,针对鳞状上皮覆盖的几个部位,做好相应的保护,改掉不良生活习惯。
改善饮食习惯,保护好食管。 不吃太烫或者太硬的刺激性食物。食物贮存和食用应该防霉、防胺,注意饮食卫生。
吸烟已经被证实是导致肺鳞癌和食管鳞癌的原因之一。 *草烟**燃烧后释放的砷、焦油等二十多种致癌物质,会影响支气管正常的组织结构。所以为了身体健康,我们应该做到戒烟、不抽烟。

日常生活中也有很多有毒有害的接触物。 食物、水源可能有砷、铬超标,装修或者建筑材料可能有氡气、甲醛等气体,这些都是致癌物,我们日常生活中应该注意。新家入住应多多通风,建筑业的工人也应该做好防护。
很多行业的工作者会接触有害的化学物质, 如砷、铬、石棉、沥青等。如果是工作环境中存在可吸入的化学物质,在工作时应该做好防护,防止有害颗粒吸入肺部,对支气管造成损害。
防止 紫外线 过度照射,尤其是对于一些在高温环境中工作的人。过度的紫外线会损伤皮肤,甚至引发皮肤表层的鳞状细胞癌变。

2、其次,重视体检,对鳞状细胞癌做到早发现,早治疗。
由于宫颈癌患者往往有 HPV病毒的长期感染史 ,所以早期发现HPV病毒感染并且早期治疗也许能够防止宫颈鳞癌发生。对于30岁以上的女性,建议每三年进行一次 HPV病毒检测。
老年人应该定期筛查肺癌, 早期筛查手段是低剂量螺旋CT。建议有长期吸烟史或者有慢性的肺部基础疾病的老年人每年进行一次筛查。
鳞状细胞癌大多生长缓慢,像赵老师这种症状,如果 定期体检 并且及早发现和治疗,一般能够大大降低死亡率。
3、最后,提高自身免疫力。

日常生活中应避免单一食物和营养来源。 蔬菜水果能够补充 维生素、微量元素等营养物质, 所以平时应该多吃蔬菜水果,增加营养摄入。有研究表明,蔬菜和水果是食管癌的保护因素,可降低食管癌的危险性。
日常生活中多进行 体育锻炼和户外活动 ,增强自身免疫力。
在治疗中, 病人的心理因素 也是预后好坏的一个影响因素。患者应保持积极乐观的态度接受治疗,缓解负面情绪,增强患者的信心,有利于患者康复。
综上所述,在工作中做好自身防护,日常生活中建立健康的饮食习惯, 远离能够导致鳞状细胞发生癌变的因素 ,补充营养,加强免疫力等,可以防止癌症发生。老年人应该定期体检,做到早发现、早治疗。

鳞状细胞癌可发生在人体 多个部位 ,最常见的是皮肤癌、肺癌、宫颈癌、食管癌等,不同部位的鳞状细胞癌的病因和发病特点不同,主要是因为接触致癌物质引发的癌症。我们应该通过 自身防护、健康饮食、定期体检 等方式,防治癌症。
像赵忠祥老师这个年纪的老人人群,如果能定期体检,及早发现并就医治疗,癌症的死亡率会大大降低。
参考文献:
[1]《预防肿瘤学》,赵平,王陇德等. 人民卫生出版社.
[2]《肿瘤》,张文. 人民卫生出版社.