
来源:医学之声 作者:Doctor.H
全血细胞减少疾病,你还傻傻分不清?

首先我们要先一起回顾一下什么是全血细胞减少,全血细胞减少,又叫全血象减少或三系减少,顾名思义指红细胞数量或血红蛋白含量、白细胞数量及血小板数量均低于正常;即RBC<3.5×10^12/L(男性RBC<4.0×10^12/L)或Hb<110g/L(男性Hb<120g/L)、WBC<4.0×10^9/L(中性粒细胞<2.0×10^9/L)、PLT<100×10^9/L,是一种特殊的疾病状态。
导致全血细胞的病因甚多,病种也让人眼花缭乱,常见的还是血液系统疾病居多,比如:急性白血病、再生障碍性贫血、骨髓增生异常综合征、恶性组织细胞病、噬血细胞综合征、多发性骨髓瘤、急性造血功能停滞等等;其他系统疾病也有很多,比如肝硬化、脾功能亢进、感染、肿瘤、自身免疫性疾病等等。这些疾病各自究竟有哪些特点,我们临床中遇到怎么鉴别呢?别着急,往下看,让我们一起揭开他们的神秘面纱。
本篇我们重点介绍10个常见的导致全血细胞减少的疾病:
1.急性白血病:
临床表现:发热、贫血、出血及浸润症状(肝脾淋巴结肿大、骨痛等);
体征:贫血貌、肝脾淋巴结扪及肿大、皮肤紫癜或瘀癍;
血象:正细胞正色素贫血或大细胞贫血;白细胞低下时既往亦称为“低白细胞性白血病”,外周血亦可见原始细胞;
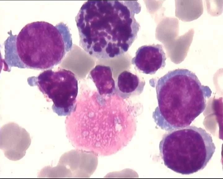
骨髓象:增生多明显活跃或极度活跃;原始细胞比例>20%;晚期粒细胞、红系(AML-M6除外)及巨核系(AML-M7除外)均严重受抑。

急性白血病骨髓
注意:1)急性白血病大多数表现为白细胞增多,即白细胞增多性白细胞,也有白细胞正常或减低的,即白细胞不增多性白白血病;2)当骨髓受抑的恢复期或使用粒细胞刺激因子后,选择骨髓检查时机不成熟时可表现为原始细胞增多,应结合病史进一步诊断。
2、骨髓增生异常综合征
临床表现:贫血、发热、出血,贫血最常见,出血次之;
体征:贫血表现为主;
血象:多为大细胞贫血;
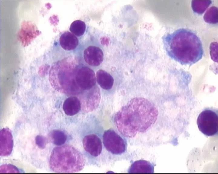
骨髓象:增生多明显活跃;原始粒细胞<20%;可见病态造血:红系见巨大、异形、点彩红细胞,多核、核出芽核碎裂等病态红细胞,环形铁粒幼细胞;粒系见中性颗粒的减少或缺失,分叶增多或减少,假性Pelger-Huet样核异常,原始粒细胞比例增高;巨核系见淋巴样小巨核细胞、小圆核细胞或多个小核的大巨核细胞。

