2个月前,41岁的罗先生感觉舌头右边有点疼痛,开始以为只是普通的口腔溃疡,并没有太在意,但是疼痛却不见好转,逐渐加重。经家人催促昨天(5月18日)才到来到医院口腔科检查一下,看看究竟是怎么回事。
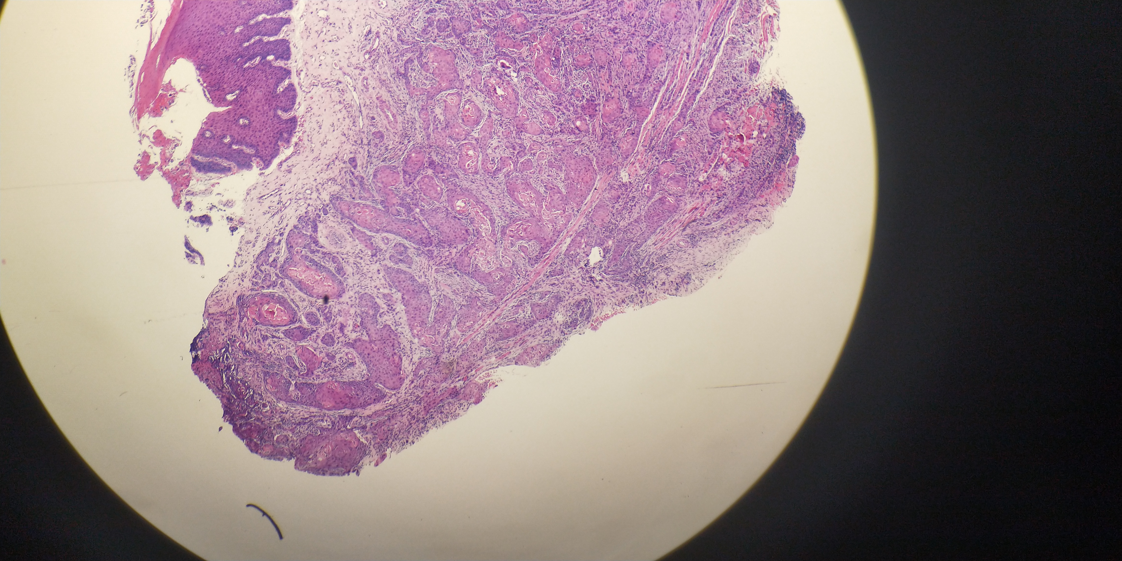
接诊的口腔科医生听了罗先生的症状后,看了看罗先生的口腔,发现舌头右侧缘有1cm左右的破溃面,表面上有黄色的渗出物。不仅如此,医生做体格检查时,还触摸到颌下淋巴结肿大。
口腔科医生很有经验,便问罗先生平时吃不吃槟榔。
罗先生说他自己喜欢吃槟榔,已经吃了4、5的年时间,每天至少要吃一包;不仅如此,还喜欢一边吃槟榔、一边抽烟,他说“槟榔加烟,快活似神仙”。
医生说有长期吃槟榔的习惯,而且舌头有破溃,颌下淋巴结肿大;情况可能有点严重,但需要在舌头上切一点点肉,做个活检,才能明确到底是什么问题。

