生、死,别、离,看似距离很远,但有时候只是一线的距离,或许只有经历过这一线之间的徘徊,才能明白生命中最珍贵的,就是身边那个陪伴自己走过无数岁月的人。也许有些人正在经历着我所经历过的,又或是大部分人永远平顺安康,与自己所爱的人慢慢走过旅途,我将这段历程记录下来,希望能给大家带来启发。
两个月前的一个晚上。梁,也就是我的丈夫,突然说自己智齿发痛,我也没在意,这已经是*毛老**病了,平时让他不要抽烟熬夜,他从来不听,这次看他自食恶果了吧,想到这,我忍不住笑了起来。
“妈说附近巷子里开了一家牙科诊所,出门走几步路就到了,等明天下班了我得去看看。”
我拧了下他腰间的赘肉,说道看你以后还敢不敢熬夜,这下牙得拔掉了吧,以后说话漏风,变成大丑猫。
“变成大丑猫也有你在我身边呀!你就是大母猫了。”
笑骂着,夜色渐渐沉下去。我们都没想到,这个决定成为噩梦的开始。

从诊所回来后过了几天,梁就开始说自己的头隐隐作痛,似乎有只看不见的手在箍着他,我们都以为是拔牙的后遗症,想着再过段时间就该好了吧。
“按时吃止痛药就好了,过几天再看看。”
但再过了一个多星期,梁的头痛一直没有好转,由于晚上睡不好,看起来精神都变得恍惚了。周围见到他的同事,对他的变化都有些惊讶,纷纷关心地问是不是生病了。
“今天不去医院我也得拉你去了。”我逼着梁请了一天的年假,到医院做了检查,但核磁看不出异样,在门诊开了些药物后就让我们回去了。
吃了药后,梁的头痛缓解了很多。我们都以为没事了,但没想过了十多天,梁的头痛再次发作,这次还出现了后颈部疼痛。
这样反复发作了几次,连梁都感到害怕了,但是到医院住院治疗一段时间,症状却没有好转。和家里人一商量,我们决定转到广州的大医院看看。
经过选择,我们来到广东三九脑科医院,这时候梁的状态已经很差了。
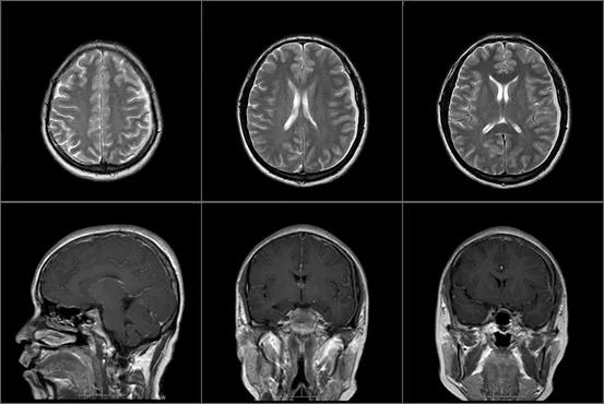
急诊做了颅脑核磁平扫增强,医生告诉我们,梁的颅脑影像多发强化,左侧额颞顶枕部硬膜下积脓,考虑是感染性病变引起的脑膜脑炎。

当天晚上我们住进了医院,监护室里是和梁一样的重病号,不远处的一位七八十岁的老人家躺在病床上,人已经失去意识,听护士讲喉咙上那个是气管插管。夜晚里,每隔几小时他的喉咙就传来风箱一样的喘鸣声,这时候就要开始为他吸痰了。
病房里其他病床的家属对此无动于衷,应该是已经习惯这样的景象。
看着护士和家属忙前忙后,夜晚的寂静与眼前忙碌的身影重叠在一起,我握紧了梁的手,担心有一天梁也会变成那样。
不祥的预感似乎正在实现,第二天中午,梁的呼吸突然急促起来,整个人躁动不安,完全听不到我在叫他。
护士紧急报告医生,患者出现血氧下降,波动范围在82%-88%。
几位医生护士来了后,用瞳孔笔在梁的双眼上照了下,开始了一轮抢救。我的手指搅弄在一起,茫然无措。
不知过了多久,有一个穿白色衣服的人来到我旁边,告诉我患者病情危重,需要转到重症监护室,必要时还要做手术治疗。
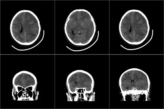
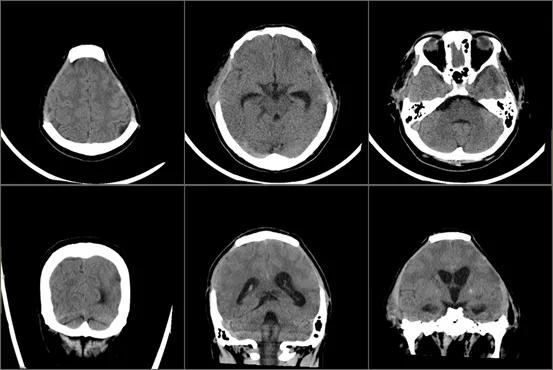
转至重症监护室抢救,梁还是没有脱离危险,几位外科专家打开电脑上的影像,这是梁急查的颅脑CT。

