男,39岁,因“发现左侧鼻前庭肿物半年”入院
【病例特点】
1.患者男性,39岁,病史较明确;
2.入院情况:患者平素有流清涕、打喷嚏症状,一次可打3-4个,呈季节性,于夏季多发,未予以重视。于半年前无意中发现左侧鼻前庭处有一肿物,突出于表面,无疼痛,肿物触之无出血,且表面未见异常分泌物,病程中无鼻塞、嗅觉减退,无发热、进行性消瘦、牙痛、局部压痛等不适。10天前无明显诱因左上第二切牙疼痛,左侧面颊部肿胀明显,无红肿、皮温升高。2015年9月7日就诊于当地医院,行上颌骨CT检查,诊断为“左侧上颌窦牙源性肿瘤”,建议手术治疗,患者拒绝手术。2015年9月14日就诊于当地中医院,给予中药治疗(药名不清),效果欠佳。现患者为求彻底治疗,就诊于我科门诊,门诊以“鼻前庭囊肿(左)”收住入院,建议手术治疗。患者自发病以来,精神欠佳,食欲尚可,大小便正常,体重未见明显改变。
3.既往史:既往体健。否认高血压、糖尿病史,否认肝炎结核等传染病史,否认手术,外伤史,否认输血史,否认食物、药物过敏史 。
【术前鼻内镜】


术前鼻内镜回报示:左侧鼻腭肿物,鼻中隔偏曲
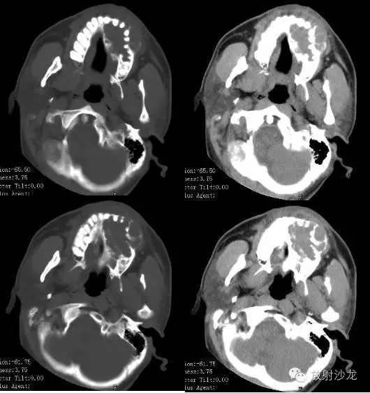
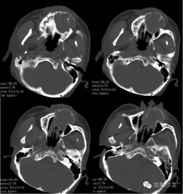
【术前CT扫描图像】

术前CT诊断:左侧下颌骨不规则膨胀性骨质破坏区,内可见软组织及残存骨嵴,病灶累及牙槽骨及筛窦壁,考虑造釉细胞瘤可能性大。
【术中鼻内镜】


【术后病理】
【病理】
影像学表现:送检灰白灰褐碎小组织多块,总体积3cm×2cm×0.5cm。
影像学诊断:(鼻腭)送检纤维性肉芽组织伴陈旧性出血,部分区域可见多量多核巨细胞,及少量反应性骨组织,结合临床部位,考虑巨细胞修复性肉芽肿。
巨细胞修复性肉芽肿(GCRG):是一种少见的非肿瘤性的病变,常伴有增生性修复性反应。该病好发于颅骨,也可以发生在四肢骨骼,特别是手和足上。该病发生率低,约占骨良性病变的7%,该病具有侵袭性和复发性,注意术后复查,必要时可行同时放疗
【病理病因】
为瘤样病变,是对骨内出血或创伤的修复性反应。目前,对GCRG的病因和发病机理有以下几种学说:
①外伤,Jaffe等认为GCRG是外伤引起骨内出血而继发的修复性反应,因此,病变中可见出血和含铁血黄素沉着。但也有人提出患者的病变部位常无明确外伤史;
②炎症,如同其他慢性炎症一样,在GCRG中巨细胞是作为异物巨细胞起作用。Katz和Hirsch认为GCRG是骨内出血的结果,出血后形成炎症过程,另外炎症也可造成骨内出血;
③妊娠,妊娠有利于GCRG病变的发生和生长;
④性别,女性发病率较高,也有人认为男女发病率无差别;
⑤年龄,年青人居多,发病年龄多在20~40岁。
【影像学表现】
X线平片及CT上表现溶骨性骨质破坏,其中有骨性分隔,伴有轻度膨胀,可发生在干骺端和骨干,也可伸展到骨骺和软骨下骨质,病灶无骨膜反应;
MRI表现T1、T2加权均为低信号影像 。
【鉴别诊断】
造釉细胞瘤:是上皮性牙源性颌骨肿瘤,与下颌骨巨细胞修复性肉芽肿较难鉴别,两者病灶都可含有牙齿或未发育完全的牙齿结构,前者肿瘤主要来源于残余的牙板和造釉器,牙根可被侵蚀,邻牙可因肿瘤挤压而倾斜移位或脱落,MRI病灶信号不均匀,T1WI呈低信号,T2WI呈高、低信号混杂信号。
骨巨细胞瘤:好发年龄是20-40岁,常发生于愈合后的骨骺部,肿瘤多呈膨胀性、偏心性、多房性骨质破坏,病灶一般无骨膜反应及软组织肿块,也无硬化边缘,影像学较难鉴别。
动脉瘤样骨囊肿:两者病理改变相似,但是ABC病灶主要有大小不等的血腔组成,其中充满可流动的暗红色血液,CT表现多呈囊状膨胀性骨破坏,一般可见多个含液囊腔,有的可见液-液平面,在MRI上T2WI液平面上层一般为高信号,下层为低信号。
甲状旁腺功能亢进之棕色瘤:是在骨质疏松的基础上发生的,在X线上还可以看见甲旁亢的其他骨骼表现,如骨质密度减低、骨皮质或皮质下骨吸收、远端指骨吸收性变化以及牙齿硬板的消失。
【治疗方案】
彻底切除病灶乃是最有效的治疗手段。术后需要密切观察和随访,对于复发病例可以考虑行放疗或抗血管形成治疗