
一、脑裂畸形
脑裂畸形是一种罕见的神经元移行异常所致的先天性颅脑发育畸形, 以横跨大脑半球的脑裂为特征性改变,发生率为1.48/10万~1/7万。
脑裂畸形主要的病理变化是大脑半球内出现横行裂隙, 外侧端与软脑膜相连, 内侧端与侧脑室相连, 形成软脑膜-室管膜缝。可为单侧或双侧。根据裂隙的分离程度和受累区域大小分为两种类型两型。Ⅰ型为融合型或闭合型,特点为由1条融合的裂隙组成, 裂隙两侧的灰质层相贴或融合, 裂隙中间不含脑脊液;Ⅱ型为分离型或开放型特点为较大裂隙与脑室相通, 内含脑脊液, 受累的大脑半球脑实质可缺如, 严重者呈空洞样与脑室相通伴脑积水。
(一)超声检查
脑裂畸形在中期妊娠以前超声显像检查多无异常发现,有合并畸形的多于产前检查显示,在2012年以前没有20周以前获得诊断的报道。
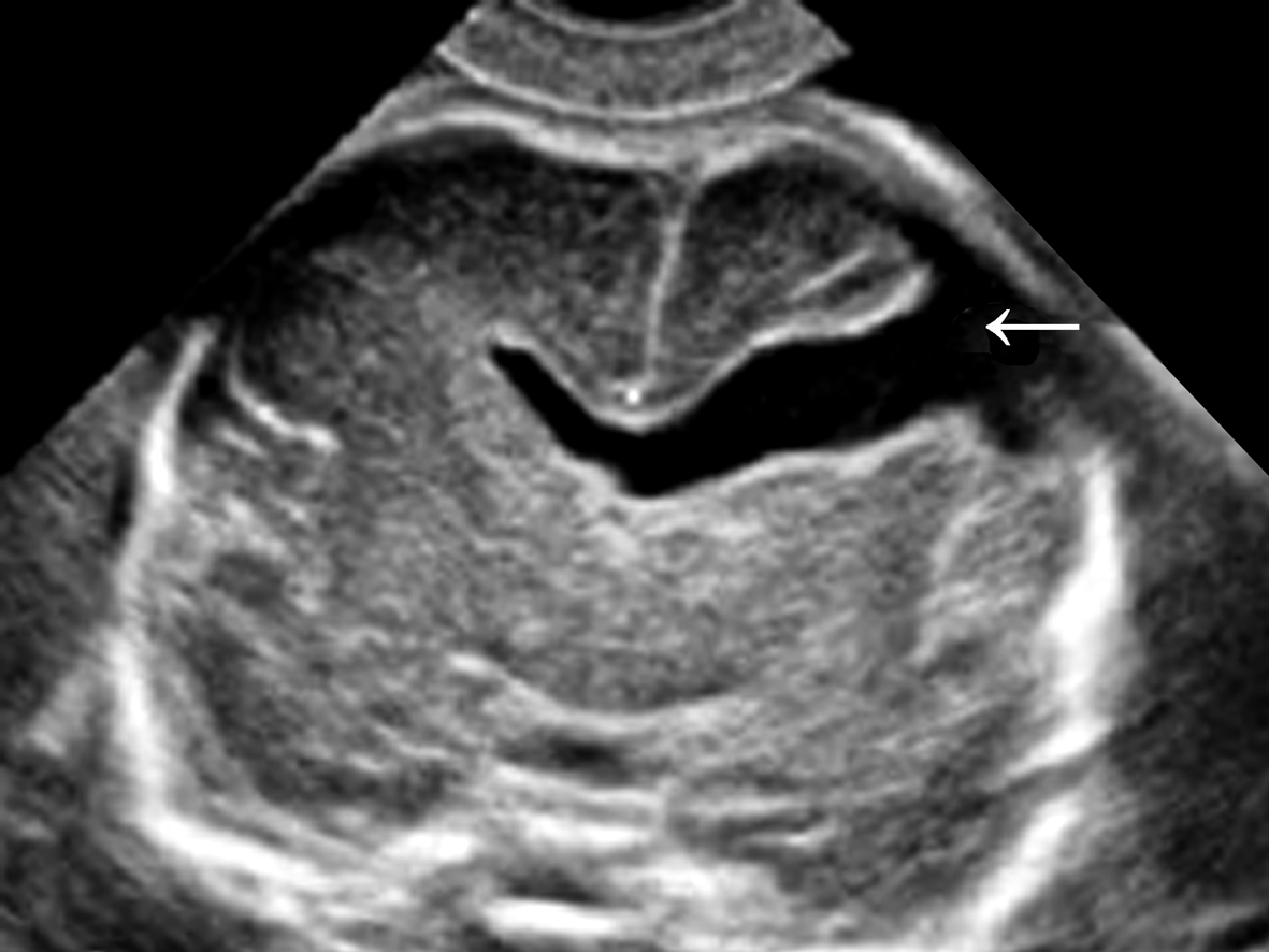
Ⅰ型超声容易漏诊,有时仅显示为脑实质内带状强回声(图1)。小的Ⅱ型脑裂畸形不仔细观察也容易漏诊,超声特有的“混响”伪像使得小裂隙模糊不清晰而漏诊。典型的Ⅱ型脑裂畸形表现为充满脑脊液的从大脑表面到脑室系统的裂隙(图2),裂开处的无回声与侧脑室相通,或者与蛛网膜下腔相通。裂开的表面有灰质覆盖,回声较强。可对称也可非对称,单侧或者双侧裂开。脑裂发生的部位不同,对颅内组织结构的影响不同,受影响的结构常常有透明隔不显示、脑室扩张、多小脑回畸形、胼胝体缺失等。三维超声检查可以通过连续的断面和三维重建追踪显示裂隙的走形和连接关系,有利于对Ⅱ型脑裂畸形的诊断。

图1脑裂畸形(A:Ⅰ型脑裂畸形;B:Ⅰ、Ⅱ型脑裂畸形共存)

图2Ⅱ型脑裂畸形声像图
脑裂畸形伴发的结构异常多与神经组织的移行异常及血管中断序列有关。可以见到的畸形有NTDs、Dandy-Walker畸形、小脑发育不全、小脑延髓池增宽、腹裂、面裂、透明隔缺失等。
(二)鉴别诊断
需要与Ⅱ型脑裂畸形鉴别的主要包括无叶全前脑、脑贯通囊肿、蛛网膜囊肿、脑积水等。
神经元的移行异常除形成脑裂畸形外,还可引起其他异常,包括脑回缺如、脑回减少(无脑回)、小脑回增多、单侧巨脑、灰质异位等。在移行过程中缺血、畸形等可导致神经组织不能到达目的部位外,遗传因素也可能是更重要的因素。
