
子宫肌瘤位置示意图
临床工作中,常碰到患者咨询一些特殊类型子宫肌瘤的介入栓塞治疗,尤其担心子宫肌瘤位置、大小是否会对手术疗效及安全有所影响。其实随着近年介入栓塞材料及技术不断提升,以往早期认为相对禁忌的区域均已突破!

子宫动脉栓塞示意图
特殊类型的子宫肌瘤介入微创治疗
巨大的子宫肌瘤(>10cm)
以往担心肌瘤巨大导致栓塞后坏死不完全,但相关临床研究报道证实,该类型子宫肌瘤介入栓塞治疗的具有同样理想肿瘤坏死率,安全性与小肌瘤无明显差异。主要原因可能为巨大肌瘤往往血管较为丰富,通过“虹吸作用”使得栓塞剂更多栓堵至肌瘤血管内,甚至坏死率反而较小肌瘤高。

巨大子宫肌瘤组术后并发症无显著增加
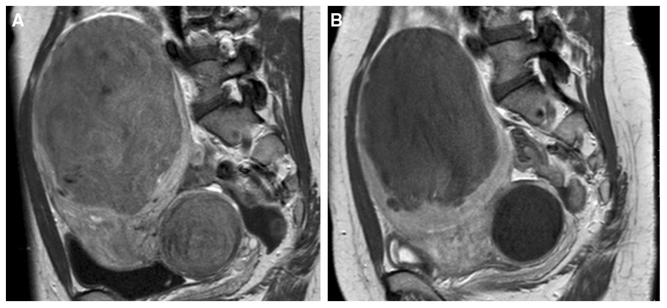
浆膜下带蒂的子宫肌瘤
这部分患者的肌瘤就像树枝挂果子一样,主体是长在子宫体以外的,既往认为这部分子宫肌瘤的患者UAE后可能会造成子宫肌瘤脱落到腹腔。但从临床观察来看,其发生概率极低的,即使肌瘤基底部<25%,坏死脱落至腹腔风险亦无明显增加,坏死率亦无影响,因此浆膜下子宫肌瘤介入治疗是安全、有效的。

浆膜下肌瘤介入栓塞前后MRI对比
宫颈肌瘤
位于子宫颈的子宫平滑肌瘤很少见,占所有子宫平滑肌瘤的0.9%~8%。 因宫颈部肌瘤同时存在子宫动脉分支及阴道动脉分支参与供血,另血管更为细小,导致肌瘤栓塞后坏死不完全。另有担心异位栓塞导致阴道组织缺血坏死风险。

宫颈肌瘤介入栓塞前后MRI对比
随介入技术水平不断提升,只要术者详细阅读相关影像检查资料,术中精细操作寻找宫颈肌瘤供血动脉,使用较小栓塞剂(PVA-100)进行精细栓塞,亦可达到满意疗效。

宫颈肌瘤介入栓塞前后MRI对比
综上所述,除特殊情况外,绝大部分子宫肌瘤均可以采用子宫肌瘤介入栓塞的微创方法治疗。UAE不开刀、创伤小、恢复快!最为主要的优点是能够保留子宫!

除了妇科手术,还可以介入微创治疗哦!
典型病例
中年女性,发现子宫肌瘤进行性增大5年余。彩超提示多发、巨大子宫肌瘤,肌瘤外突明显,最大者直径近10cm。近半年尿频、尿急症状进行性加重,考虑增大的子宫肌瘤压迫膀胱所致。
- 盆腔磁共振检查显示显示多发巨大子宫肌瘤,部分突出浆膜外,明显压迫膀胱。

MRI显示多发子巨大宫肌瘤,压迫膀胱

冠状位

矢状位
- 经桡动脉入路插管,微导管进一步超选插管右侧子宫动脉主干造影确认位置,随后行动脉栓塞治疗。

- 微导管进一步超选插管左侧子宫动脉主干造影确认位置,随后行动脉栓塞治疗。

- 术后桡动脉止血器压迫止血8小时,患者术后无需长时间卧床、下肢制动,舒适度大大提升,利于术后快速康复。

桡动脉压迫止血器
原装生活,做完整女人!

原装生活,做完整女人!