话说,这小哥叫Amons,
新泽西理工学院的大学生,学的是Digital Design(数字设计)

这个理工男小哥一直以来对他身体的某个部位不太满意——他的牙齿
他觉得牙齿不够整齐,有一颗还凸出来了

他想要矫正,但矫正牙齿要花不少钱,尤其是那种比较美观的隐形透明牙套,要8千美元(5万1千多人民币)。
小哥表示我穷学生,木有这么多钱啊,于是一直很郁闷
直到某天他又看到学校的3D打印机,他一拍大腿
“卧槽!我可以利用自己的专业技能,用3D打印技术打印牙套出来啊!”
恩,他们专业的学生是可以自由使用学校的3D打印机的,简直天赐良机。
于是他就开始了,他做了很多研究,看了各种关于怎么矫正牙齿和透明牙套制作的书和论文
觉得全套步骤可行,于是就开始自己动手做了起来......
他先给自己的牙齿做了一个模子,用藻酸盐
(这个很容易买到也很便宜)

然后他把上面那个藻酸盐模子倒放进一个酸奶杯,将一种叫Permastone的材料灌进去,就能做出下面这种牙模

接着他用精密激光扫描仪对牙模做了3D扫描,经过一番精细的建模设计(没错他大学就是学这个的......)

他打印出了12套牙齿矫正器的模型,让他可以在每一个阶段进行更换

最后他使用一台真空注塑机在3D打印的模型上做出了最终的透明牙套
为了确保这个牙套不会伤害他的牙龈,小哥还专门做了各种打磨
最后跟医院牙医做的是不是也很像~~~

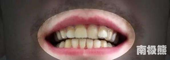
来感受一下他戴了牙套16周后和戴之前的对比照,牙齿整齐了很多
其实刚开始小哥也是没底的,他怕自己的计算出现失误,最后不仅没有矫正好还把牙齿给弄得更歪了

好在最后效果不错,小哥现在能自信的咧开嘴笑了

整个过程小哥表示花费一共就60美金(不到400人民币,估计用学校的设备没花钱吧),省了一大笔钱
看到小哥机智的方法后,很多同学朋友都想请他办法做牙套,然而小哥拒绝了
他表示3D打印牙套的过程中可能出错的地方太多了,这个责任太重大,万一把大家牙齿搞坏了咋办?
他最开始只是为了省钱和试验下,没想把这个当成一个事业,更没想赚钱
不过小哥把自己的方法详细的写在了博客上,但他表示你们千万不要轻易尝试啊,尝试过后有问题他也不负责......

至于一个没有经过牙医训练的人能不能做成这样的牙套......或者整个事情是他吹牛炒作还是真的做到了? 这就不能确定了......
想联系本文提及的3D打印或了解更多信息?请加南极熊官方微信392908259