情绪会影响皮肤健康,在个体在社会生活中承担的压力和责任越来越重时,若精神不好或长期紧张、恐惧、压抑时,可引起机体的应激反应,甚至发生内分泌功能失调,引发的不仅仅是皮肤问题,保持乐观、积极、宽容的生活态度,是有效预防和治疗皮肤病的良药。

情绪图
白癜风医院专家向您介绍几种“生气”容易引起的皮肤病
1.白癜风
白癜风是一种易诊难治的脱色性皮肤病, 临床上某些专家对白癜风的发病原因进行过统计,发现由精神因素诱发的比例占了相当大一部分,有的是精神受过刺激,有的是精神过度紧张,有的是思想过分压抑。而且白癜风患者中有相当一部分病例的病情加剧与脾气暴躁、精神紧张、心理压力过大等因素有关。

白癜风图

白癜风图
2.神经性皮炎
性格急躁情绪不稳定的人,对这些不良刺激应变能力差,反应敏感、强烈而持久,就容易发生神经性皮炎。
神经性皮炎的治疗应解除可能发生的病因,尽量避免局部瘙痒抓挠,忌热水烫洗和肥皂洗,避免情绪激动和精神刺激,不吃辛辣刺激食物。

神经性皮炎

神经性皮炎
3.银屑病
最近研究发现,40%以上的银屑病患者在发病前有精神紧张史。临床经验证明,保持乐观向上心态的银屑病患者,其愈后明显好于悲观失望者。
银屑病的冬季护理要求多,小的方面具体就要谈到少吃辛辣刺激类食物,忌不良嗜好,如大量饮酒抽烟等,在沐浴方面,对皮损伤口切忌洗烫或直接用手揭皮,并要注意给皮肤保温,贴身衣物的选择宜为纯棉类。当然,积极向上的心态更是在遭遇银屑病骚扰过程中不可以缺少的。

银屑病

银屑病
4.脱发
精神压力太大或是受到创伤后,激素的陡然增加会让血液循环出现问题,从而使头发脱落。只有当我们心理状况恢复正常时,头发才会重新生长。

脱发

脱发
每天焦虑不安会导致脱发,压抑的程度越深,脱发的速度也越快。女性若在生活忙碌之外又保持适当的运动量,头发会光彩乌黑,充满生命力。男性经常进行深呼吸、散步、做松弛体操等,可消除当天的精神疲劳。
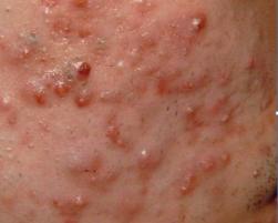
5.痘痘
如果你的粉刺是黑头的,这多半与你过度的户外奔波有关;白头粉刺与你在焦虑状况下大量进食甜食和高热量食品有关;无头粉刺通常是神经高度紧张的结果。

痘痘

痘痘
战胜痘痘,充足睡眠是最好的美容方法,另外还要养成规律的生活习惯,尽量减少熬夜,避免因情绪或压力造成的失眠。为预防痘痘,在日常生活中还应注意均衡饮食,用餐保持愉快的心情,应选择适宜的化妆、保养、清洁用品等。
6.*麻疹荨**
也就是我们经常看到的“风疹”。*麻疹荨**既是皮肤病的常见症状,同时也是一种情绪皮肤病。一般在情绪紧张时,会出现凸出于皮肤表面的一个让你感觉奇痒的白包。如果运气好,当情绪稳定后白包就会在几个小时内慢慢消失,但如果你的心情一直不好,那就要忍受它更长时间了。

*麻疹荨**

*麻疹荨**
慢性*麻疹荨**深层的奥秘很多,每个人的情况都不一样,因此,治疗手段很多,应根据每个人不同时段情况选择合适的药物或物理的方法治疗。关键是找准自己的根源所在,对症下药,方有奇效。否则,得吃很长时间的药物进行控制,同时在饮食上做文章,再缓慢减药,才能治愈。
除了上述所列疾病,不稳定情绪如生气、焦虑、暴躁还会引起多种其他皮肤病以及内脏疾病,因此,为了您的个人健康、家庭幸福,请缓解压力、舒缓情绪,营造和谐稳定氛围,摆脱不良情绪困扰。