Composites: Part B 43 (2012) 124–128
SciVerseScience Direct
Composites: Part B
journal homepage:
膨胀聚磷酸铵(APP)和三聚氰胺(MC)对环氧/玻璃纤维复合材料性能的影响
W.K. Patrick Lim , M. Mariatti ,⇑, W.S. Chow , K.T. Mar
马来西亚槟城14300Nibong Tebal大学工程学院材料和矿产资源工程学院b英特尔技术(M)SDN。Bhd.,11900Bayan Lepas,Penan g,马来西亚
文章信息
Article history:
Received 31 March 2011
Received in revised form 18 October 2011 Accepted 1 November 2011
Available online 10 November 2011
Keywords:
A. Polymer-matrix composites (PMCs)
B. Thermal properties
D. Thermal analysis
D. Mechanical testing
理论
膨胀聚磷酸铵(APP)和三聚氰胺氰酸盐(MC)等无卤阻燃剂对环氧/玻璃纤维复合材料可燃性和力学性能的影响 对现场系统进行了研究。总的来说,与MC相比,膨胀APP显示出更好的可燃性结果。在UL-94测试和LOI中,5vol.%APP的复合材料表现充分良好,而20 第%MC被要求达到类似的结果。将1vol.%MC添加到4vol.%APP中,表明复合阻燃性能有所提高。复合材料达到最大弯曲度 在15vol.%时,动态力学分析表明,阻燃剂的加入增加了储存模量,但不改变玻璃化转变温度TG。
© 2011 Elsevier Ltd. All rights reserved.
1. 引言
热固性环氧树脂由于其优越的电气、热和机械性能,在电气和电子工业中被广泛使用,或者与玻璃纤维一起使用。H 然而,由于所涉及的高热,较差的易燃性能限制了其在该领域的发展和应用[1]。除此之外,玻璃纤维可以引起烛芯 影响,其中燃烧的燃料通过毛细管作用转移[2]。这显著加快了聚合物底物的燃烧和分解速率..因此,阻燃 由于TS(FR)在减缓燃烧速率、减少烟雾排放、减少热发射和熄灭火焰等方面起着重要的作用,它成为一种必要的添加剂。例如,四溴二苯 己醇A(TBBA)是当今在印刷电路板(PCB)等电子产品制造中最广泛使用的卤化阻燃剂[3]。.然而,随着全球向绿色环境迈进,人们更倾向于使用无卤阻燃剂,而不是溴化二苯醚等选定的卤化阻燃剂 在特定条件下排放有毒二恶英的多溴联苯[4]。此外,还发现加入卤化FR可降低热稳定性和玻璃的传递性 关于电子应用基板的温度,TG[5]。目前有许多无卤FR,即金属水合物、氮基、磷基和膨胀型 类型。
⇑ Corresponding author. Tel.: +60 4 5995262; fax: +60 4 5941011.
E-mail address: (M. Mariatti).
在最古老的阻燃剂中,氮(N)型是环保添加剂。由于它们的高分解性,它们很容易与聚合物一起回收利用 关于温度[6]。氮基的例子是三聚氰胺及其盐衍生物,如三聚氰胺氰尿酸盐(MC)。MC在加热时分解为三聚氰胺和氰酸盐化合物.这是吸热的 过程导致散热器,有助于灭火[7]。同时,分解过程释放出氨等气体,从而稀释t中的氧气浓度 他包围并随后在火焰中[8]。相比之下,多年来磷(P)型也因其在焚烧过程中释放无害副产品而受到欢迎[9]
近年来,膨胀型阻燃剂因其固有的灭火能力而受到广泛关注。用于 描述为膨胀的FR,t的材料 需要主要成分,酸源,碳化剂和发泡剂[1]。酸源分解生成矿物酸,碳化剂通过脱水形成焦炭 碳化,发泡剂产生气体泡沫。这些泡沫将作为材料抵御外部热和火灾的保护屏障[10,11]。
在本研究中,我们旨在评估膨胀APP和MC阻燃剂对电子包装应用的影响..据我们所知,应用程序是环氧树脂的有效FR,但MC有蜜蜂。 通常只用于聚酰胺热塑性塑料。没有对这两个FRS和它们在环氧/玻璃纤维基体中的杂化。本文由两个阶段组成。第一阶段包括对两个FRs各自的特性进行评估,而第二阶段则决定EF 从APP和MC混合在此衬底上的影响。
W.K. Patrick Lim et al. / Composites: Part B 43 (2012) 124–128 125
[1] posites. Composites Part B 2008;39(6):933–61.
