四环素是由四环素类催化脱卤生物合成的抗生素,毒性低,四环素沉积于牙、骨骼以至指甲等,引起牙釉质发育不全。

四环素牙是指四环素族药物引起的着色牙,属于口腔科疾病。病因是在牙的发育矿化期服用四环素族药物,可被结合到牙组织内,使牙着色。四环素牙一般是由于儿童时期或者母亲在怀孕期间用四环素药物导致。

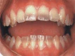
在医院门诊,医生有时会遇到这样的患儿,4-6岁左右,牙齿黑黄黑黄的,典型的四环素牙。8岁以下的儿童被禁止使用四环素类药物,为什么还会出现这样的情况?
追问孩子的生活用药史,并没有用过四环素类药物,但却意外发现这些孩子多数有大量饮用牛奶的习惯,差不多每天都会喝2杯以上。
喝牛奶会引起四环素牙吗?
如果不对牛奶进行检测化验,很难有明确证据证实孩子的四环素牙是由所喝牛奶引起,但不得不承认,无论从检测结果还是有关资料来看,动物家禽养殖中不合理使用抗生素现象目前依然存在,而且不是个别现象。普通消费者无法分辨牛奶中是否含有抗生素,除非送到专业机构去检测。

不过也不要把抗生素残留想象得过于严重,目前确实有少数牛奶存在抗生素残留,但大多数品牌、大厂家的产品,不存在这种担心,因为在检验检测上都十分严格。
四环素牙的治疗方法
1. 漂白:适用于轻度四环素着色者,可以在不磨牙齿的基础上达到一定美白效果。
2.瓷贴面:轻中度四环素牙,形态、排列基本正常者效果较好,可以在尽量少磨牙齿的基础上达到美观自然的修复效果。

瓷贴面前后对比
3. 全瓷冠:重度四环素牙,或伴有牙齿邻面龋坏、牙间隙等情况者。美观效果好,但磨除的牙体组织多。
4. 金属烤瓷冠:除适合重度四环素牙,伴邻面龋、牙间隙外,咬合过紧,牙齿咬合面难以磨出间隙者较适合。
四环素牙在治疗后该如何保养?
1.四环素牙齿在进行美白后,患者要注意自己的饮食习惯,不要吃有刺激性的食物,比如:过凉、过酸、过烫、过甜的食物等。
2.牙齿发黄的最主要原因就是在牙齿表面分泌许多黏性物质,日常饮食中的茶垢、烟渍、以及饮用水中的某些矿物质和人们唾液中的矿物质吸附在这些黏性物质上形成菌斑和牙石,逐渐使牙齿变黄或变黑。所以在生活中牙齿美白,需要注意少喝咖啡,少吃色素重的食物。

3.四环素牙齿在治疗后,患者会感到牙齿发酸,但是大家不要过分的担心,这是主要由于牙体过敏所导致的,属于正常现象,但是如果症状比较重的话,大家要及时的到医院进行复诊检查和治疗。
4.四环素牙齿的口腔清洁是很重要的,患者一定要做好牙齿的清洁,掌握正确的刷牙方式(可采用巴氏刷牙法,如下图)。早晚都要进行刷牙漱口,以确保口腔环境的清洁。

巴氏刷牙法