#左撇子#
本文作者 无奶树 | 公众号 biokiwi
本文关键词 惯用手 猫 袋鼠 大脑不对称 语言
在很多商店里,总会有一只举起爪子的金色猫咪朝你“招手”,也就是大家应该都见过的招财猫。
但是,你还记得它招的是哪只手吗?

好像左右手都有欸(据说台湾还会有双手,图源:Wikipedia)
招财猫最早来自日本,而一般说法是公猫会举起右手,象征招财进宝,而母猫会举起左手,象征广结善缘,招揽顾客。
不过我们更关心的是:难道招财猫既是右撇子也是左撇子?那现实的猫又是什么呢?
猫也有惯用手?
我们一般会把习惯使用的那只手称作“惯用手”,这也是左右撇子的典型区别之一。
但是,难道猫也会有惯用手?没想到真的有科学家探究了这个问题。
因为在正常环境下用哪只手还是比较难观察到的,所以科学家给猫咪们设计了几个非常简单的任务:
任务1:取出放在小罐子里的食物(猫咪没办法用嘴直接吃到); 任务2:抓逗猫棒; 任务3:抓地上逐渐被扯远的玩具。
让猫每天做几次实验(真的不是玩吗),直到做满100次,而(逗猫的)实验人员则会记录下每次猫最先使用的爪子。
你觉得最后结果是什么呢?

我寻思着这个实验家里有猫也能做(图源:unsplash)
在计算完猫咪使用爪子的偏好性之后(见下表),科学家发现,对于难度较大的任务1猫咪们表现出了明显的惯用手,而且还和性别有关:
公猫更偏向于使用左爪(21只里有1只喜欢用右爪,一只没有偏好);而母猫更喜欢用右爪(同样21只里有1只喜欢用左爪)。
而对于猫猫喜欢玩的逗猫棒和玩具这种比较简单的事,猫咪都没有表现出惯用手。

实验结果,惯用指数是根据百次实验计算的参数,正数越大代表倾向左手,负数越小代表倾向右手(数据来源:We
至少现在我们可以先回答开头的问题了:日本人搞反了,应该是公猫左爪子母猫右爪子。
其实不不止猫有惯用手
如果我们进一步地思考,就会想:除了猫之外还有动物会有惯用手吗?
答案显然是有的,而且还挺常见的,最著名的当然是招潮蟹。还记得在纪录片上看过的只有一只大钳子的螃蟹吗?那显然是惯用手的一种极端进化了。

吃我一钳!(图源:Wikipedia)
除了这个特殊案例,科学家观察还发现很多对某个方向的偏好性:
- 鹦鹉嗑瓜子会习惯用特定一边的爪子,并且有“惯用爪”的鹦鹉吃东西比其他鹦鹉更高效;
- 鱼、青蛙、鸟类会更倾向于用右眼去看东西(鱼要是不朝一边游,一群鱼可能就越游越分散了);
- 座头鲸喜欢用右侧的下巴去蹭海底找吃的;
- 小鸡在吃东西的时候会更倾向于先把右边的东西吃完;
- 北极熊却喜欢用左边的熊掌狩猎;
- 还有研究发现成年的黑猩猩会更喜欢用左手去摘果子或者敲坚果(不过小猩猩就没有惯用手,我们后面还会提到这个);
- 龙虾的那对大钳子也不是对称的,有一个主打进攻,另一个却喜欢出虚招,大有武林大师的风范。

把小鸡卡在一盘食物面前,它吃完正前方的食物后,会优先吃自己右边的(图源:NewScientist)
说到武林大师,还有一类我们熟悉的拳击大师,袋鼠,也有惯用手。科学家通过野外观察袋鼠的生活习性,发现它们在挠鼻子,摘树叶的时候都会喜欢用左手。
他们进一步还发现,袋鼠在做一些精细操作的时候会偏好左手,而右手则更多是去做一些体力活。
这也给了科学家对于这种生物对于侧向化的倾向有了很大的启示:惯用手的形成不止是因为大脑的不对称,还有可能是和是否有直立行走习惯导致的。

野外观察的袋鼠行为,包括站着进食(两足着地,A)、趴着进食(四足着地,B)、半趴着进食(三足着地,C)和双手进食(D)(图源:Giljov A, et al.)

基于对袋鼠的观察,科学家假设可能惯用手和两足动物有关,因为同一类的爬树的动物就没有惯用手(图里的鼠狐猴和蜜袋鼯,图源:Giljov A, et al.)
怎么就和大脑有关了?
等等,我们好像跳跃的有点快,刚刚还在谈手的事情,怎么就到大脑了?
让我们更深入地想想这个问题,并把目光投到我们最熟悉的生物——人类——上的研究。
最早的研究聚焦在人类大脑半球的不对称。虽然乍看上去人的大脑像个迷宫一样密密麻麻的,感觉两边也没啥区别。但是仔细琢磨你会发现,其实并不是完全对称的,很多地方都有不一样:

仔细观察,你就会看到真的不太一样
而其他的动物的左右大脑却基本差不多(可能也是没那么多沟沟壑壑的),当时的科学家一结合,就想这会不会是人类的高级认知功能有关系?之后就相继发现:
- 大脑管理语言区的位置左右脑半球不一样;
- 当把左右脑连接的部位——胼胝体——割开之后,很多认知行为发生了变化,并且发现左右脑负责的功能有些许不同(想想现在的左右脑智力开发广告,就从这来的);
- 左右脑供血在不同的活动中会有差异,比如右撇子在说话组织语言时,左脑更高效,而找东西认路的时候,右脑更高效;
- 听音乐的时候会有左脑去分析音乐,右脑则是直觉地听(暗指没学过音乐的人听音乐只会用半边脑子);
- ……