2.实验
2.1材料
阻燃剂Budit3159膨胀聚磷酸铵(APP)和Budit315E三聚氰胺氰酸盐(MC)由BrightechSupply(M)SDN提供。Bhd.该应用程序的平均粒径d50为5 密度为1.90g/cm3的1磅。同时,MC的平均粒径为1.8lm,密度为1.63g/cm3。来自Hexion的环氧EPON8281和来自巴斯夫的聚醚胺BaxadurEC301是u 分别作为树脂和固化剂。还使用线性密度为200g/m2的E型机织玻璃纤维来增强复合材料。
2.2.加工与配方
环氧树脂首先与阻燃剂一起超声处理约10分钟,在24kHz和50%振幅下使用HielscherUP200S超声器。然后在MI中加入固化剂 再次超声5分钟。然后,在室温下,将混合物置于真空烘箱中约20分钟,以去除气泡。 并且被镶嵌成两层编织的玻璃纤维。在真空装袋之前,将树脂逐层涂在机织玻璃纤维上。复合材料在室温下固化18h, 在80°C下再烤2小时。样品的命名根据配方EAPx和EMCy。对于混合体系,配方为EAPx-MCy..x和y表示使用i的FR装载 n vol.%。标准环氧/玻璃纤维复合参考样品命名为EG。对于混合复合材料,将使用的FR总量固定在5vol.%。两种不同比例的FR混合系统 采用TEM进行比较,即80%APP-20%MC和50%APP-50%MC.
2.3. 特性描述
固化后的样品进行UL-94垂直燃烧和限制氧指数(LOI)火焰测试程序..对于UL-94火焰测试,尺寸为127毫米13毫米1的矩形样品.将7毫米垂直放置在火焰室中。在样品底部施加两次可见火焰10s,按灭火时间隔开..样品为特征 根据火焰熄灭、滴落和发光时间所需的时间,将其定义为V-0、V-1或V-2。根据ASTM D-2863进行LOI测试,使用尺寸为 12毫米13毫米1.7毫米只有受控的、最低的(5vol.%)和最高负荷(20vol.%)的FR被选择性地使用LOI进行测试,以确保其符合UL-94测试结果。
用热重分析(T GA,Pyris6,PerkinElmer)对FR、其杂化体系和复合样品的热稳定性进行了表征。样本 将10~15mg的重量插入锅中,在N2气体下,流速为20mm/min。样品从室温加热到700°C,加热速率为10°C/min。初步分解i 从分解曲线中得到了温度、T5、积分过程分解温度(IPD T)、分解速率和剩余残基。为了获得IPD T值, 图中的热图。1分为三个主要区域。曲线的面积比和系数每个面积都是根据EQ计算的。(1)和(2).然后根据Eq计算IPDT。(3)[12].

其中A是TGA热图曲线的总实验曲线的面积比,K是A的系数,Ti是初始实验温度,Tf是最终实验温度 是的。利用场发射扫描电子显微镜(FESEM)模型ZeissSupra35VP研究了复合材料的断口形貌。样品为镀金镀层bef 矿石观察以提高电导率。
使用Instron3366根据ASTMD-790在23°C下测定弯曲性能..支撑跨度长度固定在50mm,变形速率固定在10mm/min。動力機械支柱 采用动态力学分析(PerkinElmerDMA8000),在3点弯曲模式下测定了环氧/玻璃纤维/FR复合材料的性能。尺寸为50毫米5毫米1.7毫米的样品是热的 从室温到130°C,升温速率为10°C/分钟。频率设置为1Hz,振幅设置为0.01mm.
