免责声明:本人所有回答均参考自人民卫生出版社教科书,不构成任何医疗建议,只做医疗信息传播,如有身体不适请于正规医院就诊。
本人是神经内科主治医师,擅长脑血管病,帕金森病,神经脱髓鞘病变等领域,欢迎大家点击右上角关注

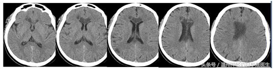
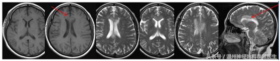
先看个病例,女,46岁,主诉;反应迟钝、走路不稳半月。既往史;“高血压”病病史3年,不规律服药,血压控制不详
查体:神经系统:左上肢及右侧肢体肌力5级,左下肢肌力4级,左上肢指鼻试验欠准,与右上肢完成同一动作时笨拙,有时不自主阻挡右手动作,双侧肢体感觉正常,行走似稍宽基底。病理反射未引出。NIHSS评分3分
附上一组经典的CT片跟MRI片



我根据WHW的方式来剖析这个知识点
一、W(what)什么是大脑前动脉梗塞
首先看看前动脉的供血区域,左图红色,右图绿色区域就是大脑前动脉的供血区域

细分前动脉的分支(关注我晚上发的大脑前动脉思维导图)

(一)中央支
1)反支(Heubner动脉)
2)基底支
(二)皮层支
1)眶后动脉通常在前交通动脉前方4-5mm处与大脑前动脉主干呈锐角发出,越过直回后部入嗅沟内,分布至眶部后内侧
2)眶前动脉分布至眶前内侧部
3)额极动脉分布于额极内、外侧面
4)额前内侧动脉
5)额中间内侧动脉
6)额后内侧动脉
7)旁中央动脉
8)楔前动脉
9)胼胝体动脉

(三)前交通动脉
二、W(why)为什么会出现这些症状
所有的症状都与梗死的部位相关
(一)大脑前动脉在前交通与Heubner返动脉之间闭塞


1)对侧上神经元性瘫痪,下肢重,上肢轻。
2)对侧下肢感觉障碍
3)额性共济失调
4)精神症状:如缄默、运动减少等。
(二)旁中央小叶病变
无抑制性膀胱功能障碍
(三)左侧缘上回经胼胝体至右侧中央前回的纤维受到损害

运用不能(失用症)
三、H(how)该怎么做?
我觉得关于动脉粥样硬化,脑梗死的方案在这里索引下之前文章哈
李医生讲中风,时间就是大脑,教你如何把握中风后宝贵的180分钟
[原创]只需检查十分钟就可以避免50%的中风,教你如何预防中风
特鲁多铭言——To Cure Sometimes, To Relieve Often, To Comfort Always.(有时治愈,常常帮助 ,总是安慰 )致医生,致患者,请记住医生与患者最大的敌人永远是疾病。