骨髓“病态造血”
注意:1)诊断MDS应紧密结合临床,排除其它三系减少的疾病;应强调病史,重点有无危险因素的接触史(苯、药物、放射线等);有条件尽可能行遗传学及分子生物学检测及骨髓活检并注意有无前体细胞的异常定位(abnormal localization of immature precursors,ALIP)即ALIP小体;2)鉴别不明确的可在追踪检查同时试用叶酸、VitB12治疗,部分甚至可试用激素治疗以除外巨幼贫或免疫相关性全血细胞减少症;与白血病一样,MDS亦有低增生型。
3、恶性组织细胞病:
临床表现:长期高热,进行性衰竭及肝脾淋巴结肿大;可伴黄疸、出血、皮肤受损及浆膜腔积液;病情凶险,预后差。
体征:高热,肝脾淋巴结明显肿大伴黄疸,晚期恶病质。
血象:进行性全血细胞减少,正细胞或大细胞贫血;可能发现异常组织细胞及(或)不典型单核细胞;
骨髓象:增生不一,晚期多减低;有异常的组织细胞:①异常组织细胞(恶性组织细胞):胞体大,浆丰富呈蓝色,有细小颗粒或空泡,核分枝或双核,染色质细或网状,核仁显隐不一,多在片末或边缘;②多核巨组织细胞:胞体大,外形不规则,浆浅蓝,多无颗粒,3-6个核仁;③淋巴样组织细胞:大小外形似淋巴细胞,浆浅或灰蓝,核偏侧,染色质细,核仁少见;④单核样组织细胞:形态似单核,但染色质粗,颗粒较单核明显;⑤吞噬性组织细胞:胞体很大,单核或双核,染色质松,可见核仁,胞质中有吞噬的红细胞、血小板及中性粒细胞。异常组织细胞及(或)多核巨组织细胞是诊断的细胞学主要依据。

注意:1)恶性组织细胞病临床及实验室诊断均较困难,极难与恶性淋巴瘤(尤其是T细胞淋巴瘤)、噬血细胞综合征鉴别,须紧密结合临床病史及病情发展以及实验室结果综合判断,须注重多次多部位的骨髓穿刺检查;2)以下特殊检查可帮助鉴别:异常组织细胞酸性磷酸酶及非特异性酯酶阳性,分别被酒石酸和氟化钠抑制;异常组织细胞表现CD68+、CD30(Ki-1)—,但无T或B细胞表型;中性粒细胞碱磷酶阴性或积分低,可与反应性组织细胞增多症鉴别。
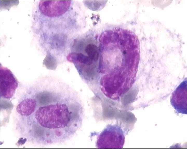
4、噬血细胞综合征
临床表现:以持续高热为主要表现,伴进行性贫血;
体征:贫血、肝脾淋巴结肿大、黄疸及皮疹;
血象:多为正细胞正色素性贫血;
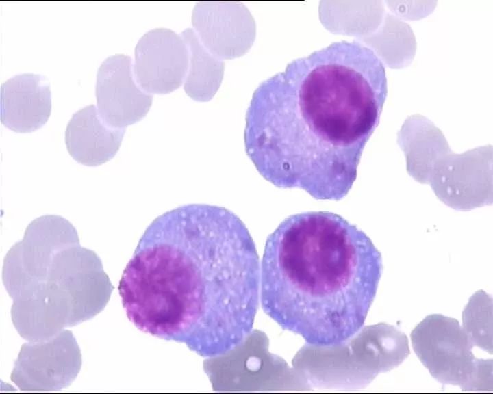
骨髓象:早期可能仅为反应性组织细胞增生,无吞噬现象;吞噬性组织细胞为该病典型骨髓象特点,多少不一,以吞噬红细胞为主,也吞噬血小板及有核细胞;既往将骨髓噬血细胞≥2%做为诊断标准,而部分患者仍较难发现但临床及其它实验检查符合,因此需要多次多部位骨穿或考虑从其它器官获得标本;少数患者骨髓中伴大颗粒状淋巴细胞,胞体延长如马尾松或松粒状,须与T淋巴细胞白血病或T淋巴瘤鉴别。

