经过两个多月的实验,陕西省第六批组团式援藏医疗队成功改良病理切片染色技术,终于实现染色清晰、对比鲜明效果。这项新技术让病理切片不再受高海拔缺氧限制,完全达到三甲医院的佳片率标准,为临床提供了精准的诊断依据。这其中,西安市第三医院病理科医生龙兆博功不可没。

西安市第三医院病理科医生龙兆博。(受访者供图)
龙兆博是陕西省第六批组团式援藏医疗队中的一员。同其他队友一样,龙兆博在阿里地区人民医院从事医疗技术工作,以专业特长带动医院对应学科发展。在阿里地区人民医院,病理科虽是一个小科室,但其作用不可小觑,小小的病理切片和诊断,对病情的判断有着至关重要的作用。

西安市第三医院病理科医生龙兆博。(受访者供图)
来到人民医院病理科后,龙兆博发现这里的病理切片和内地比质量要差很多,难以达到三甲医院甲片率的要求。“或许是跟这里高海拔和氧含量低有很大的关系。”龙兆博推测。

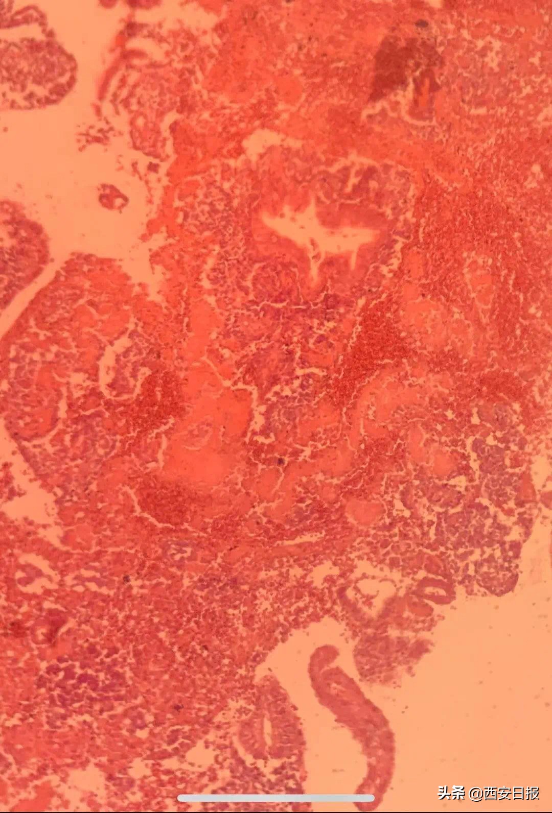
改良前
经过实验,龙兆博发现病理切片在制作过程中石蜡不能被完全脱掉,苏木素不能被氧化,而病理切片需要脱蜡后经苏木素伊红染色后才能阅片。苏木素是一种有机化合物,它在被氧化后能够使细胞核染色。由于阿里地区含氧量和气压太低,苏木素难以被氧化,也就导致病理切片难以着色,影响病理诊断。

