1月15日,省二院骨科住进一位特殊的患者,他是来自四川省的藏族同胞泽科,40多岁的泽科3年前不慎从马上跌落后开始行走困难,曾就诊于成都某医院,经检查后诊断为颈椎病,全身石骨症。鉴于合并石骨症的颈椎手术难度极大,风险极高,患者当时未行手术治疗。此后几年患者一直承受着病痛的折磨,并逐渐无法行走。
40多岁的中年男子毫无疑问是家里的顶梁柱,四处求医收效甚微,几经绝望的他经人介绍,抱着试一试的态度来到了甘肃省二院。
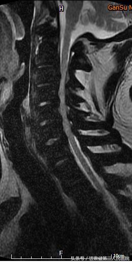
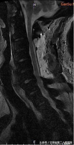
入院后行全脊柱X线、CT及MRI示:C3-6颈椎后纵韧带骨化引起的脊髓型颈椎病,并有严重的石骨症。

可见全身骨质密度均匀增高,符合石骨症表现

可见后纵韧带骨化
据骨科主任袁治国介绍:“石骨症引起广泛的骨质硬化,重者髓腔封闭,造成严重贫血。骨质强度非常之高,手术对医生的要求宜非常高,不仅需要非常娴熟的技术,还需要充沛的体力和耐性。”
经过术前讨论及充分的沟通和交流,患者和家属同意进行手术治疗。
1月25日,省二院骨科袁治国主任、白登彦副主任带领医护团队,在手术麻醉科医护人员的大力配合下,历时5小时,出血不到100ML,顺利完成了“C3-6后路椎板切除钉棒系统内固定术”。
术中见到病人骨质严重石化,强度非常高,每次咬骨钳只能咬一白印,只能应用磨钻慢慢打磨,稍不注意可能会损伤颈部脊髓危及生命。
术后,患者麻醉清醒后即感轻松很多。术后2天,患者即能下地行走,好转出院后随访恢复正常。

术前

术后