罗先生长期吃槟榔
听到医生这么说,罗先生也很担心了,同意切一点舌头上的肉做活检。
罗先生:“医生,什么时候能够拿到这个活检结果。”
医生:“大概需要2到3天。”
罗先生:“能不能快点拿到结果?”
医生:“可以,有加急的,但是费用要多300块左右。”
罗先生之前虽然也听人说过吃槟榔会得口腔癌,但是从来就是当作耳旁风,根本不当回事,完全不相信吃东西还能吃出口腔癌来。但此刻听到医生说了问题所在后,就被吓到了,当即要求做加急的病理检查。
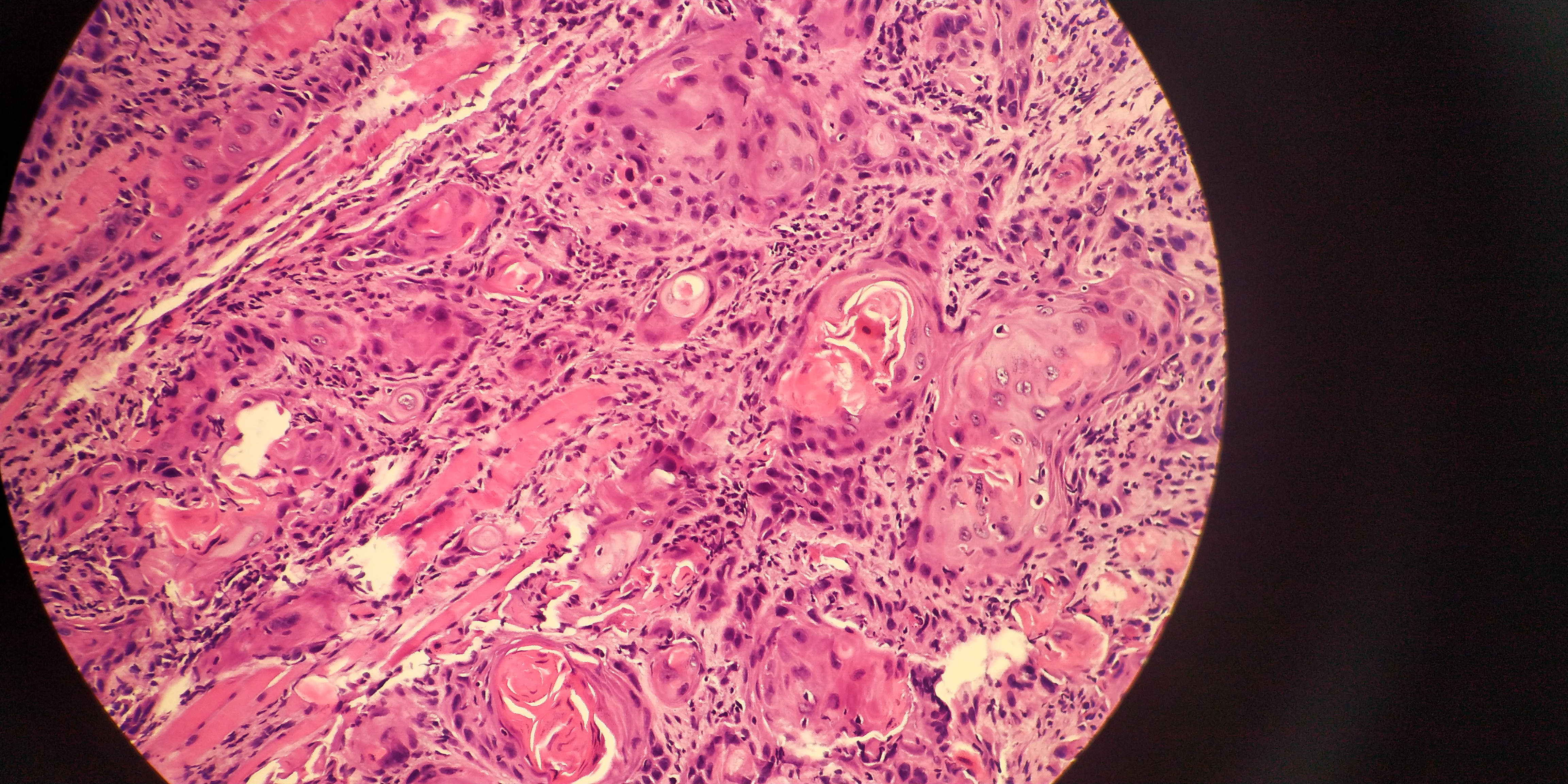
第二天上午,病理结果就出来了。从显微镜下看是一个很明确的鳞癌,而且癌细胞已经长得很深了,侵犯到了舌头的肌肉组织。

显微镜下可观察到很明确鳞癌

癌细胞已经长到肌肉组织里

舌头活检的病理报告
舌头的鳞癌!罗先生才41岁,要保命,手术是必须的了。但切掉了舌头,说话、吃饭、喝水都会受到影响。除此之外还要背负巨大的心理压力,哪怕手术切除了,后续可能也会发生转移。不知道罗先生现在对槟榔是否还有兴趣和欲望?
槟榔,大家都不陌生,有很多人都喜欢嚼,觉得可以提神、而且有嚼劲。喜欢嚼槟榔的人只要一天不嚼就会觉得浑身不舒服。但其实,“提神”和“有嚼劲”只是一个“假象”,喜欢嚼槟榔的真正原因是已经对槟榔上了瘾。
槟榔早已被列为世界排名第四的成瘾性消费品。而且,2004年世界卫生组织就已经明确指出槟榔是一级致癌物,与口腔癌的关系最为密切。

槟榔

槟榔
2018年,中华口腔医学会和中国疾控中心曾做了一个调研,发现在湖南湘雅医院口腔颌面外科50个住院病人中有45人都是口腔癌,而其中44人都有长期、大量咀嚼槟榔病史。另外,也有研究显示嚼槟榔者,每天嚼槟榔(超过10颗)比嚼槟榔(少于10 颗)发生口腔癌的风险率高5.65倍;而嚼槟榔时间超过10年比少于10年的人发生口腔癌的风险率要高5.15倍,且风险随着嚼槟榔的年份的增加而增加。
就如同抽烟的人不相信“吸烟有害健康”、“吸烟会导致肺癌”一样;对于嚼槟榔的人来说,没有发生在自己身上,是绝对不会相信吃槟榔会得口腔癌的;只有真实发生在自己身上了才知道后悔已经来不及了。
现在你还吃槟榔吗?得癌,切舌头得那种?