您有没有听说过肺上长“痘痘”?
我们说的肺上的“痘痘”
可不是脸上长的青春痘,
而是在查体发现的越来越多的
肺小结节
据文献报道约10%-20%肺部小结节是恶性肿瘤。针对这些肺小结节,特别是磨玻璃结节,传统的检查手段如穿刺活检、支气管镜、PET-CT等对于“痘痘”的良恶性无法穿刺定性或“痘痘”太小不易穿刺,辨识度也不清楚,而带鱼钩的肿瘤穿刺定位针是解决上述盲点的精准手段,对以后的诊断及治疗有着重要意义。
近日市中心医院胸外科联合放射科应用肺结节定位针对肺小结节进行术前精准定位,然后成功完成了一例单操作孔胸腔镜下肺小结节切除术。


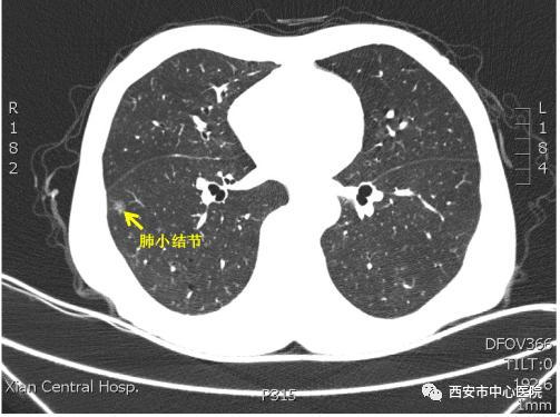
患者为一名62岁男性,因咳嗽4月来我院就诊,行胸部CT发现左下肺磨玻璃结节大小约8.6cm×7.7cm。由我院李建英副院长领衔的肺小结节MDT专家团队对患者肺小结节进行了综合评估,根据胸部CT上肺结节的影像特征(>8mm磨玻璃结节),结合患者慢性咳嗽等临床症状,认为此患者肺小结节为早期肺癌可能性大,建议患者手术治疗。
患者入住我院胸外科后,徐涛主任团队为患者制定了术前定位针精确定位联合单操作孔胸腔镜微创手术的治疗方案。这种方法是目前治疗肺部小结节最前沿最有效的方案。首先在放射科医师的辅助下进行CT下定位,医生将肺结节定位针进行精准定位并将定位针留置在小结节的位置上,定位完成后,患者直接被送往手术室,由徐涛主任主刀,李广顺主治医师为一助,成功完成了单操作孔下胸腔镜微创肺肿瘤切除。白娟护士长带领的护理团队为其定制术后快速康复计划:患者于术后6小时开始胸外专科功能锻炼,14小时下床活动,术后第3天拔除胸管,5天后康复出院。术后的早期活动极大地降低了深静脉血栓的发生率,降低了患者的住院时间和经济压力。


【科普知识】
请大家对于体检发现的肺部小结节要高度的重视,因为肺癌具有病情进展速度快、死亡率高,平均生存率为1年左右,故医学上被称为“癌王之首”。如果怀疑为早期肺癌,需尽快进行肺癌微创根治手术治疗,手术只切除小结节及周围3-5cm区域,术后无需任何辅助治疗,此手术最大限度的保留了肺组织,对远期肺功能(老慢支、肺气肿)起到了很好的保护,5年生存率可达到90%以上。而晚期肺癌的五年生存率不到5%,因此对于肺癌患者来说早发现、早治疗的效果截然不同,同时对于患者的心理压力也是一种诠释。
西安市中心医院

医院院训:尚德 精术 和谐 创新
门诊时间:
平 诊:8:00——12:00 14:00——17:30
假日门诊:8:00——12:00 14:00——16:00
急 诊:24小时(全天候服务)
就医指南:门诊大厅——咨询台——分诊挂号——就诊——检查——取药(或治疗)——住院或离院
联系方式:
预约诊疗方式:
手机APP、微信预约、网上预约、电话(95169)预约、诊间预约、自助机预约
西安市中心医院网址:
http://www.xaszxyy.com
预约网址:
www.zxyyyy.com www.guahao.com
邮编:710001
医院地址:
西安市西五路161号(南院)
西安市后宰门185号(北院)
乘车方式:地铁1号线、2号线北大街站D口出站
公交车:4路、6路、9路、10路、11路、12路、26路、33路、36路、37路、102路、103路、182路、205路、208路、229路、235路、236路、301路、600路、601路、606路、608路、609路、616路、618路北大街站下车


