【影诊思维】057老年女性骶骨受侵椎管骶管内富血供占位?病理结果:海绵状血管瘤
【临床病史】
患者,女,61岁,因腰骶部痛1年,加重伴左下肢麻痛20天入院。查体:腰椎活动略受限。骶1、2棘突压痛及叩击痛(+),左下肢放散痛,放散至足踝,四肢、躯干及鞍区感觉未见明显异常。
【实验室检查】
所有检查均为阴性
【影像表现】
CT平扫

MRI平扫

MRI增强

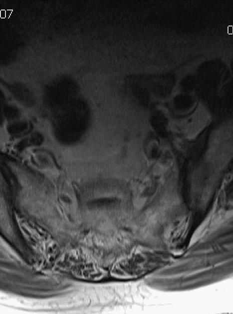
MRI平扫对比图

MRI增强对比图

问题一、请选择您认为异常的解剖部位?多选
A椎体、B终板、C间盘、D附件、E椎管、F骶管
问题二、鉴别诊断最有意义的描述是?多选
A 椎管、骶管内富血供病变
B 椎管内病灶位于硬膜外
C 骶1/2椎体骨质后缘受侵,信号升高
D椎管内脂肪瘤,T1WI及T2WI均为高信号
E骶骨、骶管骨质破坏,考虑脊索瘤
问题三、您的诊断是?多选
A蛛网膜囊肿
B神经纤维瘤
C神经鞘瘤
D脊索瘤
E脂肪瘤
F血管瘤
【病史分析】
老年女性,因腰骶部痛1年,加重伴左下肢麻痛20天入院。查体:腰椎活动略受限。骶1、2棘突压痛及叩击痛(+),左下肢放散痛,放散至足踝。以上表现高度提示腰骶部病变。
【实验室检查分析】
未见异常。
【影像分析】
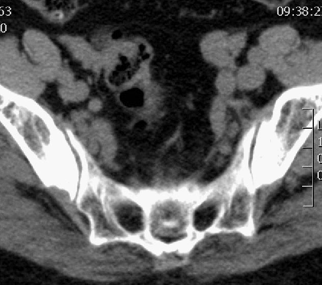
CT平扫

如图所示,红色箭头可见骶管及双侧骶孔扩张,内见哑铃型软组织密度影,绿色箭头所示骶骨后缘骨质受侵呈骨质破坏。

如图所示,红色箭头可见不规则形异常信号,轴位呈哑铃型,病灶前缘侵及骶1、2椎体后缘,绿色箭头见骨质局部破坏,病灶T1低信号,T2稍高信号,压脂像明显高信号,信号尚均匀,腰4-5、腰5骶1椎间盘向后方突出,硬膜囊受压,蓝色箭头可见腰4-5椎间盘后缘纤维化小点状T2高信号,提示纤维环后缘撕裂。本例骶1-2椎间盘形成,骶1椎体腰化不完全。

