盘源性腰痛之三
腰腿痛不一定是腰椎间盘突出系列之四
诊断:
国际疼痛研究协会(IASP)建立的IDD的诊断标准是,在椎间盘造影期间出现相同的疼痛反应,椎间盘造影后CT(CTD)显示的内环破裂和至少一个相邻的椎间盘相同疼痛。 IDD一词最早由Crock提出,其依据是一大批严重的背部和腿部疼痛患者,因怀疑椎间盘脱垂,手术后疼痛加剧。 他报告了这种情况,其特征是通过破坏椎间盘的内部结构,在没有周围椎间盘形状异常的情况下,以及在没有神经根受压的情况下引起的椎间盘源性背痛。 目前,IDD被描述为一种独特的临床实体,可与其他疼痛过程(例如椎间盘退变和节段不稳定性)区分开来。

在先前的研究中,根据椎间盘造影,我们将椎间盘源性下背痛分为两类,即 纤维环破坏引起的下腰痛(IAD)和终板破坏引起的下腰痛(IED) ,它们得到了以下方面的充分支持 临床和理论基础。 在临床和病理上,术语IAD应比术语IDD更合理。 临床上,这两种类型的下腰痛应通过腰椎间盘造影证实。 诊断过程,放射状撕裂和疼痛反应必须一致。 在注入造影剂的过程中,造影剂要么通过放射状的纤维环撕裂流向椎间盘外侧,要么通过放射状的终板撕裂流向椎体。 以任何一种方式都能发一致的疼痛反应。

中山骨科 止于至善
大道至简 天人合一
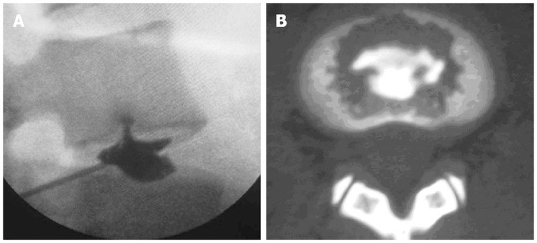
根据“ Modified Dallas Discogram Description ”方法,椎间盘破坏的程度可分为5个等级。 定义为
0级:造影剂被限制在正常髓核内。
1级:造影剂通过纤维环裂缝流入环的内部三分之一;
2级:造影剂流入纤维环的中间三分之一;
3级:造影剂流入纤维环的外三分之一,并在圆盘中心沿圆周方向延伸小于30°弧度;
4级:造影剂流入纤维环的外三分之一,并在椎间盘中心沿圆周方向延伸超过30°弧度;
5级:造影剂泄漏到外层空间。
0、1和2级是正常现象,而3级及以上则表示纤维环破裂。

我们将椎间盘造影和椎间盘造影后的CT扫描结合起来,以评估IED患者的终板破裂程度。 破坏度分为4个等级:
0级(无破坏),
1级(造影剂通过撕裂流入软骨终板),
2级(造影剂流入骨终板) ,
3级(造影剂在终板下方流入椎骨松质骨,显示局部分散)
4级(造影剂在松质骨中广泛分散)。
在这组IED患者中,所有显示出一致的疼痛反应的椎间盘均比3级更为严重的终板破裂,这与终板上的血管和神经分布相一致。


中山骨科 止于至善
大道至简 天人合一
从理论上讲,任何神经支配的椎骨及其周围结构都可能是下腰痛的根源。 椎间盘的结构使得除围绕纤维环的外周部分外,终板也具有神经支配。 通常,椎体终板有两个神经供应:一个与椎体周围血管一起进入终板,而另一个属于窦椎神经支配,它通过椎间孔进入终板。 终板内的神经密度与纤维环的神经密度相似,表明终板也是椎间盘源性下腰痛的重要来源。

最近,我们发表了一项临床研究文章,选择了21例来自终板损伤的慢性背痛患者来探讨诊断和手术治疗的方法。 通过每位患者的椎间盘造影确定椎间盘的疼痛程度。 根据椎间盘造影,所有21例诊断为终板损伤引起的背痛的患者均接受了前路或后路融合手术。 手术后,通过平均三年五个月的随访,我们发现在所有21例患者中,有20例(20/21)报告下腰痛消失或明显减轻,并且身体功能得到了明显改善。 该研究表明,椎间盘造影和融合手术可能分别是诊断和治疗源自终板损伤的慢性背痛的非常有效的方法。 实际上,临床上经常发生终板损伤引起的下腰痛。 在临床研究中,我们发现终板损伤引起的下背痛占慢性盘源性下背痛的16.7%。 流行病学调查显示,没有下背痛的人群中终板损害的发生率为30%。

中山骨科 止于至善
大道至简 天人合一
从理论上讲,终板破裂引起的椎间盘源性下腰痛的发病机理被认为与纤维环破裂的发病机理一致。 大量的动物实验表明,破坏纤维环的外层可能会导致整个椎间盘的逐渐退化。 同样,动物模型表明,从椎体侧一直贯穿终板到椎间盘的针刺可能会导致整个椎间盘的逐渐退化。 在终板损伤动物模型中发现,终板损伤后髓核细胞凋亡增加,蛋白聚糖含量降低。 神经和血管的向内生长是撕裂的特征,并且还与椎间盘源性下腰痛直接相关。 Freemont等发现,毛细血管与神经末梢一起通过终板进入疼痛的椎间盘。

基础和临床研究绝大多数显示了椎间盘的神经支配和病理形态学相关性。 根据对照评估,已显示盘源性腰痛是无椎间盘突出的慢性腰背痛的来源,占26%至42%。 由于慢性下腰痛的解剖和病理生理原因多种多样,因此临床医生很难做出诊断。 临床医生主要使用MRI等先进的成像技术来诊断腰痛。 研究表明,MRI结果(例如椎间盘退变)与下腰部症状的存在或严重程度无关。 腰椎激发性椎间盘造影术是一种用于表征椎间盘的病理解剖和结构以及确定椎间盘是否为慢性下腰痛的来源的方法。
最近,美国疼痛学会制定并发布了多种治疗腰痛的指南,由于其敏感性,特异性和预测价值的证据不足,因此不建议将椎间盘造影作为诊断测试。但是,随后,这些指南遭到了严厉批评。 几乎所有领域都存在缺陷和不适当的评估; 纳入不适当的研究,排除了适当的研究。 Chou和Huffman提出的这些指导原则的基本缺陷是,他们不能认识到无症状志愿者或轻度下腰痛患者不能进行椎间盘造影。 他们还使用了AHCPR和欧洲COST指南中过时的数据。
在此期间,质疑椎间盘造影的有效性需要质疑椎间盘作为疼痛产生器的作用,或更具体地讲,是对有症状的椎间盘内破裂的概念提出质疑。 如果人们认为椎间盘造影是一种无用的测试,那么人们可能不得不放弃将椎间盘作为一种疼痛产生器的概念,同时而放弃对椎间盘内治疗的追求,无论是外科手术还是非外科手术。 最近的系统评价得出的结论是,有充分的证据表明腰椎间盘造影可以鉴别出患有慢性椎间盘源性疼痛的这一部分患者。

专注患者体验,倡导快速康复