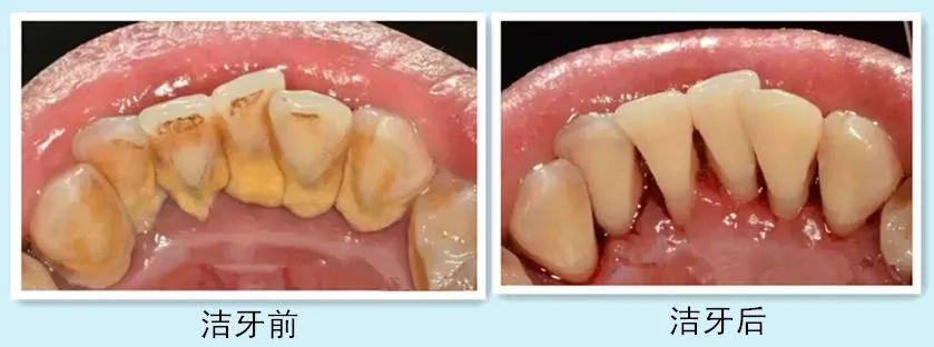
超声波洁牙是什么?
超声波洁牙就是利用超声波聚能型换能器微米级的振动,去除牙结石和污渍,机头工作端是光滑的,没有切削割磨的作用,因而不会对牙齿造成磨损等影响。
牙面抛光就是使用专业磨光器,蘸抛光糊剂,在牙齿表面低速旋转摩擦,可以消除牙面上细小的划痕,让牙面变的光滑无比,减缓日后牙结石和色素的沉着速度。

洗牙有什么好处?
1、提前发现牙齿问题,预防口腔疾病;
2、减轻因牙垢、菌斑、牙结石引起的口臭和牙出血;
3、预防牙周病,防止牙齿松落;
4、有助于保持牙齿和牙龈健康,降低您患心脏病和中风的风险。

一直在问洗牙有没有优惠的小宝贝,你们期待已久的福利来了!
保定牙博士微商城整装上线
8月10日—8月20日,连续10天
【全民疯狂大砍价】
原价120元全口超声波洁牙套餐,低至9.9元!
包含:全口超声波洁牙+牙面抛光+全景牙片+一次性器械盒+口腔检查

砍砍砍!一刀坎下20块!就是这么腻害!这么大的便宜,你确定不占?
如何参与
8.10-8.20
1、关注“保定天使牙博士口腔”(服务号)
2、在下面菜单中点击“9.9洗牙”即可参与

注意事项
1、活动时间:8月10日-8月20日,发起砍价后要在48小时之内砍到底价,抓紧时间哦;
2、活动期间每个微信号可参与一次;
3、好友收到邀请后,关注“保定天使牙博士口腔”,即可帮助砍价;
4、当砍到最低价时,支付9.9元即可购买洗牙套餐,获得商品兑换码,凭码到院洗牙,在收费处核销,砍价过程中可随时付款;
5、砍价商品为活动特价商品,支付成功后不支持退款;
6、购买后,请在9月30日之前到院洗牙,过期作废;
7、周六日及节假日患者较多,请提前一天电话预约洗牙时间,避免长时间等候,电话:3388966;
8、三院通用。