膝关节和踝关节之间的小腿有两根骨头,其中位于内侧较粗的骨头叫胫骨,而位于外侧较细的骨头叫腓骨。在这两根骨头中,体重主要由较粗的胫骨来支撑,但这并不意味着腓骨可有可无,尤其是它在下方通过一组韧带和胫骨共同构成了踝关节。

腓骨骨折多见于以下三种情况:
1. 踝关节损伤导致的腓骨骨折
2. 合并胫骨骨折的腓骨骨折
3. 腓骨应力性骨折
在这些情况当中,要数踝关节损伤导致的腓骨骨折最为常见。
症状
如前所述,腓骨的位置决定了其一旦发生骨折,往往伴有周围其他骨骼、韧带的损伤。
腓骨骨折最常见的症状包括:
- 腓骨(小腿外侧)骨折部位会直接感觉到疼痛
- 骨折部位肿胀
- 受伤部位瘀血
通常,依靠X光片就可以对腓骨骨折做出诊断,但在应力性骨折等少数情况下,常规X线检查不会显示腓骨骨折。此时,医生除了检查受伤的部位以外,同时还会对膝关节和踝关节进行检查。如果腓骨临近的膝、踝关节的位置也存在异常,就会对腓骨骨折的治疗方案产生影响。
踝关节损伤
由于踝关节在解剖结构上和腓骨的紧密联系,踝关节损伤时不应忽视腓骨受伤的可能。
腓骨骨折最常见的位置就在踝关节水平。如有不伴有踝关节其他结构的损伤,发生于踝关节水平的腓骨骨折,又被称为单纯腓骨骨折。这种损伤往往发生于踝关节旋转扭曲的时候,踝关节内侧的韧带和骨骼均保持完好。此时踝关节的稳定性不会受到影响,通常可以采用简单的保护治疗即可。

在这种情况下,使用石膏托或支具就可以对踝关节起到很好的支撑作用。拐杖要使用数周的时间,以利于肿胀和疼痛的消退。疼痛减轻后,患者就可以开始康复锻炼,并逐渐恢复行走。
有时,腓骨骨折会合并踝关节内侧骨骼(又称为内踝)或韧带(称为三角韧带)的损伤,通常就需要更积极的治疗。在这种情况下,医生又称之为“双踝骨折”,必须要通过手术来恢复踝关节的稳定性。如果不进行手术,则踝关节的对位会逐渐发生异常,从而导致踝关节炎的发生。

腓骨骨折可能导致的另一种损伤就是下胫腓联合损伤。下胫腓联合包含了数根韧带,它刚好在踝关节的上方,把胫骨和腓骨紧紧地连在一起。 当下胫腓联合在踝关节受到损伤时,通常需要通过手术来恢复骨骼的正确位置。
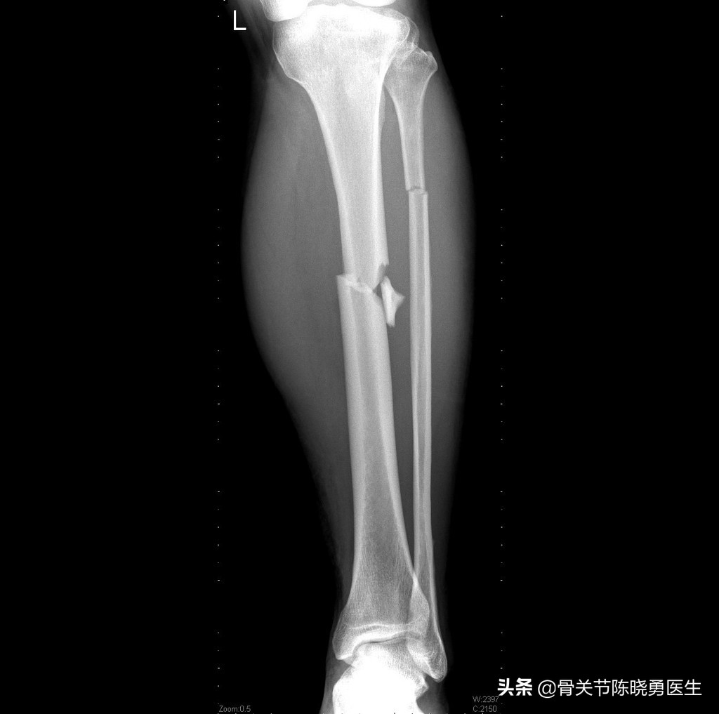
腓骨和胫骨干骨折
车祸、运动损伤或跌倒可能导致损伤踝关节上方的胫骨和腓骨同时损伤,这种损伤又被称为“胫腓骨骨折”。这种骨折通常需要手术来恢复下肢的正常力线。

当对胫骨进行手术固定以后,如果医生评估腓骨骨折不会影响下方的踝关节,就不需要对腓骨进行固定。
也有少数病例的胫腓骨骨折没有发生明显移位,此时可以考虑采用长腿石膏(大腿到脚)对骨折进行支撑和保护。
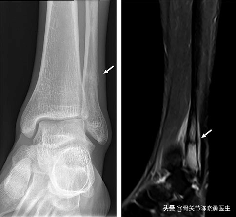
腓骨应力性骨折
有一些长跑或长途行走的患者,腓骨可能会因为受到长期、反复的压力而损伤。这种类型的损伤就称为应力性骨折。应力性骨折的疼痛可能会逐渐开始,随着运动量的增加而加重,休息后可以缓解。

治疗
腓骨骨折的治疗方案取决于许多因素,包括骨折的位置和是否发生了与骨折有关的其他损伤。除了手术以外,医生也会采用支具或石膏来预防骨折移位。
由于只有少部分的体重通过腓骨传递(大部分体重通过较粗的胫骨传递) ,许多类型的腓骨骨折都可以保守治疗。虽然单纯的腓骨骨折通常很快就可以自行愈合,但是如上所述,在涉及到其他部位损伤的时候,就可能需要手术治疗了。所以对腓骨骨折进行全面正确的评估显得至关重要。
腓骨外科手术: 修复腓骨骨折最常用的方法是用金属板和螺丝钉。医生通常将金属板固定在骨折部位的外侧,在骨折部位上方和下方至少分别使用3个螺丝钉。有时候,如果骨折部位接近腓骨的末端,骨折的两侧可能没有放置3个螺钉的空间,医生可能会考虑辅助采用其他的方法来加强骨折的稳定。