神经系统的超声显像检查在晚期妊娠中可以显示大脑沟回回声和裂隙回声,对典型的病变可能在产前有所提示,多数需要再通过MRI检查做出诊断。
二、颅内出血
胎儿颅内出血是指发生在14孕周至分娩期间由于缺血、血栓引起出血而形成的胎儿颅脑损伤,也有人称之为胎儿脑卒中。发生率尚不清楚。母亲及胎儿因素均可引起胎儿颅内出血,如孕妇先兆子痫、糖尿病性酮症酸中毒、血小板减少性紫癜、服用抗凝药物等,胎儿常见因素包括IUGR、凝血因子异常、病毒感染、TTTS等,其他还可见于胎盘出血、胎盘血栓、胎盘早剥;还有一些不明原因的出血。
(一)超声检查
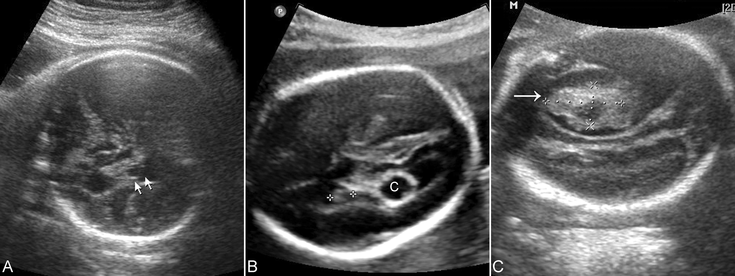
不同出血部位、出血量及不同出血阶段,颅内出血的声像图表现有很大差异。颅内出血1周内,出血区呈高回声,回声均匀; 出血1~2周后,出血区部分液化吸收呈不均匀混合性回声,边缘回声增强,内部可呈低回声或无回声; 出血 1个月后,出血区完全液化呈囊性无回声区(图3),有时可见不规则条索样强回声,为出血吸收后残存机化的纤维状物; 出血3个月后,出血量少的区域血块可消失或机化,脑部结构恢复正常。
根据出血部位不同,可以将出血分为幕上出血、幕下出血和硬膜下出血;根据出血程度不同,可以将出血分为四级:仅限于室管膜下基质的出血为Ⅰ级,Ⅱ级出血系指明确的脑室内出血,范围≤50%(一侧侧脑室),无脑室扩张(侧脑室宽度<15mm);脑室内出血范围>50%(一侧侧脑室)或累及两侧侧脑室、伴脑室扩张(侧脑室宽度≥15mm)时为Ⅲ级;最严重的Ⅳ级出血为Ⅰ~Ⅲ级颅内出血伴脑室周围实质内大范围出血(图3)。

图18-41胎儿颅内出血声像图
(二)鉴别诊断
1.孔洞脑 先天性孔洞脑畸形的定义为脑实质内出现囊腔,可以是单纯性囊肿,有时囊腔与脑室系统或蛛网膜下腔相通,后者可能与颅内出血有关而形成假性囊肿。真性囊肿可以是单侧或双侧,或多发,双侧者可能对称;假性囊肿多为一侧病变。多数病变尤其是病变较大时难以做出鉴别诊断。脑脊液循环常受到影响而出现脑积水。有研究者认为积水性无脑畸形是假性脑室性囊肿的极端类型。
