本文通俗讲述萎缩性胃炎及癌前病变的定义、病因、治疗以及如何复查。
什么是慢性萎缩性胃炎?
慢性萎缩性胃炎是我国常见的胃黏膜慢性病变,人群胃镜检出率为7.5%~13.8%。诊断慢性萎缩性胃炎,多从电子胃镜及病理结果得出结论。
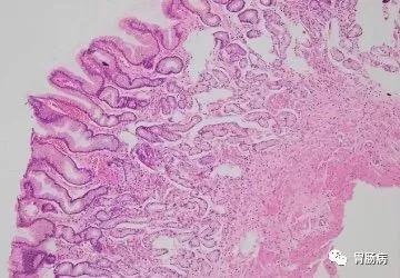
电子胃镜镜下表现:
1)黏膜变薄:黏膜红白相间,以白相为主,皱襞变平甚至消失;
2)血管显露:部分黏膜下血管网显露;
3)黏膜粗糙不平:黏膜及黏膜壁不光滑,表面参差不平,可见黏膜颗粒或结节状表现。

病理诊断:
固有腺体减少,减少小于原腺体1/3为轻度(即病理报告单上“萎缩+”),
减少大于1/3但小于2/3为中度(即病理报告单上“萎缩++”),
减少大于2/3或完全消失为重度(即病理报告单上“萎缩+++”)。

什么是胃癌前病变?
胃癌前病变是病理组织学概念,指胃黏膜上皮出现肠上皮化生(即病理报告单上“肠化”,根据肠化严重程度,可划分为+、++、+++三个级别)及上皮内瘤变,常继发于慢性萎缩性胃炎。
上皮内瘤变分为低级别和高级别两类;低级别相当于轻中度异型增生(不典型增生),高级别上皮内瘤变相当于重度异型增生。
高级别上皮内瘤变需要立即内镜下或外科手术切除。
胃癌的发生是一个渐进演变的过程,胃癌前病变是慢性萎缩性胃炎和侵袭性胃癌之间的“桥梁”,是胃黏膜上皮恶性转变的关键阶段。

早期胃癌

胃癌演化路径
事实上,萎缩性胃炎及癌前病变转化为胃癌的概率仅小部分,不必因此而“谈虎色变”,思想上能正视和科学看待,规范治疗阻止进展才是正道,过多无谓的焦虑和担心反而适得其反。
慢性萎缩性胃炎癌前病变的病因
①幽门螺杆菌感染:
幽门螺杆菌具有鞭毛,能在胃内穿过黏液层移向胃黏膜,其所分泌的黏附素能使其贴紧上皮细胞,产生的氨及空泡毒素可导致胃黏膜上皮细胞损伤,炎症反应迁延或加重。

②不良生活习惯:
暴饮暴食、喜进食腌制或烟熏食物 、长期嗜烟酒、滥用药物等,均易导致胃粘膜受损而发生萎缩、肠化及炎症变化。

③胆汁或十二指肠液反流:
由于幽门括约肌功能失调,胆汁或十二指肠液可反流至胃内,并破坏胃粘膜屏障,促使胃蛋白酶反散至粘膜内引起一系列病理变化,从而导致慢性浅表性胃炎,并可发展为慢性萎缩性胃炎或伴癌前病变。

④年龄因素及胃黏膜营养因子缺乏:
老年人多伴渐进性胃黏膜退行性改变。长期食物单一、消化吸收不良、营养缺乏,均可使胃黏膜修复再生功能降低,炎症转呈慢性化,上皮增殖异常及胃腺体萎缩。
⑤免疫因素:
在萎缩性胃炎,特别是胃体胃炎患者的血液、胃液或在萎缩粘膜的浆细胞内,常可找到壁细胞抗体或内因子抗体,故认为自身免疫反应是慢性萎缩性胃炎的有关病因。
治疗过程中的注意事项
①根除幽门螺杆菌非常关键:
诊断为萎缩性胃炎者特别是伴有肠化、上皮内瘤变的患者,因尽可能行幽门螺杆菌有效根除,以阻止胃黏膜萎缩及肠化的病情进展。(以下截图来自中华医学会消化病学分会《第五次全国幽门螺杆菌感染处理共识报告》中阐述的内容)


②治疗疗程及随访:
慢性萎缩性胃炎伴癌前病变需足程治疗,药物包括抗氧化剂、胃黏膜保护剂等。对于合并重度肠化及上皮内瘤变的患者,更强调的是定期电子胃镜+病理组织学复查,必要时行放大胃镜检查。

③中医中药干预:
症状明显伴迁延反复者,中医中药、中成药及中药药膳配合治疗,对改善症状及逆转胃黏膜萎缩、肠化有良好效果,不必累述。
④饮食、生活习惯调理:
养成良好的饮食、生活习惯,对疾病的康复太重要了,具体可参见 关于慢性脾胃疾患康复中,容易忽视但需重视的生活、饮食习惯等细节。在这里更强调的是,持之以恒,以及保持心理健康,是保证疾病能持续向好的关键因素。
#男性健康专家谈# #她健康计划#