微创介入穿刺是在影像诊断的基础上,在医学影像图像(B超、CT、DSA等)的引导下,以穿刺针代替手术刀完成穿刺活检、组织消融治疗,体液引流(脓液、胆汁、积液、积血)等操作,对疾病进行诊断和治疗的手术方法。
此项技术为临床诊疗提供了有效依据,使患者避免了传统外科手术的痛苦,并达到与外科手术相媲美的效果,为患者带来了安全、微创、有效、经济的就医体验,已经成为微创领域的支撑技术之一。
一、开展项目
1、超声或CT引导粗针穿刺组织学活检
包括肝、肾及肺部占位、乳腺病变、异常淋巴结肿大等需明确病变良恶性或病理类型等,为诊断和治疗方案提供依据,可在超声或CT引导下进行穿刺活检。

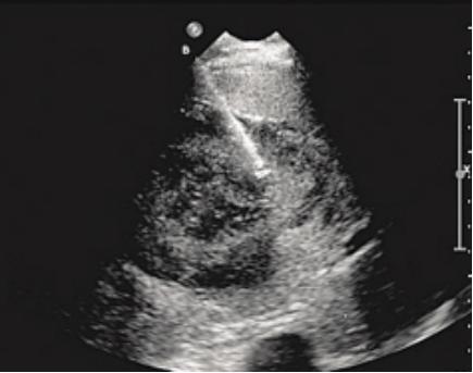
B超引导下肝肿物穿刺活检

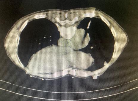
CT引导下肺肿物穿刺活检
2、 超声引导穿刺抽吸和置管引流
包括各类胸腹腔积液、心包积液、腹腔盆腔脓肿的穿刺抽吸置管引流。以及梗阻性黄疸时可行超声或者DSA引导下经皮经肝胆管、胆囊穿刺置管,减黄效果立竿见影,又为进一步治疗建立了“救命”通道。


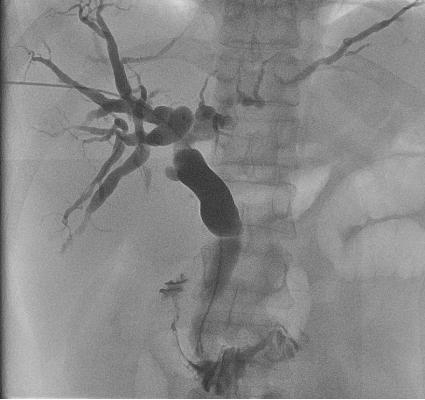
DSA引导下胆道穿刺引流
3、超声引导囊肿穿刺硬化治疗
主要包括肝脏、肾脏等脏器的囊性病变的穿刺抽液及硬化治疗,几乎“零创伤”,不需开刀,术后1天即可出院。


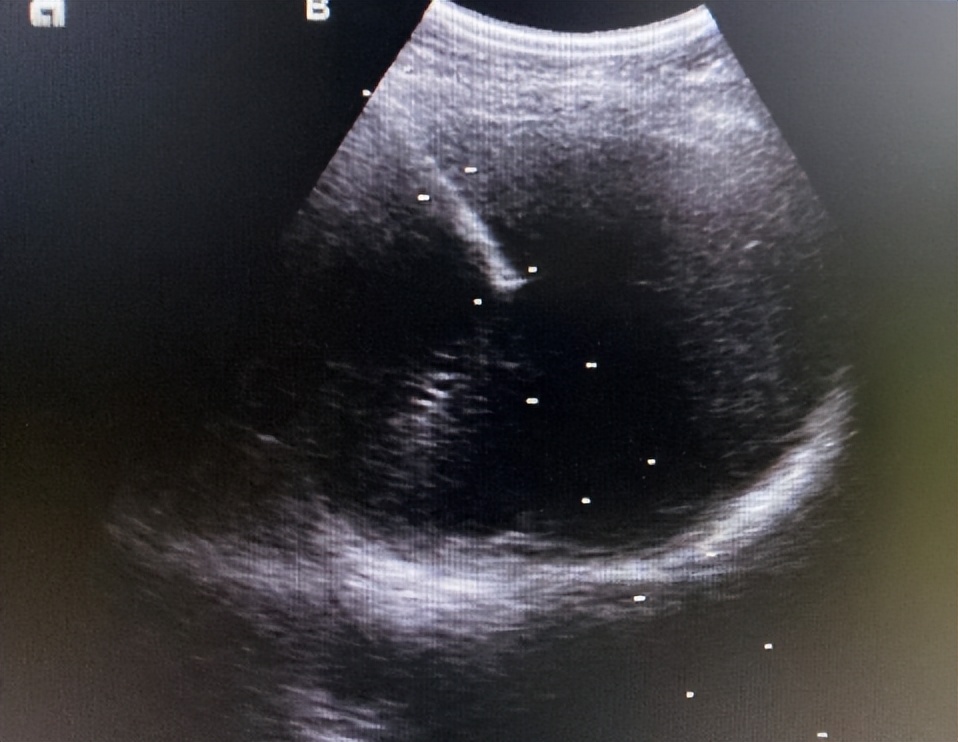
B超引导下肝囊肿穿刺抽液及硬化剂治疗
4、超声或CT引导下实体脏器消融治疗
在实时超声或者CT引导下将消融针穿刺至病灶,通过消融针快速升温,利用高温将肿瘤组织“烧死”,具有微创、“不开刀”等优势,使病灶得到根治性的治疗,如肝脏、肺部、乳腺肿瘤等脏器的消融治疗。

B超引导下肝肿物消融治疗

CT引导下肺肿物消融治疗
二、微创介入穿刺优点
微创介入穿刺在医学影像图像(B超、CT、DSA等)的引导下,避免了“盲穿”对人体重要组织器官造成不必要的损伤,且穿刺成功率高。
其优越性在于:1、手术操作简便,病人无痛苦,可在清醒状态下与操作医生交流,以配合穿刺。
2、穿刺后恢复快,不留疤痕,绝大多数病人在术后24小时即可出院。
3、通过超声、CT和DSA能获得高质量的图像,有利于选择理想的穿刺途径,寻找最安全的针道路径以避开重要脏器和大血管,从而最大限度减少对人体组织器官的损伤。
三、目前我院开展微创介入项目
1、B超及CT引导下的各类占位及浅表肿物、淋巴结活检术。
2、B超引导下穿刺引流术、导囊肿穿刺硬化治疗
3、B超引导下深静脉置换及复杂PICC置换术,输液港植入术。
4、胆道,胆管穿刺等穿刺引流术。
5、B超或CT引导下肿瘤的消融治疗等微创手术