一直以来猜测宝宝是男是女,是一项很热门的事情,有时候还要找关系,找朋友,欠着人情,现在我们自己能看懂B超单上的数据能看胎儿的性别,就不需要到处求人给看了。
B超数据
如果在怀孕2个月内后做的第一次检查,医生记录的数据多少厘米*多少厘米,只要长和宽的比例大于3倍,那么怀男孩的机率就大些,反之就是女孩子。
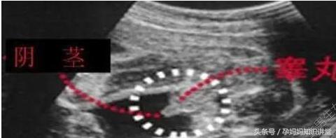
B超单看胎儿性器官
普通来说假如怀的是男孩,那麼B超上有三个点+小鸡鸡。

假如怀的是女孩,那麼可以看到三条线 。

其他一些方法
男宝肚子:
(1)特征比较明显,就像肚子前吹起了一个气球,除了这个气球别的没变。

(2)骨盆力足,腰挺。
女宝肚子:

(1)长圆肚型;线,上下不对称,肚圆超出腰线,孕相明显易显怀。
(2)骨盆无力,腰线弯,肚下坠,腰部肉厚。(孕后期,呈虎背熊腰状,多生女)
(3)辅助参考:腰腹部紧实度不够,偏软。
更多孕期育儿知识,关注孕妈妈知识讲堂“ymmzsjt”