介入处理已经成为脑血管病重要的治疗方法,其微创特点能够使患者更好更快的恢复。但介入医生应当时刻清楚:“微创”并不能和“低风险”划等号!无论是动脉瘤的栓塞还是脑动脉狭窄的管腔重建,成熟的中心也依然有着2%~5%的死残率。但如果我们不断精细化技术处理和临床管理,可以将这个风险概率不断降低。
精细化的技术处理包括很多环节和具体问题。首先是对病变的形态学分析,包括其与周围结构的关系、脑循环的整体理解;其次是规划具体的技术细节,要充分考虑器材的选择。下面分别列举一个动脉瘤栓塞和一个脑动脉狭窄支架的例子供大家参考。
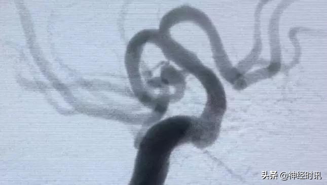
病例1
病例1是一个破裂的后交通动脉瘤,后交通动脉粗大,是胚胎大脑后动脉,必须保留;该动脉瘤并不和常见的后交通动脉瘤一样颈部接近颈内动脉主干,而是完全起于后交通动脉,而且后交通的起始部有狭窄,在动脉瘤颈部略有成角。

点击图片可查看大图详情

点击图片可查看大图详情
我们治疗的目标是填塞动脉瘤防止出血+保留后交通动脉防止梗塞。哪些技术可以选择呢?
1.单纯弹簧圈填塞(包括采用双微导管),可以实现部分或大部栓塞,但很难处理好瘤颈,也很难保证术后弹簧圈不会向载瘤动脉移位,因为瘤颈很宽。这种方法不在我的考虑范围。
2. 球囊实现瘤颈重塑,完成弹簧圈栓塞。此种方式在一般情况下应考虑首选,但该动脉瘤后交通根部狭窄,难以承受一条球囊导管和一条微导管同时通过并进行复杂操作。当然,不是不可能,至少可以试一下。但术者必须很清楚一点:在路径有角度、微导管不容易稳定的微小动脉瘤治疗时,球囊辅助技术有一定的局限性,微导管头端的位置要求很高,应当保持在合适深度,避免空间小和球囊固定导致的弹簧圈盘聚受限,造成动脉瘤破裂。
3. 支架辅助弹簧圈。支架辅助的优点主要在于可以有效避免弹簧圈移位,可以改变动脉瘤颈部的动脉成角,重塑血流并促进内皮化,提高治愈率。而它的缺点主要是服用抗栓药和血栓事件,特别是出血急性期。但由于有了更多的药物方案(如替罗非班),如果能保证支架展开理想,血栓事件常常可以避免。这个患者如果采用支架,也会存在很多的问题,会担心支架展开情况,会纠结支架尾端的定位情况(如下图),支架在颈内动脉和后交通动脉拐角延续(红色)或者尾端突入颈内动脉(黄色)都会对主干血流有影响。

点击图片可查看大图详情

点击图片可查看大图详情
那么,到底应该如何选择呢?世上的事情通常是没有万无一失的,我们需要在现有的条件下做出最能说服大家的选择。既然球囊导管不行,那一般支架的输送导管(21、27 系列)都不可取;但两条17系列的微导管应该是可以的。最后我们决定,用一条微导管插至后交通动脉试行载瘤动脉保护,另一条微导管插入动脉瘤实现填塞。如果发现弹簧圈成篮不稳定,则后释放技术放置可以通过17系列微导管的LEO BABY支架。

