——梁宝松/文
药丸也会成异物
那是前几天的晚上,我突然接到了一位63岁的老大姐打来的电话,说是她睡觉前吃了两粒螺旋藻,结果卡在了食管内,现在咽喉部疼痛,很痛苦,问我怎么办?
我首先询问她有没有咳嗽,有没有呼吸困难和喘憋,我在考虑她的药丸是否卡在了咽部或者掉入了气管。她告诉我没有,接着她告诉我,这螺旋藻的药丸大概有小孩的手指肚那么大,她一次吃了两粒,结果喝了四杯水,也没有下去,而且越来越难受!

我接着告诉她,可以找到就近的医院看急诊,他们先在东区某医院看诊,咽部检查没有发现药丸,怀疑已经形成食管异物,于是继续来到我们河南省人民医院急诊就诊,收入消化内科病房。
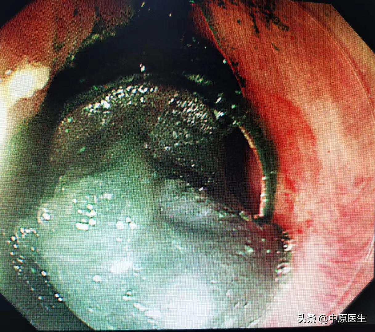
做好了手术准备后,我们消化内科的周晓勇医生急诊给她做了胃镜检查,结果发现深绿色的药丸就卡在食管距离门齿15cm的入口处,周晓勇小心地用胃镜吸出来了部分糊状的药物,接着,利用胃镜往下推送,把残余的药丸送进了胃内,返回观察,药物嵌顿处粘膜有轻度损伤,没有穿孔。
通过这个案例,我想告诉大家,吃药有学问,并不是想怎么吃,就怎么吃!一般来讲,正确服药可以参考下面的内容:
1、用什么送药?
最好是温白开水。不宜用茶水、果汁等送服药物。因为茶水果汁可能会使酸碱中和,茶叶中含有上百种结构复杂的化学成分,如茶碱、鞣酸、苷类化合物、可可碱、咖啡因等,可能与许多药物发生反应,而引起药物效价下降或者毒性增加。牛奶等乳制品中的钙、磷、铁等可与药物成分发生作用或结合而影响疗效,也不宜用来送药。
2、能否干吞药物?
不可干吞药物,也不能多种药物一起吞服,更不要大片的药物一起服用,以免药物粘附在食管粘膜造成食管损伤,或者形成食管异物。一般来讲,每次需要200毫升左右的温开水送服药物。
3、什么时间服药?
口服药物的服药时间须根据用药目的、吸收排泄情况以及药物对胃肠道有否刺激而定。从服药时间上,一般可以分为餐前、餐中、餐后、睡前等。可以参考药物说明书上的标注或者药师的嘱托。
4、忘记吃药不能加倍补?

对于长期吃药的人,一旦偶然忘记了服药,如发现较早,一般采取补服办法。但有些药毒副作用较大,或药品说明书中明确提示漏服后不能补服的,则不要补服,以免引起不良反应。
5、服用抗生素等药物能否饮酒?
不光是头孢类抗生素,还有很多药物服药期间不能饮酒,请大家听从药师的建议。
6、药物能否咬碎再服?
药物咬不咬碎有讲究,药片难下咽,能掰开吃吗?这要视情况而定,如果是控释、缓释片剂药物,就不能掰开吃。此类药片被分割后控释膜或控释骨架会被破坏,药物可以迅速释放出来,就达不到控释缓释和速效长效的目的,有时还可以引起体内药物浓度骤然上升,造成药物中毒。对于肠溶片,不能压碎或掰开,服用时也不能咀嚼,否则药效会被破坏,并引起胃部的不适,一个简单的辨别方法是,药片中央若有切痕的,大多可以掰开服用。
7、服药后能立即躺下吗?
服完药马上就睡觉,特别是当饮水量又少的时候,往往会使药物粘在食管上而不易进入胃中。服药时应坐着或站着,服药后不要立即仰卧,稍停留片刻,利用药物的自身重力作用使其快速通过食道,以免在食管内滞留,而延缓药物的作用及损伤食管黏膜。服药时多喝点水,最好活动二三十分钟再躺下睡觉。
8、糖浆药物开启后注意什么?

“糖浆液含糖量较高,一旦被打开,就失去了密闭的无菌环境,如使用和保存不当,十分容易被污染。服用糖浆后,应及时将瓶盖拧紧,放置在阴凉、避光、干燥的环境中。如果短时间内不再服用,可放置在冰箱中低温贮藏,冷藏以4℃~15℃最佳。
9、中药汤药怎么服?
中药汤药需要听从中医师和药师的嘱咐服药。
我也特别告诉这位大姐,为什么她这次会有药丸卡在食管入口处?除了服药方法不当,也应该警惕有没有食管病变?建议她一个月复查胃镜,再观察一下咽部和食管入口处,以免遗漏重要病变!(本号总顾问梁宝松教授,1984年毕业于河南医科大学本科,河南省人民医院消化内科主任医师、教授)
本号值班微信:zyystuandui,欢迎添加好友。