病例分享case1
基本信息:
- 患者,女,63y。
- 开放性颅脑外伤1月余,检查发现右侧颈内动脉瘤半月。
- 患者1月前不慎摔伤致急性开放性颅脑损伤,中颅底骨折,硬膜外血肿,在治疗过程中行CTA发现右侧颈内动脉动脉瘤,外伤治疗后到我院就诊。现稍感头晕、伴右眼视物模糊,伴行走不稳,余无特殊不适。
查体:
神志清楚,言语流利,对答切题。记忆力、定向力、计算力正常。双瞳孔等大等圆,d =3mm,对光反射灵敏,右眼视物模糊,右眼视力明显下降,鼻唇沟对称,伸舌居中。四肢肌力5级,肌张力正常,四肢腱反射可引出。病理征阴性。共济试验稳准。
影像学检查:
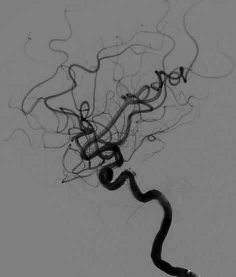
入院后行DSA检查明确右侧颈内动脉眼动脉后下方囊状动脉瘤样影,大小约1.09mm×6.53mm,宽基底,其下方见两个小囊状突起,左侧颈内动脉眼动脉后方及虹吸段均可见小囊状突起。考虑颅内多发动脉瘤。


诊断:
右侧颈内动脉眼段巨大动脉瘤
手术材料:
- 6F长鞘;
- 8F Envoy
- 105cm 6F Navien;
- Synchro2导丝;
- Tubridge® 4.0×45mm。
术前准备:
入院后双抗准备(阿司匹林100mg qd+氢氯吡格雷75mg qd), 行TEG检测2次,ADP抑制率及AA抑制率均为100%。
手术方案:
考虑同时处理同侧多发动脉瘤,遂选用4.0mm×45mmTB支架,完全覆盖动脉瘤。
手术过程:
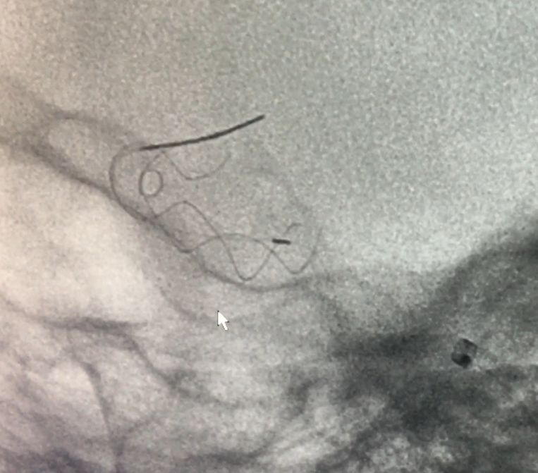
麻醉成功后,患者仰卧,常规消毒,铺巾, Seldinger法穿刺右侧股动脉,置入5F动脉鞘,置入5F造影管行右侧颈内动脉正侧位及3D造影后,更换6F长动脉鞘,6F中间导管在导丝引导下进入右侧颈动脉分叉端并固定。根据3D造影选择工作体位并放大做路图后,T-track微导管在微导丝引导下进入右侧大脑中动脉,经微导管送入4.0×45mm Tubridge®支架,观察 Marker位置后,于颈动脉分叉附近缓慢释放支架。



Tubridge®释放过程
锚定后,整体回撤至合适位置后,通过张力释放法缓慢释放支架,直至支架完全打开。观察见支架贴壁良好,动脉瘤颈完全覆盖,遂完全释放支架。
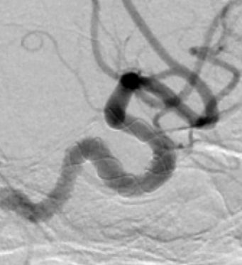
全脑DSA正侧位造影示血流通畅。


动脉瘤内造影剂滞留,未填弹簧圈。行Xper CT,观察见支架完全打开,贴壁良好。术程顺利结束。

术后随访:



术后6个月复查造影示:动脉瘤不显影,血管重建效果令人满意。
病例分享case2
基本信息:
患者,女,51岁,入院主诉:因发作性黑蒙3月余,检查发现右侧颈内动脉动脉瘤1月余,既往有高血压病史。
入院后行全脑血管造影证实右侧颈内动脉眼段动脉瘤。瘤颈宽约4.91mm,瘤体最大径约8.21mm,载瘤动脉远近端血管直径分别为3.07mm、3.52mm。
术前造影:


手术方案选择:
保守治疗:
避免手术,创伤小;但是动脉瘤破裂出血常导致病人残疾或死亡,幸存者仍可能再次出血。
开颅手术:
花费相对便宜,长期效果好;损伤大,动脉瘤难以找到,手术相对困难。
传统支架辅助弹簧圈治疗:
支架网孔较大,金属覆盖率低,无法充分纠正血流动力学,且复发率相对较高。
Tubridge®血管重建装置:
操作简便、安全性高,充分纠正血流动力学。与患者和家属充分沟通并获得知情同意后决定行Tubridge®血管重建装置置入血管重建术。
考虑载瘤动脉迂曲程度,选择稍大直径以增强远近端锚定力。决定采用规格TB4030。
手术过程:

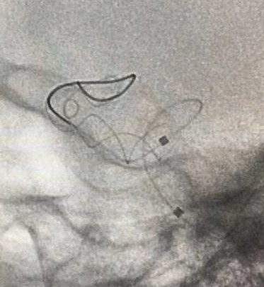
Tubridge®血管重建装置专用支架导管T-track到位,引入4.0mm*30mm支架。




准确定位后,锚定支架头端,缓慢推送支架的同时控制支架张力,顺利释放支架。

为进一步确保Tubridge®血管重建装置完美贴壁,上J型导丝支架内“按摩”。


多角度确认支架已完全贴壁。


正侧位造影示动脉瘤内造影剂明显滞留,载瘤动脉通畅,血流导向作用显著。
术后即刻:



随访结果:



术后6个月复查动脉瘤完全闭塞,局部血管重建。
术者体会:
- Tubridge®血管重建装置专用微导管T-track是0.029inch,相对来说,支撑力更强、更稳定。
- Tubridge®血管重建装置操作简单,喇叭口设计,推出即打开,相对于传统支架辅助弹簧圈治疗动脉瘤,Tubridge®血管重建装置可以更好地改变血流,降低复发率,同时也是治疗理念的更新。相信未来适应证会逐渐拓宽,越来越多的动脉瘤患者将受益于此项新技术。
术者介绍
伍健明 深圳市第二人民医院