髂骨致密性骨炎(osteitis condensans ilii),在德国也被称为髂骨浓缩性骨病 (osteopathia condensans ilii) 或髂骨三角性骨增生 (hyperostosis triangularis ilii),其特征是与骶髂关节(sacroiliac joint) 相邻的髂骨良性硬化,通常呈双侧和三角形。
流行病学
髂骨致密性骨炎的发病率为0.9-2.5%,女性比男性更常见,主要发生在怀孕和产褥期。
临床表现
通常是无症状的,但不常见的是可能会导致轴性腰痛,通常不集中在骶髂关节上,长时间行走或站立则症状加重,严重者翻身困难或因腰痛而难以入睡,发生率约为 1-2.5%。HLA-B27和CRP多为阴性。
病因
潜在的病因尚不清楚,但据信是机械应力和骶髂关节不平衡导致的慢性应激反应。支持这一假设的是,它最常见于已生育的妇女。然而,男性和未生育的女性也可能会发生。
放射学特征
髂骨致密性骨炎通常是偶然诊断出来的。骶髂关节的髂侧表现出硬化,通常呈双侧、对称和三角形。硬化区轮廓分明且致密,主要位于关节的前中三分之一处。诊断主要依靠影像学上无骶骨受累和关节间隙变窄,但可能会出现骶骨附近对称性小局灶性硬化。此外,单侧髂骨致密性骨炎已有文献报道。

骶髂关节的双侧硬化,主要累及关节的髂骨部分。注: 特征明确的三角硬化Rheumatol Int (2010) 30:293–29

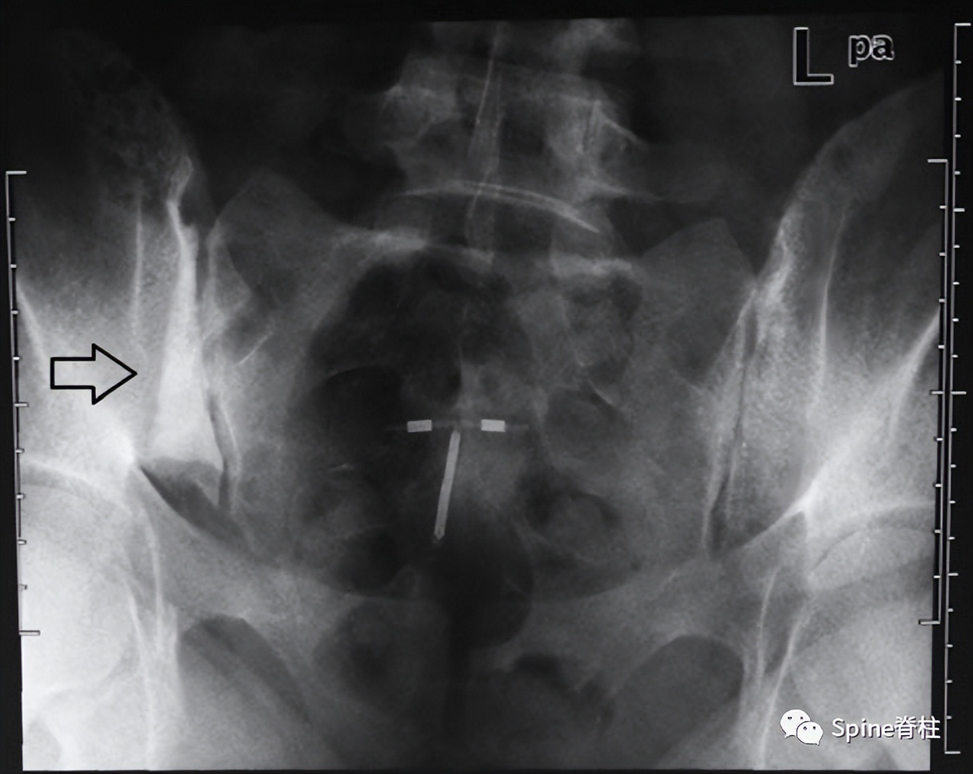
右侧髂骨单侧三角硬化(箭头) Mod Rheumatol (2012) 22:467–469


骶髂关节的髂侧硬化,无骶骨受累或关节间隙狭窄。图片来源:https://doi.org/10.53347/rID-12390

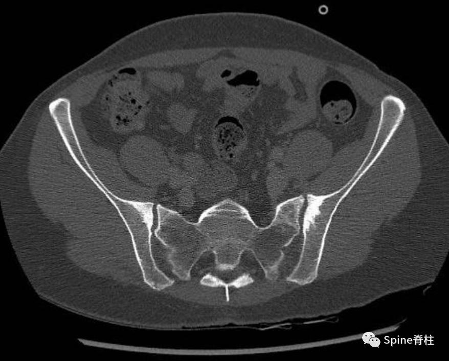
CT提示主要发生在靠近两个骶髂关节的髂骨侧骨硬化,未观察到关节不规则、侵蚀或关节间隙变窄

上述同一个病例,MRI也提示骶髂关节髂骨侧硬化 (下图)。
治疗和预后
髂骨致密性骨炎治疗以对症治疗为主,如非甾体抗炎药、理疗、针灸等,严重者可进行局部阻滞或骶髂关节融合术。一般预后良好,其是一个自愈性疾病,随着时间推移,疾病会趋于好转甚至痊愈。
鉴别诊断
主要的鉴别诊断是骶髂关节炎或骶髂关节骨关节炎。对于髂骨致密性骨炎,骶髂关节是正常的,没有不规则、侵蚀或关节间隙的丢失。