来源:华夏影像诊断中心
本篇整理总结肩肘部特殊名称骨折。
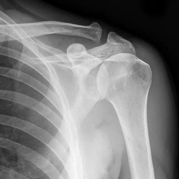
1. Hill-Sachs 损伤和反 Hill-Sachs 损伤
肩关节脱位时,肱骨头和关节盂发生撞击,肱骨头表面凹陷性骨折。
- 肩关节前脱位时发生的肱骨头后外侧凹陷性骨折,是经典的 Hill-Sachs 损伤(Hill-Sachs lesion);
- 而肩关节后脱位时发生的肱骨头前内侧凹陷性骨折,是反 Hill-Sachs 损伤(Reverse Hill-Sachs lesion/ McLaughlin lesion)。
点击单张图片查看大图~

正常肩关节(来源:Radiopaedia)

Hill-Sachs 损伤的 X 片(来源:Hill-Sachs Injuries of the Shoulder)

Hill-Sachs 损伤的 MR 片(来源:Hill-Sachs Injuries of the Shoulder)

Hill-Sachs 损伤的 CT 片 (来源:Hill-Sachs Injuries of the Shoulder)
正位片示肱骨头损伤(来源:Anatomical Reconstruction of Reverse Hill-Sachs Lesions Using the Underpinning Technique. Orthopedics May 2012 - Volume 35 · Issue 5: e752-e757)
侧位片示反 Hill-Sachs 损伤(来源:Anatomical Reconstruction of Reverse Hill-Sachs Lesions Using the Underpinning Technique. Orthopedics May 2012 - Volume 35 · Issue 5: e752-e757)
MRI 示反 Hill-Sachs 损伤程度 (来源:Anatomical Reconstruction of Reverse Hill-Sachs Lesions Using the Underpinning Technique. Orthopedics May 2012 - Volume 35 · Issue 5: e752-e757)
2. Bankart 损伤(Bankart lesion)
是指盂唇前下方在前下盂肱韧带复合体附着处的撕脱性损伤,是肩关节复发性前脱位最常见的原因和最重要的病理基础。
Bankart 损伤(来源:Radiology assistant)
Bankart 损伤的 MR 片 (来源:Radiology assistant)
3. 骨性 Bankart 损伤(Bony Bankart lesion)
下盂肱韧带盂唇复合体损伤同时伴有关节盂前下方的撕脱性骨折。由于关节盂前下方的骨质缺损,可以导致梨形的肩盂变为「倒梨形」结构,出现关节不稳的主要因素。
骨性 Bankart 损伤的 MR(左)和 CT(右)(来源:ShoulderDoc)
骨性 Bankart 损伤的 MR(左)和关节镜图(右)(来源:ShoulderDoc)
4. Holstein-Lewis 骨折
指肱骨远端 1/3 骨折伴桡神经嵌压。
Holstein-Lewis 骨折(来源:Humerus Holstein Lewis Fracture - Everything You Need To Know - Dr. Nabil Ebraheim)
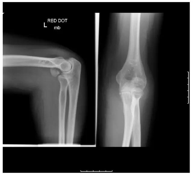
5. Kocher-Lorenz 骨折
单纯肱骨小头骨折。
Kocher-Lorenz 骨折(来源:The often-missed Kocher-Lorenz elbow fracture. Revue de Chirurgie Orthopédique et Traumatologique, Volume 95, Issue 7, November 2009, Pages 658-661)
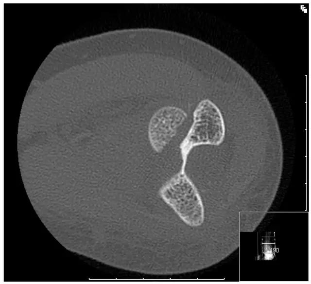
6. Hahn-steinthal 骨折
全肱骨小头骨折,为一种少见的关节内骨折,多见于成年人。常由于跌倒时手过度伸直或在屈肘时因桡骨小头撞击肱骨小头,并同时有外翻力存在时发病,亦可伴有滑车骨折与内侧副韧带的撕裂。X 线表现为全肱骨头骨折,向上移位。

Hahn-steinthal 骨折 X 片(来源:Hahn-Steinthal fracture: a case report.BioMed central Cases Journal20081:239)

Hahn-steinthal 骨折 CT 片(来源:Hahn-Steinthal fracture: a case report.BioMed central Cases Journal20081:239)
7. Posadas 骨折
经髁的肱骨骨折,伴有骨折碎块向前移位,以及因双髁骨折造成尺桡骨的脱位。
8. 肘关节恐怖三联征
特指伴有桡骨头和尺骨冠突骨折的肘关节后脱位,属于肘关节内复杂骨折脱位的一种类型。这类损伤均同时伴有肘内外侧副韧带的撕裂,但不伴有尺骨鹰嘴骨折。
9. Monteggia 骨折(孟氏骨折)
尺骨近端 1/3 骨折合并桡骨头半脱位。
(来源:Radiopaedia)
(来源:Radiopaedia)
成人 Monteggia 骨折

儿童 Monteggia 骨折
10. Galeazzi 骨折(盖氏骨折)
桡骨干下 1/3 骨折合并尺骨小头脱位。

盖氏骨折正侧位(来源:Orthobullets)
11. Nightstick 骨折(警棍骨折)
直接外伤造成尺骨单骨折。前臂单纯的尺骨骨折,通常是由钝伤造成。Nightstick 的意思是警棍,此伤害可因受到棍击时举起手来抵挡产生。
(来源:Radiopaedia)

(来源:Radiopaedia)
【版权声明】本平台属公益学习平台,转载系出于传递更多学习信息之目的,且已标明作者和出处,如不希望被传播的老师可与我们联系删除
*载下**放射沙龙app,获取更多影像科学习资料,更多学习视频等着你哦