范主说: 看完你们还想买吗 :)
(商务范出品,转载请注明)
范主好友萌萌哒最近告诉我:冬天千万不要买阿哥,摔惨的都是阿哥。不是因为没钱,而是因为。。。滑!!!

神马!... 阿哥?...
..
说他吗 ... ↓

..
瘪闹 ..是它 ↓

辣么范主想想趁着天冷(虽然已经立春了...)跟大家讨论讨论UGG雪地靴(最经典常见版本) ↑ 的缺陷..
┑( ̄Д  ̄)┍
作为时尚界最不可思议的存在,由明星带起来的Ugg(雪地靴统称,不单指某个品牌) 风潮。遭无数时尚达人吐槽的同时,也被另一波时髦人士追捧的Ugg,到底有哪些值得吐槽的地方?
一宗罪 ☞ 不防滑
范主的另一位好友跟范主说:冬天她走了一段坡度很小的下坡路(当时路上基本上没雪),没走几步就滑一下,全程扶着身边的同伴才得以姿态完好... 然而同伴穿的是皮鞋都比Ugg稳..

微博上的小伙伴们表示....(形容的好生动 _(:зゝ∠)_)

然而推上也纷纷表示...


...嗯 ,中外达成了共识
上面的推友说的泡沫底其实叫做EVA(不是经典动画新世纪福音战士)
范主为了再次确认鞋底用料,特地去视监了下官网...

-- 雪地靴经典款 --

.. 阿哥的雪地靴, 凡是用EVA(发泡) 的外底的都会特别滑...

EVA材质都很轻,所以看似厚重的阿哥靴其实都很轻便。入手了UGG的范友们可以看看鞋底是不是EVA的。
特别是冬天滑倒易导致骨折,拉伤....范友们走路要当心喔。
二宗罪 ☞ 不防水
Ugg防寒,透气,可没说能防水
_(:зゝ∠)_
UGG使用的羊皮(国外对使用动物这点争议蛮大的)制造是不防水的....(当然阿哥有一些产品是防水款的,范友们可以考虑)。但如果你选择的是不防水的款式,只能借助一些防水产品...
不然的话... ↓

☝ 阿哥你怎么了...
其实羊皮靴本来就不是给你在水里走的。那么既然叫雪地靴,那么它肯定可以在雪里走吧!
然并卵..
很多人表示在雪里玩着玩着就湿了..

范主告诉你Ugg在雪地里走的话,最好备个毛巾.... 随时抖一抖.. 擦一擦..把雪抖掉... 像这位..↓

↑ 心累
不然在雪里待久了还是会湿..而且容易有盐渍 _(:зゝ∠)_

☝ 感觉萎缩了..
三宗罪 ☞ 丑难搭
当然..阿哥的卖点从来不是外观.. 可是到底有多丑?大多数女人都懂什么是潮流,但不懂什么是美。范主简而言之,基本上穿Ugg的人分两种画风...
穿上Ugg的你是时髦人还是土袍纸 ?想象和现实,差距真的很大…
☞ 你以为完美搭配大长腿 ٩(๑❛ᴗ❛๑)۶

☞ 然而...这小腿是怎么了

☞ 你发现UGG "翻脸" 也可以很俏皮٩(๑❛ᴗ❛๑)۶

(Blake..)
☞ 然而腿粗一秒变五五身 _(:зゝ∠)_

翻下来也没用...
☞ 你觉得配leggings 也很好看呀 ٩(๑❛ᴗ❛๑)۶

☞ 然而搭配不好Leggings 也没用

已经和时髦没有任何关系了 _(:зゝ∠)_
并且..
穿上它你的小腿以下立马大好几码.. ↓

蠢笨蠢笨的..

(感觉要被踩爆了...)
最最重要的是,穿Ugg上班感觉很不正式啊~甚至一些单位会明令禁止穿Ugg上班!
是的,就是酱紫。。分分钟就是度假的感觉。

(...但还是搭不好呀!..)
范主不得不告诉你:其实这种短裤+UGG的穿法,在很久以前就有了,冲浪爱好者Shane Stedman经常就是这样出现在海边 ...(与时尚无关了...)

↑ 这家伙也自称Ugg是自己发明的, 然后卖掉了现在专心做冲浪板..
UGG的发明真的很多争议啊..有说法是冲浪者上岸后用羊皮靴来保暖,后来遍布整条加州海岸线上的冲浪店;也有说法是羊皮靴是20世纪来自澳洲的农场,当地人穿着手工羊皮靴,后来被美国人拿去申请了UGG专利... 澳洲作坊很想把UGG的专利留在澳洲但是...即使四处搜寻资料,甚至搬出了1986年的澳大利亚国家大辞典...最后还是美国赢了这场官司 _(:зゝ∠)_
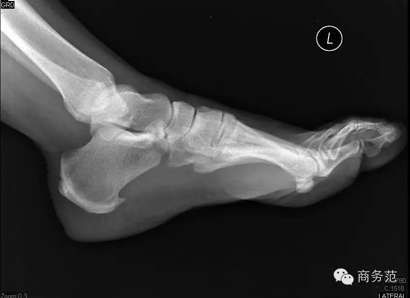
四宗罪☞ UGG足

被羊毛包围的感觉阮阮绵绵,让脚的感觉很舒服。但长时间穿UGG其实会影响健康伤害:
不少骨科和腱炎专家表示缺乏足弓的鞋子穿久了会很累,而UGG是平底鞋,而且鞋内空间相对大,每走一步重力都会散开,足弓无支撑会承受较大的大冲击。

若长时间穿无足弓的鞋子对足部,脚踝,臀部,脊椎都会造成伤害呢 _(:зゝ∠)_

而且据说穿UGG会自然而然的薇薇内八.. (讲真?)
范主换个画风٩(๑❛ᴗ❛๑)۶
我们来欣赏一下其他UGG比较奇葩的设计,看看范友们喜不喜欢٩(๑❛ᴗ❛๑)۶
话说街上最出镜率最高最火的雪地靴就是UGG Australia (虽然写Australia 其实这是美国品牌当年, 美国著名主持人Oprah在她的节目中的“Favorite Things”中高调宣布UGG是她的挚爱物品之一,一夜之间名声大噪)
其实还有其他品牌,比如说 Burlee Australia..澳洲的高(shǎn)端(Xiā)定(nǐ)制(yǎn)雪地靴...嗯.. 还来中国开了展...范主友情提示:密集恐惧慎入…

嗯..结合施华洛世奇...

↑ 价值2,5000美元
堪比维多利亚的秘密の黄金战甲...

↑ 20,000美元..

↑ 这些都是一颗颗施华洛世奇...
范主也翻出了当年 UGG Australia 为 ART & SOLE 慈善拍卖携手大牌设计师出的限量版UGG..

密集之扣子...

↑ 你还想的起来那双经典的镶钻方扣高跟鞋吗..
范主说: 终究是用来保暖的靴子, 身体暖了,双足舒适比什么都重要。
那么问题来了: 入手了Ugg的范友们有没有过滑到过呢 _(:зゝ∠)_
PS: 穿Ugg的下台阶请注意抬脚.. 范主好友建伟媳妇儿就是这样把一半门牙磕掉啦…

(商务范出品|转载请注明出处,来源微信公众号『商务范』,微信号:bfaner, 投稿、商务合作,联系邮箱 bfaner@vip.163.com )