点击图片可查看大图详情
从上图中可以看到一条微导管插入动脉瘤,另一条在后交通-大脑后动脉中。这种策略实际上取舍了球囊技术和支架技术的优缺点,同时还留下了退路。当然,底气来源于我们有了这样的支架。
接下来便是成篮、填塞。果然,由于微导管在这种拐角条件下很难自如的调整,反复尝试后总认为载瘤动脉不能确认被保护。所以,决定采用支架辅助。
那如何放置支架?首先,这种支架直径为2.5 mm,不能在载瘤动脉内采用拐角延续释放,这样是不能贴壁的;其次,这种支架为编织支架,尾端的定位困难,尾端过多深入颈内动脉也是不合适的。理想的境界是支架尾端平齐后交通动脉根部释放。能不能实现?
规划再精细也需要用技术去表达,否则是扯淡。真正的考验就在这里。
通过几次尝试释放,我们基本摸准了支架头端的定位,然后半释放支架(只保留尾端瘤颈部小部分,箭头),这样可以保证填塞更致密。填入3个Axium弹簧圈后,我们完全释放支架。

点击图片可查看大图详情

点击图片可查看大图详情
换一个角度看:绿色虚线代表颈内动脉边缘,红箭头为支架的显影丝,是不是正好平齐呢?

点击图片可查看大图详情
病例2
病例2(下图)是一个反复头晕发作的病例,通过脑血管造影我们发现患者的右侧椎动脉已经闭塞(黄箭),左侧椎动脉颅内段95%的狭窄(红箭),这种狭窄本身不难处理,但是,同侧粗大的小脑后下动脉发自于狭窄段,而且其起始段已经狭窄呈线样(小白箭),可谓藕断丝连!

点击图片可查看大图详情

点击图片可查看大图详情
对于这样的病变该如何处理?我们最大的担心是在处理狭窄时由于对斑块的挤压、支架网格的覆盖造成小脑后下动脉闭塞;一旦闭塞就有可能出现小脑半球甚至是脑干的梗死,导致严重并发症。但狭窄如果不治疗,基底动脉血流得不到改善,患者有着很高的脑梗死风险,而且基底动脉血栓的死亡率和致残率高;即使不发生梗死,患者每天反复头晕、行走不稳已经使其生活质量大大下降。
在与家属充分沟通后还是决定治疗。我们进一步精细化了手术方案,决定术中保护小脑后下动脉。我们先放置一条柔软的微导管在小脑后下动脉(绿箭),然后再对狭窄实施扩张(蓝箭)。这样就极大地提高了保护分支的概率。

点击图片可查看大图详情

点击图片可查看大图详情
扩张完后再置入支架。经过这样的技术细化,我们可以看到在狭窄被治疗的同时,很好地保护了分支(红箭)。
总结
通过分享这样两个病例是想告诉大家:在现今的条件下,我们做介入治疗不应过于“粗放”,应该有精益求精的工匠精神,即使无法达到完美,也应时刻追求精美。精细化处理的结果是患者安全、术者舒坦!当然,治疗方案和技术的精细化,需要术者有较丰富的经验和深厚的技术基础,这就要求我们注重积累、不断思考、勤奋锤炼!
本文作者:首都医科大学三博脑科医院 刘加春

刘加春,主任医师,医学博士;首都医科大学三博脑科医院神经介入科主任。中国非公立医疗机构协会神经外科专业委员会常委,《中国脑血管病杂志》编委,中国卒中学会神经介入分会委员,北京医学会介入医学分会神经介入学组委员,北京医师学会神经介入专科医师分会常务理事,中国健康促进基金会心脑血管疾病防治专家委员会副主任委员。曾作为主要完成人获中华医学科技进步奖1项。参与编写论著3部(《眼缺血综合征的诊断与治疗》,副主编;《血管神经外科学》,编者;《神经系统疑难病例诊断剖析》,编者)。在国内外杂志发表专业学术论文50余篇。主持北京市生物医药与生命科学创新培育研究课题1项。作为主要研究者参加多项国家自然科学基金项目、卫生部重点学科项目和国家“十二五”科技支撑计划项目等课题研究。
作者 | 刘加春
编辑 | 董晓慧
审校 | 宋道宇
觉得好看有用记得点赞【也可以评论发表您个人的见解与看法或疑问】
不要忘记分享给更多的朋友,让我们共同学习进步!谢谢!!