最近融宠的一位粉丝反应:猫咪食欲不振、高烧,检测时猫瘟。结果治疗几天后,猫咪咳嗽不止,后来复查竟然是肺炎。
为什么会是这样呢?一般来说确定猫瘟需要两种检查:1、试纸+2、血常规。
如果试纸显示强阳,血常规检查白细胞下降到正常值,那就是猫瘟了。反之需要再做其他检查。
这位粉丝家里的猫咪试纸检查显示弱阳,白细胞正常。只能说是猫瘟携带或者肠胃不适。在治疗两天后猫咪咳嗽不止,经过疑惑再次检查了胸部x光+血常规,原来猫咪真正的病灶是肺炎。还好猫咪已经成年,抵抗力强,经过了抢救,及时挽回了一条喵命。
融宠提示:猫猫狗狗不会说话,无法表达自己身体哪里难受。我们只能靠一些症状来推测,然后检查确诊。所以一名合格的铲屎官,一定要对主子的日常观察入微。清楚的知道它们一举一动的寓意,当然提前了解一些疾病的症状,可以及时将病灶抑制住。
下面我们就针对这个猫咪肺炎来说一下:
了解猫咪肺炎的类型和原因
细菌性肺炎:由细菌感染引起,这种原因导致的肺炎就必须用治疗呼吸道感染的抗生素治疗。
病毒性肺炎:病毒可通过猫咪的上下呼吸道进行感染。常见的病毒包括:杯状病毒和副流感病毒。这种病毒即可导致猫咪肺炎。
吸入式肺炎:常见于小奶猫(或者吃饭狼吞虎咽的大猫),当液体不小心吸入肺部时,就会发生吸入性肺炎。比如:小猫抢奶或者大猫吃饭(狼吞虎咽)不小心将食物或水吸入肺部,都是有可能的。
过敏性肺炎:很多男性朋友喜欢抽烟,对于旁边吸二手烟的女同胞或者宠物来说可能时一种负担,但是这种情况比较少见。(烟雾吸入肺部)
真菌性肺炎:比如球虫病或者新生隐球菌均可导致猫咪真菌感染,造成真菌性肺炎。
寄生虫肺炎:寄生虫通过肺部迁移而导致的肺炎。
器官衰竭:肺炎严重者可继发系统衰竭。这时就非常严重了。
不管最初的原因是什么, 大多数肺炎都有细菌性成分。
了解猫咪肺炎的症状
1)精神倦怠
2)频繁咳嗽
3)打喷嚏、流眼泪
4)鼻部有分泌物
5)发烧40°c
6)呼吸苦难,严重时用嘴呼吸
7)呕吐
呼吸困难的猫咪需要放入氧气箱内吸氧,及时供氧治疗。
猫咪肺炎的检查方法
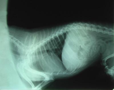
一般给猫咪做胸部X光检查和血常规来确定猫咪是否肺炎。也可通过超声波来检测肺部的感染。

▲感染肺炎的x光


▲未感染肺炎的x光
猫咪肺炎该如何治疗?
猫咪肺炎严重可导致呼吸衰竭,所以千万不要等到猫咪非常难受才去就医,比如猫咪开始张嘴呼吸。这时可能就比较晚了,有病一定要早治疗。发现的早且诊断准确,不仅猫咪可以快点好起来,还可以为自己节省一大笔费用。
再来说一下治疗方法:
抗生素:拜有利或者阿冒西林
呼吸困难:速尿+氨茶碱+吸氧

▲吸氧箱治疗
雾化:就像人一样,宠物也有雾化这一项。做雾化主要是化痰,平喘,缓解呼吸困难!
静脉注射:可根据宠物的轻重来选择,宠物肺炎可伴有厌食呕吐的现象,所以需要禁食。这时就要靠点滴来供给身体需要的物质,防止宠物脱水。当然如果宠物呼吸十分严重,就要减少点滴量,甚至先暂停。打速尿+氨茶碱观察。
辅助治疗:给宠物做一个按摩,通过轻拍宠物胸部,减少肺部压力。从而促使猫咪咳出肺部分泌物。可以向宠物医生咨询,学习手法。
保暖治疗:如果家里有电热毯,把毯子打开(抵挡)。让宠物躺在上面,勤加看管。热了它们会自己爬出来,过一会再给它们盖上被子。这个过程很折磨人,但是要辛苦一些,等待宠物好了就解放了。

▲宠物专用电热毯
安慰疗法:很多宠物在医院不愿意吃饭,但是经过主人的耐心疏导它们就会吃。所以在这个过程中,多给宠物一些关心。它们会好的更快。