3.结果和讨论
表1根据UL-94标准和LOI描述了复合材料的易燃性结果。在UL-94中,LOI为21%,没有任何额定值,参考环氧/玻璃纤维(E G)组成 事实证明,ITE在环境条件下很容易燃烧。应用程序的复合材料在阻燃性能方面表现更好,在低负载5vol.%和5vol.%时达到V-0状态,并且20vol.%为了进一步区分性能,EAPP5获得了26%的LOI读数,而EAPP20获得了48%。对于被归类为自熄灭材料的材料,最低LOI为2 需要达到6%[5,13]。巨大的差异意味着应用程序在更高的负荷下灭火的更好的能力。相比之下,除EMC20外,填充MC的复合材料未能达到 在UL-94测试下达到任何评级。EMC20设法达到V-0等级,LOI为28.2%。应用程序所显示的更好的易燃性能可能是由于其促进焦炭的机制。 增强了泡沫屏障的形成。另一方面,MC主要运行在散热器和氧气稀释过程中,在去除热量方面效率较低。別人 这两种FR的分解行为都可以在图中看到。2,其中观察到APP按三个阶段分解为剩余的字符,而MC只记录了一个分解阶段,其中它r 释放氨和二氧化碳气体。这些气体会稀释周围火焰区域的氧气气体浓度,从而抑制火焰扩散[8]。
表一:

对于5vol.%FR的杂化复合材料,EAPP4-MC1达到V-0状态,LOI为27.8%,而EAPP2.5-MC2.5的V-1等级为25.8%。与Wi相比,EAP4-MC1的LOI值较高 由于其较高的APP含量,EAPP2.5-MC2.5被期望,这有助于更有效的性能。然而,在仅添加1vol.%MC的情况下,EAPP4-MC1的LOI记录显示出更好的p值。 比EAP5更有效。与EMC5相比,EAP2.5-MC2.5也取得了更好的效果。混合易燃性的提高代表氮磷(N-P)协同作用,其中MC产生不燃 氮气,可以进一步膨胀和膨胀形成的焦炭。这些膨胀的炭,作为冷凝相的热障,可以通过防止接触来提高其性能 气体燃料和热量来自聚合物树脂[6,14]。然而,这种协同效应是部分的,仅限于一些组合物,如EAP4-MC1,因为LOI优于E。 APP5和EMC5。这两种FR之间的混合机制如图所示。因此,值得注意的是,这两种化合物都比APP或MC分解得早得多。它也被怀疑 加入少量的MC可以提高焦炭产率,因为混合化合物(APP80-MC20)的残差甚至比APP本身高约8%。
环氧/玻璃纤维/FR复合材料的分解行为如表2所示。值得注意的是,所有测量到100°C的复合样品的水分含量都低于 1%,这对于电子应用是必不可少的。T5显示了分解发生的温度,直到5wt.%的复合材料丢失。它也是一个明显的t 复合材料的热稳定性。积分过程分解温度(IPD T)根据树脂的挥发性成分来衡量树脂的固有热稳定性。In gen 随着FR的加入,环氧/玻璃纤维复合体系的热稳定性降低。随着MC的加入,热稳定性只略有下降,而APP则略有下降。 将热稳定性降低到约325°C。应用程序填充样品的T5较低,但IPDT较高,残留含量在700°C。由于应用程序中存在磷酸盐基团,它决定 在相对较低的温度下形成耐热焦炭,可延缓环氧树脂的分解速率[12,14]。较高的IPDT也意味着这种组合的*在用潜**途。 在高温下。另一方面,MC不能改善焦炭形成行为,会产生较低的残留量[15]。与MC填充的样品一样,混合FR记录了一个巨大的DR 与未填充复合材料(E G)相比,IPD T值中的OP。较低的IPD T值意味着MC大大增加了树脂的有机分数,因为存在更多的挥发性c。 ompositions.应用程序


