
精索静脉曲张
概述
精索静脉曲张是指静脉瓣膜功能不全或者血流受阻,血液返流引起精索静脉内血流瘀滞,导致蔓状静脉丛异常的迂曲扩张。男性总体人群中精索静脉曲张的发病率为10%~15%,多为青壮年,80%~98%发生在左侧,发生于右侧者约为10%,双侧发病者也约为10%。
在原发性男性不育患者中,精索静脉曲张的发生率达35%~40%,在继发性男性不育患者中其发病率更高。精索静脉曲张时精索静脉内血流淤滞和*丸睾**组织缺氧以及肾和肾上腺有毒物质的返流对*丸睾**的损害,长期以来一直被认为是重要因素。由于精索静脉进行性加重,可导致*丸睾**体积与精液质量进行性下降,因而使生育力进行性下降,常可以导致继发性不育。因此,及时治疗可望恢复、改善*丸睾**和精子的功能。

病因
目前精索静脉曲张的病因学仍未完全明确,与以下几个因素有关:(1)人体长时间站立位会影响精索静脉血液自下向上回流;(2)静脉壁及其周围结缔组织薄弱,或提睾肌发育不完全,削弱了精索内静脉周围的依托作用;(3)静脉瓣膜缺损或关闭不全;(4)胡桃夹综合征、肾脏肿瘤、下腔静脉肿瘤等因素导致肾静脉压力升高、肾静脉回流障碍,最终出现继发性精索静脉曲张。

临床表现
依据精索静脉曲张程度可分为轻、中、重度。病变轻者可无不适症状,主要症状为站立时阴囊坠胀、坠痛感,可向同侧腹股沟及会阴部放射。行走、站立过久及劳累时加重,平卧、休息后减轻。淤血导致*丸睾**温度升高,精子质量下降,甚至*丸睾**萎缩。
诊断
彩超检查是诊断精索静脉曲张的首选方法,具有十分重要诊断价值。彩超可以同时显示二维图像及其血流情况,对精索静脉曲张诊断准确率约为98%,总敏感度可达100%。
经皮逆行精索静脉DSA造影一般作为介入栓塞治疗前的一部分,以评估血流返流程度、侧枝血管情况,为后续介入栓塞治疗提供依据及指导。

治疗
治疗主要包括经各种入路的传统开放手术、显微外科手术和腹腔镜手术以及介入硬化栓塞治疗。
既往文献报告,显微外科精索静脉结扎术创伤小、恢复快、术后并发症少、复发率最低,但手术时间相对较长,且需要专门显微镜和显微外科培训。而介入硬化栓塞术可局部麻醉下进行,无手术刀疤,术后恢复最快。另有文献报道介入硬化栓塞术与腹腔镜手术治疗精索静脉曲张疗效上无有明显差异。
介入硬化栓塞治疗
介入硬化栓塞治疗原发性精索静脉曲张是一种安全有效的方法,创伤微小、复发率低,为治疗精索静脉曲张提供了替代传统外科手术治疗的方法,甚至可作为首选治疗方法。术前需排除继发性原因,如胡桃夹综合征等,可通过肾静脉支架植入等治疗改善静脉回流,从而缓解症状。
介入硬化栓塞治疗采用经皮穿刺插管方式,经股静脉、颈静脉或肱静脉途径,选择性插管至精索静脉,使用弹簧圈+泡沫硬化剂对靶血管进行硬化栓塞治疗,从而达到闭塞精索静脉主干目的,阻断血流返流。

典型病例
年轻患者,会阴部*丸睾**坠胀感10余年,近半年加重。阴囊皮肤可见浅表静脉曲张,尤其长时间站立后明显加重。
- 彩超检查显示双侧精索静脉曲张,彩超及CTA显示左肾静脉回流顺畅,未见狭窄返流,排除“胡桃夹综合征”。

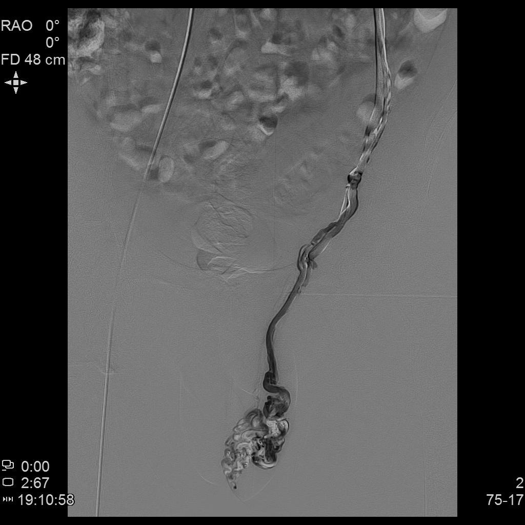
- 行左侧精索静脉造影显示左侧精索静脉明显扩张、迂曲,血流逆流。予以超选插管至左侧精索静脉中下段行弹簧圈栓塞+泡沫硬化栓塞治疗。复查造影显示左侧精索静脉主干闭塞。

左侧精索静脉造影1

左侧精索静脉造影2

左侧精索静脉介入硬化栓塞

右侧精索静脉造影

右侧精索静脉介入栓塞
- 术后第一天,患者会阴部坠胀感已有明显缓解。
