为大家分享一些美图,带你更多了解医学的奇妙世界。
一、医学趣史: 奇葩、新鲜、罕见
现代神经外科之父 Harvey Cushing:
一生做过2000个开颅手术,并使手术死亡率从原先的90%降到10%以下!
▼图为1932年他演示手术的场景,像是组团看电影

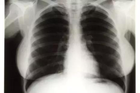
20世纪最著名女星,玛丽莲.梦露胸部X线,曾在拍卖上被拍出4.5万美元高价。

1869年George Taylor医生发明的全自动蒸汽动力按摩棒,当时用于治疗妇女的“歇斯底里症”。

双阴茎畸形(diphallia),发生率约为五百万分之一,与胚胎第23-25天中胚层生殖结节受损伤或化学刺激有关。

抓握反射(grasping reflex)是新生儿无条件反射的一种。当触及新生儿手掌时,立即被紧紧地抓住不放,如果让新生儿两只小手握紧一根棍棒,他甚至可以使整个身体悬挂片刻。在出生后第5周达到最强的程度,3~4个月时消失,以自主抓握取代。

二、色彩影像: 高清显微镜下的世界
寄生在毛囊里的螨虫(尾部)。

皮肤感染时,毛囊附近聚集的大量白细胞。

神经束横截面SEM,可以看到一根根轴突(橙色)包裹在髓鞘(紫色)里。【就问你们像不像甘蔗】
位于输卵管的7周大宫外孕胚胎。

癌症之王,胰腺癌肿瘤细胞。(这个丸子真可怕)

三、医学新知: 时刻把握技术进步
皮肤移植时为了覆盖更大的范围,皮片常常先用特殊器械切割并拉伸成网状:

牵引术:

相同质量的肌肉跟脂肪:(体内脂肪含量高的胖子未必重哦)

不同营养物质在消化道的吸收部位:

外科缝合术:

以上。
☛更多内容请关注治趣微信公众号:治趣