
“试管婴儿治疗前我们夫妻俩都查过染色体了,是正常的,怎么胎儿还会有染色体异常呢?”。日常出门诊时会有患者在发生自然流产时对医生开出的检查提出异议。
临床上,自然流产非常常见,其发生率约10%~15%,其中80%发生在孕12周前。对于在备孕路上苦苦等待的夫妻俩来说,自然流产无疑就是当头一棒,瞬间粉碎了刚刚获得成功怀孕的喜悦心情。
为什么怀孕了又会自然流产呢?


图:流产组织(胎儿和绒毛)
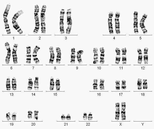
什么是染色体?


图:人类正常染色体核型图(女性:46,XX)
染色体异常的危害


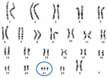
夫妻双方染色体正常胎儿染色体还会有问题吗?


自然流产组织染色体异常,还能生育吗?
自然流产组织染色体异常有很多类型,其中最常见的就是前面我们所说的这种新发畸变。即夫妻双方染色体是正常的,但由于精子或卵子形成过程中,染色体“偶然的分配不均”所导致的。这种情况一般来说,不用太担心,大多数患者再次可以自然怀孕到健康分娩。
但是,这种分配错误的风险随着女方的年龄增加而逐渐增加。研究显示当女方年龄>40岁,自然流产物染色体异常的比例高达80%以上。也就是说随着年龄增加,这种由于胎儿染色体异常导致的自然流产风险也是在显著增加的。这也是女性随着年龄增加,生育力降低到逐步丧失的过程的表现形式之一。
温馨提醒:胚胎染色体异常是导致自然流产最常见的原因,即使夫妻双方染色体正常,胚胎染色体异常也是很常见的,是胎儿自己发生的不正常。当然,胚胎染色体异常还有很多类型,不同类型的异常,其再发风险和预后也所有不同。所以,带着您的染色体分析报告找专业遗传咨询医师给您详细的分析解答吧。