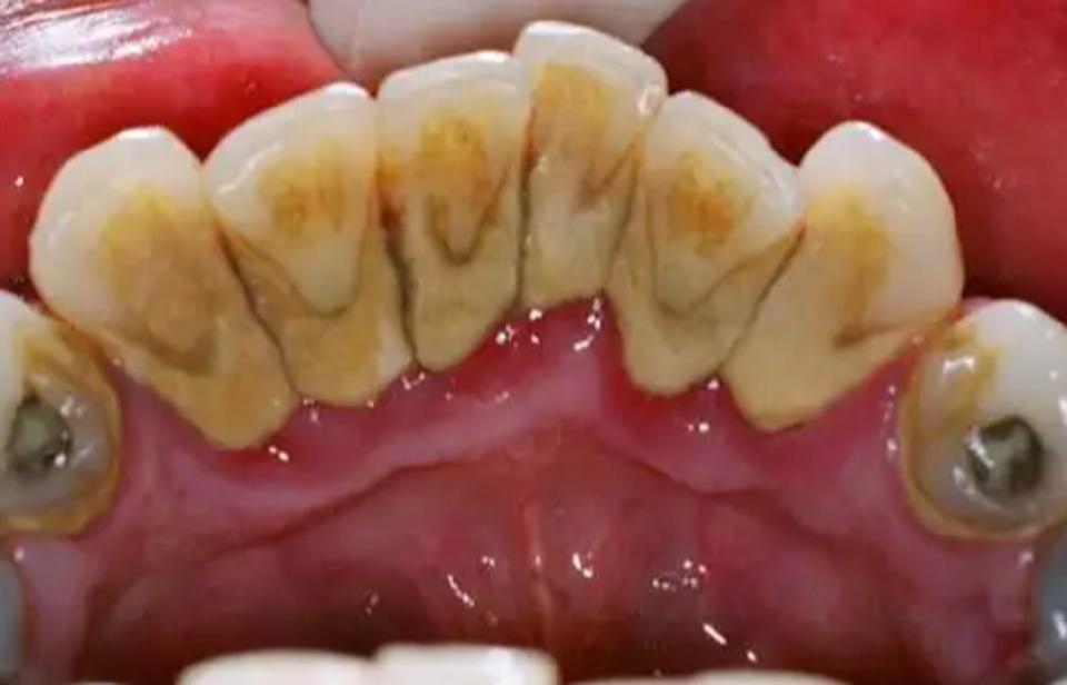
牙结石在生活中实在是再常见不过了!最开始我都是直接洗牙处理,三两下牙齿就亮白有光泽的!我当时基本上都是半年洗一次牙,后来慢慢的牙龈就变得很敏感,酸的、冷的东西都碰不得!眼看情况不妙,给我洗牙的专业人士才建议我更换牙膏牙粉,按时刷牙。

此后我前后换了十来种牙膏牙粉,国内外的都有,通过对比还是国货靠谱,前后一个月左右的时间,牙结石就自己掉没了!下面都是我用过的一些牙膏牙粉分享,希望对大家的牙石情况有所帮助:

1.欧丹锦牙粉:我个人觉得这个牙粉祛牙石的效果最为突出!是被当时给我洗牙的人建议使用的。牙粉的粉质比我之前用的那些细腻很多,所以用它刷牙后起沫很快,很绵密的感觉。刷完牙后嘴巴里面是淡淡的柠檬味,还有薄荷味!很清爽,口气问题是刷牙后就可得到解决的!

我当时用了差不多一个月的时间,刷牙的时候就有发现细碎的牙石脱落,不得不说真的很坚硬,而且大部分都已发黑!后来我还是按照早晚各一次的频率使用,牙石脱落量慢慢增多到后期完全干净,前后差不多用了快两个月的时间,虽然时间有点长,但是现在过去大半年的时间了,牙石也没再出现过!这点真的深得我心!

2. 高露洁漱口水:我之前其实还挺依赖漱口水的,因为我个人觉得它清新口气的效果还可以,用起来也方便,但是后来不是牙黄严重,用的就少了!但是我个人还是觉得它的使用价值还是比较高的,所以后来我用牙粉白牙后,还是会在饭后或者是早期后用它简单的漱口。

3. 中华健齿白牙膏:这个牙膏我是跟着我妈用的,后来也是我使用率比较高的牙膏,它是白色的牙膏体,薄荷味不是很浓,但是味道蛮好闻的,用它刷完牙后嘴巴里面香香的,即使是吃了重口味的东西,也不会有太大影响,我觉得它基础清洁以及清新口气的效果还可以,大家可以像我一样搭配牙粉使用。

我当时主要就是将上述三种国货搭配起来使用才彻底解决了牙石问题,一直到现在我的牙齿都蛮亮白的,所以说用对方法很重要,希望我的分享可以给到大家切实的帮助!