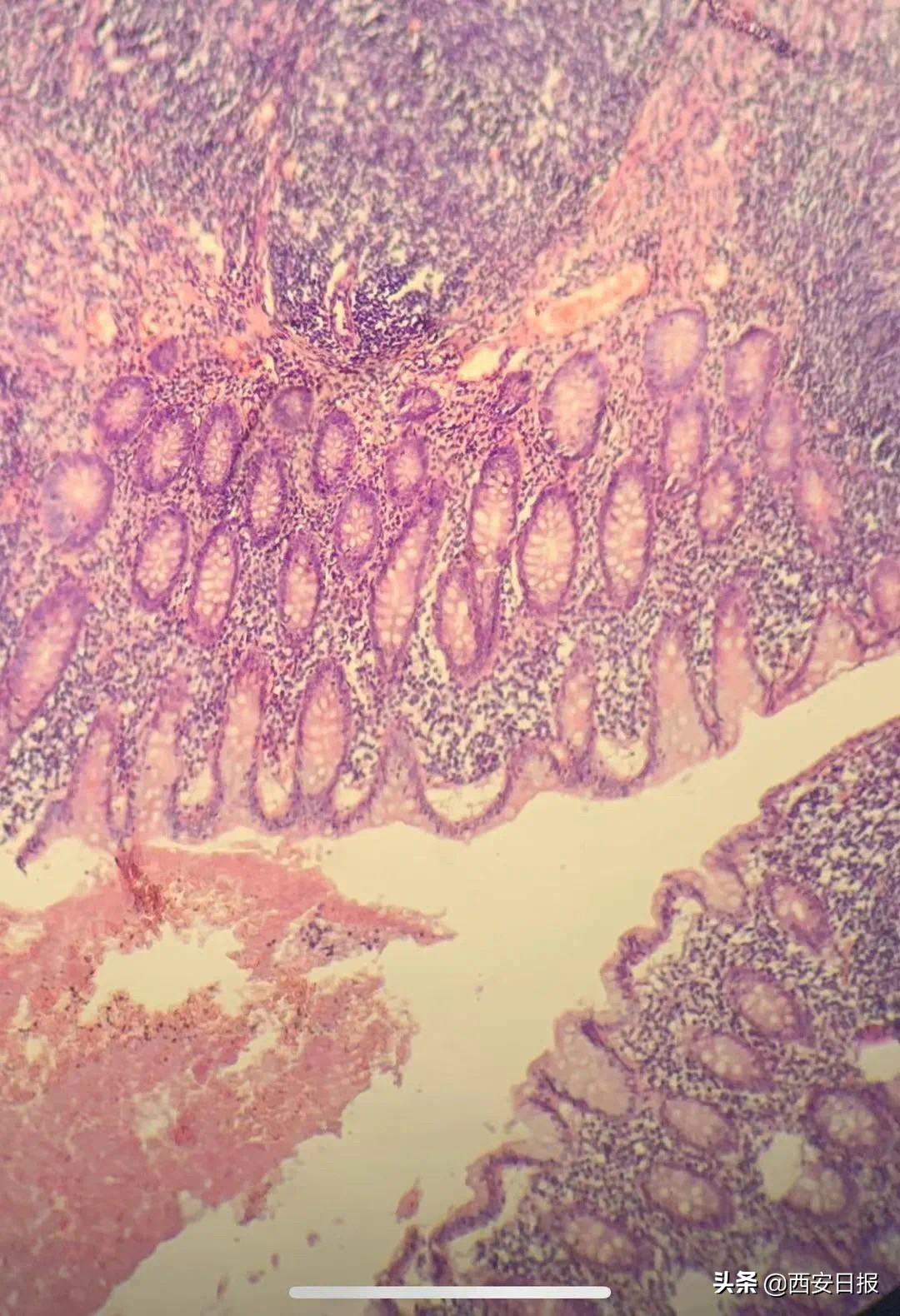
改良后
找到原因后,龙兆博便想尽办法克服自然环境限制。“在染液中加入强氧化剂可以帮助切片着色!”经过反复挑选,龙兆博选择了高锰酸钾和碘盐。经过两个多月的实验,龙兆博总结出了一套适合在高海拔地区的染色方法,使最终得到的病理切片染色清晰且利于诊断。
改进了的病理切片染色技术,使得地区医院的病理切片不再受自然条件限制,完全能达到三甲医院的佳片率标准,更为临床提供了精准的诊断依据。不仅如此,龙兆博很快把改良过的染色技术传授给了地区医院两名病理技术人员,让这项技术真正落地在雪域高原。相信在不远的将来,该项技术可以在*藏西**高原这片神奇的土地上推广应用,造福百姓健康。
来源:文/西安报业全媒体记者 王江黎 图/受访者提供
编辑:王少颖