不少教育机构就很喜欢摆出这样的图来展示他们的专业性,虽然没太大问题,但实际上……你难道两边脑子分开来教吗?(图源网络)
而在科学家探索于语言功能与大脑不对称之间的关系时,他们接着发现:好像语言的能力和惯用手有关。
因为左右脑控制的器官其实是反过来的,比如说左脑一般控制的是右眼和右手,同理右脑就会控制左手(前面提到的隔开左右脑的实验发现了这个现象)。
而对于右撇子,语言相关的脑区在左脑比较发达,那……是不是有可能左撇子的右脑语言能力就更发达呢?
统计学的证据虽然不太显著,但确实能看到这个因素的存在:97%的右撇子语言区都在左脑,而只有70%的左撇子语言区在左脑。
既然统计上也没太明显差异,还会有什么因素影响呢?
各路生物学家齐上阵
到如今,伴随着生物学的多方向的发展,这个问题又得到了新的解答,认知心理学家、遗传学家、神经学家都给出了各自的答卷。
认知心理学家发现,不到一岁的小孩子就不会出现明显的惯用手,随着年龄增长,周围的环境——比如妈妈的引导,玩玩具甚至是学习使用各种小工具等等——都会引导婴儿惯用手的形成。
回想我们之前提过的关于大脑发育过程中,大脑不断发生着“修剪”逐步完善,这可能就和惯用手的形成有关系。
相对于各种行为和认知,遗传学家更关心基因——什么基因变化可能导致惯用手的改变呢?
比如有的遗传学家就把目光放在了脑不对称上:通过检测胎儿时期左右大脑表达的基因差异,发现了很多在大脑,乃至各种器官不对称上表达不同的基因:

左右大脑基因表达差异较大的基因,这样看起来还蛮明显的(图源:Sun T, Walsh C A.)
而随着基因组测序的发展,也有遗传学家通过几十万人的基因组信息和他们的惯用手差别,来找可能和惯用手有关的及基因位点。
他们找到的一个线索(是的,只是线索,并不能确定,这也是这类研究的通病),一个叫做MAP2的基因可能通过调控大脑发育,来影响惯用手。
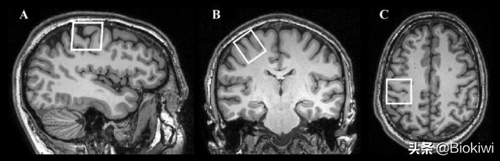
而神经学家则利用现代更清晰的大脑成像,对左撇子和右撇子进行了统计,看他们的左右大脑差异。
他们也找到了很有意思的结果:左撇子的左右脑差异相较于右撇子的更小,并且男性的这种差异更明显。
(说不定左撇子更聪明是因为左右脑发育比较平衡?)

左右脑在成像上一些显著的差异(图源:Yousry et al.)
不过看各路生物学家们提交的答卷来看,到底为什么会产生左撇子和右撇子这个问题还缺少一个准确的解释。
毕竟这样一个看似简单的现象,背后可是蕴含着复杂的认知过程,其机制不仅一时半会讲不清楚,还和语言、脑的不对称性、大脑发育等等因素息息相关。
但是当我们回过头来看看眼前的招财猫举起的是哪只手,是不是发现问题变得没那么简单了呢?
(不,是作者你太能扯了)
参考资料:
- Wells D L, Millsopp S. Lateralized behaviour in the domestic cat, Felis silvestris catus[J]. Animal Behaviour, 2009, 78(2): 537-541.
- Magat M, Brown C. Laterality enhances cognition in Australian parrots[J]. Proceedings of the Royal Society B: Biological Sciences, 2009, 276(1676): 4155-4162.
- Nora Schultz. Southpaws: The evolution of handedness. https://www.newscientist.com/article/mg20627581-600-southpaws-the-evolution-of-handedness/
- Sugiyama Y, Fushimi T, Sakura O, et al. Hand preference and tool use in wild chimpanzees[J]. Primates, 1993, 34(2): 151-159.
- Giljov A, Karenina K, Ingram J, et al. Parallel emergence of true handedness in the evolution of marsupials and placentals[J]. Current Biology, 2015, 25(14): 1878-1884.
- 朱建国. 大脑不对称性研究的进展——脑功能生理相关物在脑的不对称研究中的运用[J]. 应用心理学, 1986 (2): 33-35.
- Annett M. Hand preference and the laterality of cerebral speech[J]. Cortex, 1975, 11(4): 305-328.
- Michel G F, Campbell J M, Marcinowski E C, et al. Infant hand preference and the development of cognitive abilities[J]. Frontiers in psychology, 2016, 7: 410.
- Sun T, Walsh C A. Molecular approaches to brain asymmetry and handedness[J]. Nature Reviews Neuroscience, 2006, 7(8): 655-662.
- De Kovel C G F, Francks C. The molecular genetics of hand preference revisited[J]. Scientific reports, 2019, 9(1): 1-9.
- Germann J, Petrides M, Chakravarty M M. Hand preference and local asymmetry in cerebral cortex, basal ganglia, and cerebellar white matter[J]. Brain Structure and Function, 2019, 224(8): 2899-2905.