如图所示,分别为T1WI增强矢状位、冠状位、轴位,T1WI增强矢状位与T2WI压脂像非常相像,注意椎管内脑脊液信号,T1WI增强为低信号与T2WI压脂像高信号正好相反。红色箭头所示病灶明显强化,呈亮灯征感觉,清晰显示病灶范围,绿色箭头所示为病灶侵及骶1椎体后缘形成不规则形骨质破坏区。
按部位汇总:
红色箭头:病灶位于骶1-2椎体水平,轴位呈哑铃型,CT见骶1-2椎体后缘受侵、骨质破坏;MRI见病灶主体沿骶管及双侧骶孔生长,以左侧骶孔为著,T1低信号,T2稍高信号,压脂像高信号,接近脑脊液信号。
绿色箭头:骶1-2椎体后缘见信号向内部侵犯,边缘毛糙。
绿色箭头:腰4-5、腰5骶1椎间盘向后方突出,硬膜囊受压,蓝色箭头可见腰4-5椎间盘后缘纤维化小点状T2高信号,提示纤维环后缘撕裂,需警惕未来椎间盘脱出可能。
【报告模板】
描述:腰椎生理曲度存在,序列规整。所见椎体骨质边缘变尖、T1WI及T2WI均呈不均高信号,压脂像均匀低信号。腰4-5、腰5骶1椎间盘向后方突出,硬膜囊受压。骶1-2椎体水平骶管及双侧骶孔扩大,内见哑铃型异常信号,大小约6cmx5cmx3.5cm,T1WI低信号,T2WI稍高信号,压脂像高信号,病灶侵及骶1-2椎体后缘骨质,增强明显强化。
结论:骶1-2椎体水平骶管及双侧骶孔占位性病变,侵及骶1-2椎体后缘骨质,考虑神经源性或脉管源性肿瘤,建议进一步检查
腰椎退行性改变
腰4-5、腰5骶1椎间盘突出
【小结分析】
正向逻辑分析:
老年女性,腰骶部疼痛、放射至腿部。CT及MRI见骶管及双侧骶孔扩大,见软组织肿物,病灶沿骶管及骶孔生长,符合神经源性肿物生长特点,所以报告考虑神经源性肿瘤;但病灶侵及椎体后缘,需要考虑恶性神经源性肿物或者脉管源性肿物、脊索瘤或骨巨细胞瘤;特征性的是病灶的T2WI与压脂像信号相差太明显,T2WI显示软组织肿物的信号特征,压脂像和T1WI增强的信号基本一致,非常高,呈典型的亮灯征感觉,该特征在肝脏肿瘤最明显,最典型的是海绵状血管瘤。所以需要考虑神经源性肿瘤、脉管源性肿瘤、脊索瘤或骨巨细胞瘤。
排除法分析:
本例需要考虑神经源性肿瘤、脉管源性肿瘤、脊索瘤、骨巨细胞瘤、脂肪瘤、蛛网膜囊肿。
1、神经源性肿瘤是最典型的椎管内肿瘤,可以位于髓内外,分为神经纤维瘤和神经鞘瘤,神经纤维瘤为Antoni A型神经细胞,细胞结构细密,神经鞘瘤为Antoni B型神经细胞,细胞组织结构松散,多见囊变、坏死,二者信号不均,增强明显强化,神经鞘瘤囊变坏死无强化。本例无法排除。
2、脉管源性肿瘤,包括淋巴管瘤及血管瘤,特征为典型的长T2或T2高信号,尤其在压脂像呈明显与自由水一致的高信号,非常典型的亮灯征,淋巴管瘤因塑形性生长,增强无强化或环形强化为特征,本例不符合,血管瘤可以为结节状、团块状或者不规则形,T2稍高或高信号,压脂像呈明显高信号,增强明显强化。在肝脏肿瘤鉴别诊断中,用非常长的TE时间来实现重T2WI可以鉴别血管瘤和囊肿,血管瘤毕竟还是有实性成分,而肝囊肿是纯自由水信号,具有远长于血管瘤的T2时间,所以在重T2WI图像中,血管瘤信号没有肝囊肿高可以进行鉴别。有文献提示椎管血管瘤少见,部分血管瘤可能首先起源于骨质,后向椎管内生长,本例重心偏于骶管内,向双侧骶孔及骶骨骨质推移生长感觉,这点符合神经源性肿瘤,但信号特征非常符合血管瘤,且血管瘤可以具有对骨质进行压迫吸收,需要考虑本病可能。
3、脊索瘤,生长于枕骨斜坡及骶骨为特征的肿瘤,即脊柱的首尾两端,对骨质侵袭破坏,可以向四周侵袭生长,重心位于骨质来源,信号不均,增强明显强化,本例信号符合,形态不符合,概率明显减低。
4、骨巨细胞瘤,除典型长骨干骺端生长肿瘤外,可以生长于骶骨的肿瘤,需要与脊索瘤鉴别,有文献提示脊索瘤位于高位骶骨、骨巨细胞瘤位于低位骶骨,且骨巨细胞瘤具有横向生长特性,信号不均,增强明显不均强化。本例不符。
5、脂肪瘤,多生长于椎管内,伴或不伴其他发育畸形,因富有纯脂肪成分,T1WI及T2WI高信号,压脂像低信号,本例不符。
6、蛛网膜囊肿,椎管内的囊肿除了考虑蛛网膜囊肿外还有前肠源性囊肿,二者区别在于前肠源性囊肿位于椎管脊髓腹侧,以颈胸交界区多见,蛛网膜囊肿多位于脊髓背侧,因富含自由水,T1WI低信号,T2WI高信号,压脂像高信号,二者高信号没有区别,增强无强化,对周围组织没有破坏。
【手术记录】
手术名称:骶椎后路椎管内肿物切除术
手术记录:开窗将硬膜牵向内侧,可见肿瘤组织,肿物呈淡褐色,质软,表面血管丰富。用神经剥离子将肿物自蒂部完整切除,大小约2.5cm×2.5cm×1.2cm。查硬膜囊内无出血。术中诊断:考虑血管瘤可能性大。
【病理结果】
海绵状血管瘤
【出院诊断】
椎管内海绵状血管瘤
【问题答案】
问题一 AEF
问题二 AC
问题三 F