医生指了指几处明显有异常的位置,告诉我说梁的左侧脑组织肿胀,中线偏移,左侧侧脑室受压,考虑颅内感染继发脑组织肿胀,脑疝形成,有做去骨瓣减压术的指征。
在了解去骨瓣减压术意味着什么后,我整个人一阵晕眩,在此之前我虽有预感,但也不曾想会这样严重。强忍着才让自己镇定下来,梁这时候已经这样了,我更不能倒下。
“医生,该做的手术我们做,您一定要保住梁的生命,麻烦您了!”
“梁太太,这是我们的职责,只要有一线生机,我们就绝不放弃。”
……
不知道是不是错觉,手术室外的空气似乎比病房里还要冰冷,在我旁边的,还有其他患者的家属在等待手术结果,他们并没有那么紧张,有些人在几个小时的等待里,早已经拿出手机,好像和平时没什么两样,考虑着出院后该去哪里玩了。
要是有人注意到我的神情,应该会发现我脸上的茫然。此刻躺在手术室里的,有一个就是我的男人,我孩子的父亲。进入手术室前,大夫已经告诉了我病情,能不能熬过去,就要看这几个小时了。
手术室前的红色灯光暗了下来,随着一声电脑触控独有的开门声响起,我的思绪被拉回了现实,几乎是跑着到手术室大门那里。
看着那陪伴我走过十年的那熟悉的脸再次出现在我面前,我的双眼不争气的溢满了泪水。
“恭喜您梁太太,梁先生已经脱离了危险。”
我使劲的点点头,“谢谢你们,谢谢大家,你们就是我们一家的恩人。”
如今经过一个多月的康复治疗,梁的状态已经好了很多,可以独立完成吃饭、穿衣等精细活动,复查影像,混合积液较前吸收,颅内病灶也有了好转。

这几个月的求医问药,我们家里每个人都已经是小半个医生,知道这个疾病的病死率和致残率是比较高的,容易出现后遗症。
我还想告诉大家,化脓性脑膜脑炎是化脓性细菌所致的软脑膜,蛛网膜,脑脊液及脑室的急性感染性疾病,临床表现以发热、颅内压增高、脑膜刺激症、脑脊液脓性改变为主要特征,有报道显示,该病的病死率高达50%~60%,幸存者仍有一半以上会遗留严重的神经系统后遗症。口腔及面部有丰富的血液循环,可以和颅内沟通。作为一个有菌环境,如果在拔牙前后没有仔细护理,特别是在炎症急性期,口腔细菌非常容易通过血液循环等途径进入颅内,引发化脓性脑膜脑炎等症状。由于该疾病早期临床症状不典型,所以容易被人忽视。如果在拔牙后出现头痛、发热、视物不清等相关症状时,应及时就诊,避免病情延误。
想来也有些后怕,这次能从死神手中将梁夺回,已经是十分幸运的事情。希望所有人都能够珍惜自己身边的人,也许一件微不足道的小事就足以让人永失所爱,我们能做的,也只是珍惜当下。
这是一位粉丝发来的稿件,记录了自己和爱人的求医经历,感谢她的信任!80%的人智齿都需要拔除,除了智齿完全萌出、长得很正、上下咬合很好,也没有牙痛、炎症等症状,可以不拔。智齿痛也是可以拔除的,但一定要注意时机:如果智齿由于龋齿造成的牙髓炎或者是根尖炎,这种智齿牙髓炎的时候是可以拔出。如果是根尖炎,也可以进行开髓引流,根尖炎症得到基本控制之后也是可以拔出。如果智齿造成的反复的冠周炎,在急性冠周炎阶段尽量不要拔牙,在炎症缓解之后才能够将疼痛的智齿拔除。