案例:十二指肠肿物溃破引发的上消化道出血
从一开始的“只要不是癌症,心里就觉得踏实”到“保守治疗效果不佳,需要尽快安排手术”,61岁的梁先生(化名)越来越清楚自己的病情,也懂得了生命的意义。
这几天,梁先生先后经历了胃肠间质瘤的确诊,禁食、护胃、补液的治疗,手术。下面我们就来了解一下梁先生的抗病历程,希望对大家能有所帮助。
病例情况:
患者:梁先生,61岁,2020-11-09入院
主诉:1天内便血1次。
入院情况:当天,患者解黑便1次,量约30ml,暂无呕血,无腹胀腹痛,无恶心呕吐等不适,禁食状态,眠可,小便调。
既往史及个人史:否认高血压、心脏病、糖尿病等内科病史,否认肝炎、肺结核等传染病,无长期非甾体抗炎药(NSAIDs)使用史,否认重大外伤史、手术室及输血史。
体格检查:查体腹部无明显阳性体征。
辅助检查:
①Hb:134g/L;
②胃镜:急性上消化道出血,十二指肠降段肿物并溃破出血。
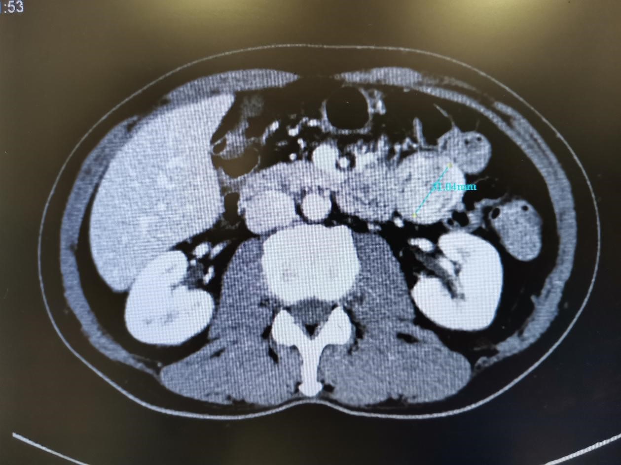
③腹部增强CT:十二指肠末端-空肠交界区肿块,考虑肿瘤性病变,间质瘤可能性大;增强后肿块旁及胃腔内高密度对比影,考虑出血。
梁先生最初以 无症状性反复便血 为主要表现,经过胃镜检查发现十二指肠降段肿物并溃破出血,再结合腹部增强CT检查,这很有可能是胃肠间质瘤,经过 胃镜下肿物全层切除术(EFTR) 治疗,梁先生的胃间质瘤已成功地被切除了,从住院到出院只用了7天时间。

急性上消化道出血,十二指肠降段肿物并溃破出血

行腹部增强CT排除静脉曲张性上消化道出血(VUGIB)后留置胃管

术中探查见:肿瘤位于十二指肠降段水平段交界处,大小约3*4cm
胃肠长瘤,不就是胃癌、肠癌吗?什么是 胃肠间质瘤 ?
听到“胃肠间质瘤”,梁先生很是疑惑。其实,有此疑惑的并不只有梁先生一人。这些年来,胃癌、肠癌的发病率与日俱增,但胃肠间质瘤的相关报道并不多,殊不知,这也是独立于胃癌、肠癌且危害较大的癌种。
什么是胃肠间质瘤?它并非胃癌、肠癌
提到胃肠间质瘤,许多人都会联想到高发病的胃癌和肠癌。其实,胃肠间质瘤虽然最常发生在胃、小肠,但是一种独立于胃癌、肠癌的癌症。
胃部、小肠、直肠是胃肠间质瘤最爱“躲藏”的部位,胃部中的间质瘤高达50%~70%,小肠中的间质瘤占据20%~30%,结肠和直肠仅占5%,除了这几个部位,间质瘤偶尔也见于腹膜、肠系膜、男性前列腺、女性阴道等,可以说是“神出鬼没”。

至于其发病率,很难统计。
曾有日本学者在100例胃癌患者死亡尸体解剖中做胃的连续切片发现,在35位患者中存在间质瘤,为此,他认为胃肠间质瘤的发病率约为35%。
其实,真正的胃肠间质瘤发病率并非这么低,但是因为受限于胃镜筛查的普及度,胃肠间质瘤的发病率缺乏统计。另外,许多胃肠间质瘤不会往恶性方向发展,甚至会有不少人终生携带胃肠间质瘤。
同时,与胃癌可能会胃痛、恶心、饱胀相比,胃肠间质瘤的早期症状更为隐匿,但越是如此越需要提防,正常人群应该定期进行体检,通过胃肠镜排查胃肠间质瘤。
如何早期发现胃肠间质瘤?
1、重视体检,尤其是胃镜、肠镜检查
胃肠间质瘤的发病高峰年龄55~65岁,40岁以下少见。由于它在胃部最多见,临床上许多胃肠间质瘤是在胃镜时查出的,还有部分患者是在腹部手术的时候,偶尔发现同时存在胃肠间质瘤,一并切除的。
因此,建议40岁以上的人群每年体检中,增加胃镜、肠镜检查项目,有条件可以进行CT或MRI的检查,及时发现疾病的蛛丝马迹。
2、消化道不适时及时就诊
肿瘤较小时,绝大多数患者没有任何症状,但随着肿瘤变大,会出现消化道出血、腹部疼痛,有时甚至无法解尿或排便。患者会因为排出黑便或贫血来院就诊,也有患者会因为腹痛、吞咽困难或自己摸到腹部肿块而去就医。当然,这些症状并不是特异性的,很多消化道疾病都可以有类似症状,所以最重要的是出现这些不适症状时及时就医检查,尽早确诊、干预治疗。
如果您或您身边的亲戚朋友出现了上述类似症状,请务必予以重视,尽快到正规医院就诊,以免延误病情。
确诊要做哪些检查?
临床上对于怀疑胃肠间质瘤的患者,除了进行临床查体如腹部触诊外,通常还会进行一系列的辅助检查帮助明确诊断。包括:
胃肠镜——普通胃镜下胃肠道间质瘤的表现为粘膜下半球形隆起;粘膜表面光滑,也可伴有局部糜烂和溃疡;
超声内镜——超声内镜下能清晰的将胃壁和肠壁分为不同的层次,在超声内镜下可以明确肿物的起源层次、大小、生长方向和浸润深度等,若考虑可能需要术前治疗的话,还可以在超声内镜引导下对病变穿刺进行活组织检查;
增强CT和MRI检查——不仅能判断肿瘤大小,部位,有无出血坏死,和周围脏器间的关系,还能判断有无肝脏以及其他远处转移等,对胃肠间质瘤病期的判断有一定帮助,同时有些患者若需要术前治疗,CT也可以像超声内镜一样,对病变部位穿刺进行活组织检查;
PET-CT——可以全面评估肿瘤病灶的全身情况。
我是胃肠外科医生王伟,和大家一起关注胃、肠、疝、肥胖和糖尿病等医学知识。
@*今条头日** @头条健康 #胃间质瘤# #胃肠间质瘤#