今天和一位2年前认识的宝妈聊天,我建议她可以带孩子来做口腔检查,她表现的很诧异,问我“3岁小朋友牙齿也不痛,也要检查牙齿吗?”

孩子到底什么时候检查牙齿呢?到底检查什么项目?
一、 龋齿

龋齿也就是我们俗称的虫牙。大家都知道,看牙贵,那很少有人明白贵在哪里?其实不是贵在材料,是医生。医生的时间和能力才是最贵的地方。所以要尽可能少的占用医生的时间。小朋友的乳牙会比成人更容易长虫牙。因为他们精细动作还没有养成,刷牙的手法不正确,清洁不到位。一位刷牙手法很正确的成人,能做到的清洁度也只能达到90%,更何况孩子,所以必须从长牙开始就做预防,每3-6个月检查一次,早预防、早干预,效果更好,花费更少。
二、 咬合关系
大部分家长都知道矫正的黄金时间是12-16岁。但是其实早期干预的时间是2-8岁。这个时间是孩子颌骨发育高峰期,如果有
视频加载中...
地包天等情况可以很容易的矫正回来,孩子也不遭罪。
三、 口呼吸
之前碰到很多家长都觉得,口呼吸,打呼噜是白天玩的太累了。但其实这也是一种疾病。如果孩子有长期口呼吸,流口水,打呼噜等情况,需要去医院耳鼻喉科做一个全面检查,看看有没有腺样体肥大。严重的会造成脑供血不足,影响孩子智力发育。

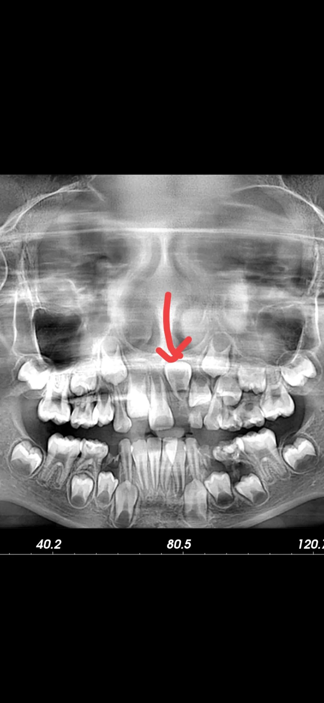
四、恒牙胚发育情况
这是很多家长容易忽略的一点

大家可以看到这是我们最近接到的一个病历情况。孩子8岁了乳牙已经掉了,但是门牙一直没有长。家长等不下去了带孩子来检查拍了片子才发现原来门牙倒着长的,类似这种情况有很多是可以提前求助医生进行早期干预的。