“吞噬细胞”图片
注意:1)2岁以前发病的多考虑家族性,8岁后多为继发性(微生物病毒感染;风湿性疾病;恶性疾病如肿瘤相关性或淋巴瘤相关性);2)该病亦易与淋巴瘤及恶组混淆,其它实验室检查可帮助诊断:甘油三酯≥3mmol/L(在青少年患者中尤其有意义);纤维蛋白原<1.5g/L;血清铁蛋白≥500μg/L;血浆可溶性CD25≥2400U/L;NK细胞活性减低或缺失;除骨髓外,中枢或淋巴结中噬血细胞增生
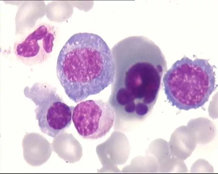
5、多发性骨髓瘤
临床表现:贫血、感染、骨痛伴肾功能衰竭及高钙血症的相关症状;
体征:贫血、骨痛或活动障碍;
血象:多为正细胞正色素性贫血,外周血缗钱状排列;
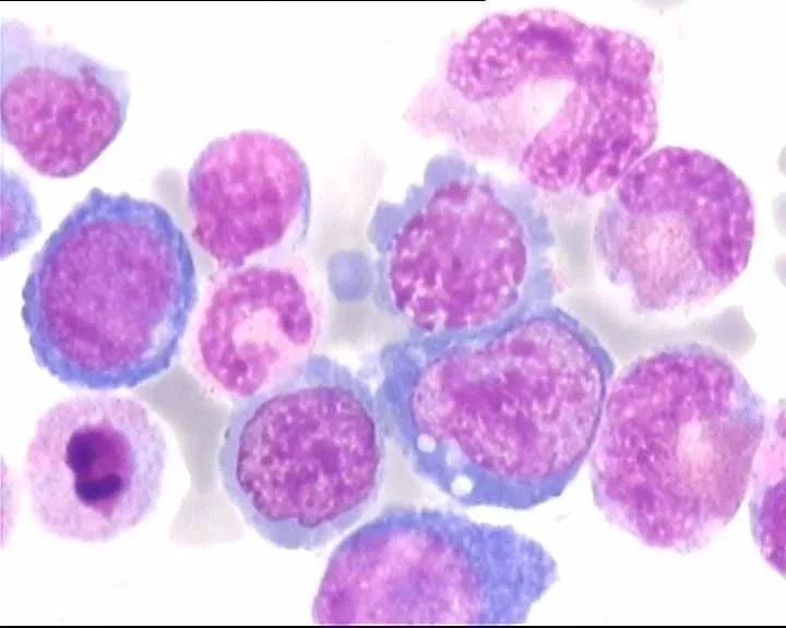
骨髓象:增生活跃以上,浆细胞异常增生,骨髓瘤细胞15%以上。

异常浆细胞/红细胞呈“缗钱状”
注意:该疾病诊断较易,其血清和尿液蛋白电泳有典型的窄底高峰的M蛋白带(峰高∶基底宽>2);免疫电泳可发现单克隆免疫球蛋白;但少数患者瘤细胞呈灶性分布,需多部位穿刺。
6、再生障碍性贫血
临床表现:贫血、感染、出血;
体征:贫血貌、皮肤出血征等;
血象:多为正细胞正色素性贫血,但目前大细胞贫血表现的再障临床亦不少见;网织红细胞比例及绝对值均低;
骨髓象:重型再障增生低下或重度低下,三系造血细胞明显减少;非造血细胞如浆细胞、淋巴细胞以及成骨细胞等易见;非重型再障至少一个部位增生不良,既使增生活跃,淋巴细胞亦相对增多,红系增生以中晚幼红为主,巨核细胞明显减少。骨髓活检示非造血细胞如脂肪细胞增加。

正常骨髓象 再障骨髓象(“一片荒凉”)
注意:1)诊断再障如不能确定时应多部位包括胸骨骨髓穿刺,并行骨髓活检;2)外周血二系或三系减少,骨髓巨核细胞少的患者应高度警惕再障;3)须注意与低增生型的急性淋巴细胞白血病鉴别。
7.巨幼细胞贫血
临床表现:贫血、纳差及其它消化道症状,部分有感染及出血征;
体征:贫血貌、镜面舌、牛肉舌等;脊髓后侧束及周围神经病变;
血象:大细胞性贫血,网织红细胞低,中性粒细胞核分叶过多(5叶>5%,6叶>1%);
骨髓象:增生明显活跃,巨幼红细胞生成,>10%,粒系巨幼变,核质疏松肿胀;巨核细胞巨幼变,核分叶多。