具有形成字符的能力,显示出比MC更高的IPDT。这些焦炭可以被定性为非挥发性部分..吴等人[12]报告了类似的结果,即添加磷a 三聚具有形成字符的能力,显示出比MC更高的IPDT。这些焦炭可以被定性为非挥发性部分..吴等人[12]报告了类似的结果,即添加磷a 三聚氰胺基团降低了环氧树脂的IPDT。复合材料的弯曲性能见表3..结果表明,FR的加入增加了弯曲强度。 和模量。然而,强度和模量都达到峰值在15vol.%,然后略有下降在20vol.%。高载荷下的强度

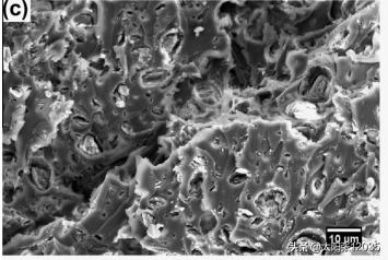
较差是由于分散性差造成的。 环氧树脂与环氧基体之间的相互作用。如表3所示,EAPP4-MC1相对于EAPP5和EMC5具有更高的抗弯强度。这可以归因于产生的较低的空隙 如图所示的环加工。3.图3显示了环氧/玻璃纤维/FR复合材料样品断口的SEM显微照片。FR拉出是氰胺基团降低了环氧树脂的IPDT。复合材料的弯曲性能见表3..结果表明,FR的加入增加了弯曲强度。 和模量。然而,强度和模量都达到峰值在15vol.%,然后略有下降在20vol.%。高载荷下的强度较差是由于分散性差造成的。 环氧树脂与环氧基体之间的相互作用。如表3所示,EAPP4-MC1相对于EAPP5和EMC5具有更高的抗弯强度。这可以归因于产生的较低的空隙 如图所示的环加工。3.图3显示了环氧/玻璃纤维/FR复合材料样品断口的SEM显微照片。FR拉出是在这些显微照片中很明显。这证明了FR与环氧树脂之间的附着力很差,很弱,从而导致FR颗粒从树脂中脱粘。此后 形成空隙,削弱了复合材料[16-18]。图显示聚合物链从玻璃态到橡胶平台态的转变。在动态运动下,FRenh的加入 在玻璃区增加了存储模量(E0)。表1显示,APP填充复合材料比其对应的MC具有更高的E0。EAPP20的E0值比EAPP20的E0值高42.5%左右。 参考样品,EMC20增益为30.7%。然而,EPP4-MC1的E0最高,与参考样品相比增加了54%。在图中5、玻璃化转变温度Tgw 从每个tand曲线的峰值导出。一般情况下,随着FR的加入,环氧/玻璃纤维复合材料的TG没有变化。

4.结论
无卤阻燃剂应用程序和MC是有效的预防火灾事故,而不损害环氧/玻璃纤维复合材料的力学性能。结果发现只有5% 在APP中,需要表现出自熄灭行为,而20vol.%的MC需要达到类似的阻燃性能。同时,EAPP4-MC1的阻燃性能也有所提高。 生产更多的残余焦炭。应用程序产生焦炭的能力降低了初始分解温度,但增加了IPDT和
剩余含量。所得复合材料的TG 从DMA结果没有明显的变化。总之,本研究证明了无卤纤维在环氧/玻璃纤维中实现实质性易燃性能的能力 复合材料,不显著影响力学性能和热性能。
W.K. Patrick Lim et al. / Composites: Part B 43 (2012) 124–128






感谢
作者感谢英特尔技术(M)的英特尔研究金和英特尔研究赠款(编号)。:6050175).作者谨向大学表示感谢 马来西亚Sains提供研究生研究大学赠款(编号。:8033031).我们感谢BrightechSupply(M)S DN。Bhd.以及布登海姆提供阻燃剂。
参考文献[1]
王JS,刘Y,赵HB,刘J,王DY,宋YP。含聚磷酸铵膨胀环氧树脂的金属化合物增强阻燃性能。Polym Degrad Stabil2009;94(4) :625–31.
