作者:湖南省怀化市通道侗族自治县民族中医医院 功能检查科 杨小娟
患者女,32岁,腹痛腹胀5天,加重半天。
门诊就诊。自述肠胃不适,因为上个月刚来过月经,且夫妻同房后服用避孕药,否认怀孕。门诊开B超行子宫附件盆腔检查。
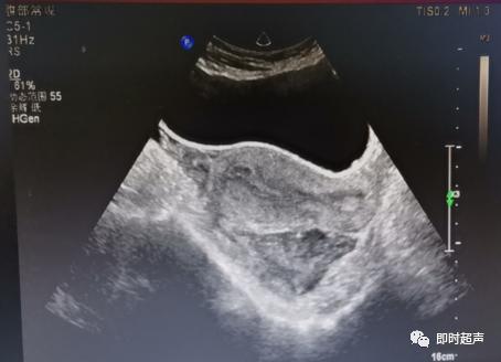
超声下腹腔大量液性暗区,扫查发现左侧附件区一孕囊样回声,其内可见似胚芽组织,CDFI:未见明显血流信号,考虑:1.左侧附件区异位妊娠2.盆腔大量液性暗区,性质待定。建议HCG检查。
血压120/80mmHg,插导尿管,查尿HCG(+),确定怀孕。随后完善各项检查,行急诊开腹手术,发现左侧输卵管壶腹部一大小约29×35mm包块,与B超数据相吻合。确定盆腔积液为大量血液,量约1800ml。患者各项生命体征平稳,转危为安。



亲爱的朋友们,你们身边是否也有过类似的情况,这种宫外孕真的是让人想不到,病人是以腹胀腹痛肠管不舒服来就诊的,挂号挂的不是妇产科,认为自己没有停经史,而且同房后吃过避孕药,怎么想都没想到会是怀孕了而且是大出血型致命的宫外孕。
B超医生温馨提醒,育龄妇女有*生活性**,如腹痛腹胀,首先要排除是否有宫外孕,不一定停经,有些来的是“假月经”,是受精卵着床所出少量血,不要误以为是月经而掉以轻心。
妇女急腹症的首选挂号科室为妇产科,如近期没有流产史,阴道无流血,请直接选经阴道B超,那样探头看得更深,更清晰,且直接为病人节省宝贵的时间,对于这种急腹症的患者,时间就是生命。