舌粘膜萎缩(“镜面舌”) 舌面粗糙(“牛肉舌”)

“核老浆幼”
注意:1)巨幼贫系叶酸或B12缺乏所致,恶性贫血是由于内因子缺乏导致B12缺乏的巨幼贫2)该病应注意与AML-M6鉴别:白细胞免疫分型、糖原染色,分子生物学及遗传学检测。
8、骨髓纤维化
临床表现:贫血、出血为主要表现,可伴感染;
体征:贫血、出血征;脾大为主要特点,可伴肝脏及淋巴结的肿大;
血象:正细胞性贫血,网织红细胞低;可见幼稚粒细胞和幼稚红细胞(幼粒幼红现象);中性粒细胞碱性磷酸酶阳性率及积分增加;
骨髓象:骨穿多“干抽”(多次多部位穿刺均抽不出骨髓),且骨质异常坚硬,穿刺困难;骨髓活检示纤维组织明显增生,网硬蛋白增加而造血细胞明显减少。

注意:1)骨纤患者外周血中性粒细胞碱性磷酸酶多阳性率或积分增高;2)骨纤为骨髓增生性疾病的一种主要类型,建议积极行包括JAK2V617F及BCR/ABL融合基因检测。
9、感染所致的全血细胞减少
临床表现:多有发热,伴原发病相应表现;
体征:原发病改变;
血象:伤寒患者嗜酸性粒细胞减少或缺如,中性粒细胞呈“左移”(中性杆状核粒细胞增加);多数患者有随原发病的加重血象进行下降导致全血细胞减少的过程;随原发病的好转血象逐渐好转;
骨髓象:增生减低或活跃,粒系“成熟受阻”,晚幼粒及杆状粒比例增加,中性粒细胞胞浆颗粒明显增多增粗,表现为“中毒”现象;少数也表现为颗粒的明显减少。
注意:感染的外周血表现多为中性粒细胞比例或绝对值的增高;但应有重症感染可能也表现为全血细胞减少的意识;外周血中性粒细胞碱性磷酸酶阳性率或积分增高。
10、免疫相关性血细胞减少症
临床表现:贫血、感染及出血征;
体征:贫血征,或伴有免疫性疾病原发病改变;
血象:多为正细胞或大细胞性贫血,网织红细胞比例正常或增高,可有幼红幼粒细胞;
骨髓象:多增生活跃或明显活跃,少数减低或明显减低;红系比例增高,见多核红、点彩红、核分裂象及豪周氏小体;部分可见红系造血岛和嗜血现象;粒系比例不定,可见核左移及核浆发育不平衡和颗粒增多现象;巨核细胞多正常或增多,也有减少;
注意:此病极易与再障、MDS混淆,诊断较棘手,须结合临床诊断;有条件者行骨髓细胞自身抗体检查,骨髓淋巴细胞(尤其是CD5+的B淋巴细胞)分群检测;必要时激素诊断性治疗。
好啦,以上10种疾病的特点你Get到了,以后咱们对全血细胞减少疾病的鉴别就不会摸不着头脑了,当然如文章开头所述,导致全血细胞减少的疾病还有很多,比如我们比较常见的肝硬化、脾功能亢进、骨髓转移瘤等等,所以我们在临床工作中诊断或鉴别疾病时要仔细问诊、详细体检、辅以检查、检验,综合分析,这样才能明确诊断、精准治疗。
参考文献:
[1]刘文,吴侠,李峰敏, 等.全血细胞减少的病因诊断及治疗[J].中国全科医学,2011,(17):1961-1963.
[2]方悦之,倪军,王红, 等.270例全血细胞减少患者骨髓形态学及外周血检查结果分析[J].中国实验诊断学,2017,(5):795-799.
- END -