[2]赵CS,黄飞帆,熊WC,王奕泽。一种新型无卤阻燃剂,用于玻璃纤维增强聚对苯二甲酸乙二醇酯..保利姆德格勒稳定2008年;93(6):1188-93。
[3]Barontini F ,Marsanich K,Petarca L,Cozzani V.含有溴化阻燃剂的电子板的热降解和分解产物。英格化学第2005号决议;44(12):4186-99。
[4]美林JC,Beck DJ,Kaminski DA,Li AP.多溴联苯诱导原代大鼠和人肝细胞细胞色素P450混合功能氧化酶活性。毒理学1995;99(3):147-52。
[5]张旭,刘菲,陈S,齐格瑞。小说 用双氰胺固化的含氮和含磷环氧树脂的阻燃热固性材料。JAppl PolymSci2007;106(4):2391-7。[6]Horacek H,Grabner R.Foreign 基于氮化合物的阻燃剂。波利姆德格勒稳定1996年;54(2-3):205-15。
[7]刘毅、王Q.三聚氰胺氰酸微胶囊化红磷阻燃剂未增强和玻璃纤维rei 强制聚酰胺66。保利姆德格勒稳定2006年;91(12):3103-9。[8]Rakotomalala M,Wagner S,Doring M.电气和电子用环氧树脂无卤阻燃剂的最新发展 c申请。材料2010;3(8):4300-27。
[9]Kandare E,Kandola BK,Price D,Nazare S,Horrocks RA。阻燃不饱和聚酯树脂的热重热分解研究 度量分析和Py-GC/MS。保利姆德格勒稳定2008年;93(11):1996-2006。
[10]Laoutid F,Alexandre M,Lopez-Cuesta JM,Dubois Ph.阻燃高分子材料的新前景:从基本面 到纳米复合材料。母校科学英语2009年;63(3):100-25。
[11]Jimenez M,Duquesne S,Bourbigot S.膨胀防火涂料:更好地了解它们的作用机制。Thermochim 2006年行动;449(1-2):16-26。[12]吴CS,刘玉玲,邱永康,邱永康。含阻燃组分环氧树脂的热稳定性:热重分析评价。Polym Degrad St 第2002年;78(1):41-8。
[13]与棉纤维共混的芳香聚酰胺纤维的热降解行为。波利姆德格勒稳定2002年;75(3):479-84。[14]高敏、吴伟、严勇。熱德格拉 含有膨胀阻燃剂的环氧树脂的阳离子和阻燃性。J Therm Anal Calorim2009;95(2):605-8。
[15]Yang W,Lu H,Tai Q,Choi Z,Hu Y,Song L,等。阻燃Mech 含有微包封聚磷酸铵和三聚氰胺氰酸盐的聚对苯二甲酸丁二醇酯(1,4-对苯二甲酸丁酯)的阴离子。Polym AdvTechnol,2010年;21:1-9。DOI:10.1002/PAT。1735.
[16]沈Z、贝特曼S、吴 迪,麦克莫汉P,戴尔'奥利奥M,戈塔马J。碳纳米管对机织玻璃纤维增强聚酰胺-6纳米复合材料力学性能和热性能的影响。Composci Technol2009;69(2):23 9–44.
[17]Ahmad I,Mahanwar PA。粉煤灰填充高密度聚乙烯的力学性能..矿工母校查拉克英格2010年;9(3):183-98。
[18]Fu SY,Feng XQ,Lauke B,Mai YW.粒子效应 颗粒/基体界面粘附和颗粒负载对颗粒-聚合物复合材料力学性能的影响。复合材料B部分,2008年;39(6):933-61。