
子宫内膜异位症主要见于育龄期女性,患病率约为 5%~ 10%,其中卵巢子宫内膜异位症是最常见的类型,亦称为“卵巢巧克力样囊肿”,占所有子宫内膜异位症比例约为 17%~44%。

腹腔镜下卵巢囊肿剔除术一直被视为治疗卵巢巧克力囊肿的金标准,但不可避免对卵巢储备功能产生负面影响,且术后复发者不推荐反复手术治疗。经典超声引导下穿刺抽吸硬化治疗是治疗拒绝手术或者有手术禁忌的替代方案之一,但既往文献报道相关复发率仍较高( 50%~ 60%)。

本研究团队通过 CT 精准引导,经皮穿刺留置多侧孔猪尾型引流管,可以更加充分有效抽吸、冲洗囊腔,并可安全、多次注射泡沫硬化剂治疗,更加彻底硬化治疗囊壁,有效粘闭囊壁从而显著提高疗效(整体有效率为 98.0%),同时有效避免囊液及硬化剂外渗风险,显著提高治疗安全性。

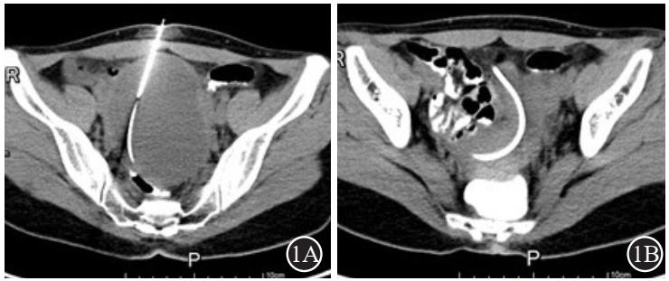
经前腹壁穿刺置管硬化治疗
本组研究未婚人群比例较高( 76.5%),且大部分患者尚无*生活性**,而 CT 引导下经皮穿刺途径拓展了该 部分不合适经阴道超声引导穿刺的患者人群,使其避免腹腔镜手术创伤及风险。

经骶尾部穿刺置管硬化治疗
本研究患者术后 6 个月停药复查时,绝大数患者 AMH 已恢复到术前水平。本研究中 12 例已婚患者术后近期有生育需求,其中 6 例成功受孕( 5 例自然受孕, 1 例试管辅助生殖),受孕成功率为 50%。

临床研究入组标准:
- 年龄在18~40岁,经相关检查诊断为卵巢巧克力囊肿者,排除卵巢良恶性肿瘤者;
- 彩超等影像学检查显示卵巢巧克力囊肿最大径≥4cm以上,且一侧卵巢为单发囊肿者;
- 既往经药物保守治疗无效或者复发者;
- 既往行妇科手术或者腹腔镜手术后复发者。
联系方式
需要咨询者可通过头条平台留言或者私信联系沟通。