2.其他病变 需要与胎儿颅内出血鉴别的还有Galen静脉瘤、颅内肿瘤出血等。
三、头颅大小异常
(一)小头
胎头生物学测量小于同孕龄儿时称为小头。一般认为,除很少部分单纯性小头外,胎头过小可能与颅内脑实质的发育异常和脑细胞减少有关。由于诊断小头畸形尚无统一标准,其发生率难以统计。在排除无脑、脑膨出等畸形引起的小头畸形、以头围低于相同性别同龄组2~3个标准差或以上作为诊断标准,挪威、英国、以色列和日本监测的围生儿小头畸形的发生率分别为0.61/万、0.76/万、0.77/万和1.15/万,我国发生率为0.63/万。
产前超声显像检查胎头的生物学测量是评估胎儿发育、计算孕龄的必需方法。很多研究者对产前超声检查胎头测量值小于同孕龄值的2个和3个标准差进行比较,发现当头围小于正常参考值但不超过3个标准差、不伴有其他结构异常时,与出生后不良结局没有关系,智力也没有异常。因此,以低于3个标准差作为小头畸形的诊断标准已成共识。小头畸形的典型特征是头颅和面部比例失调。前额倾斜,大脑偏小,两侧大脑半球受影响的程度大于间脑及后颅窝结构。脑回的畸形很常见,包括巨脑回、小脑回和无脑回。脑室可能扩大。小头畸形还常见于空洞脑、小脑回和全前脑。但在做出小头畸形诊断时还要确定孕龄和连续的动态检查,如果胎头发育速度与间隔的时间一致,需要考虑有无排卵、受孕日期的变化;单纯胎儿头围缩小而不伴有颅内其他结构的异常时,小头畸形的可能性比较小;匀称型宫内发育受限也会显示胎儿头颅测量值小于正常参考值。
为减少单纯以头颅测量诊断小头畸形带来的困惑,有学者建议通过多测量参数的比较以提高小头畸形诊断的准确性,常用的对比指标包括头围/腹围、股骨/双顶径等。尽管多参数的比较测量有一定的优越性,但还是不能达到令医生和孕妇满意的要求。
引起小头畸形的因素包括遗传性(染色体畸变、单基因缺陷等)、环境(产前感染、放射性物质、药物、酒精、苯*酮丙**尿症)等;寨卡病毒感染也可引起胎儿或新生儿的小头畸形。部分小头畸形可能是综合征的组成部分,如Coffin-Sins 综合征、DeLange综合征、Johanson-Blizzard综合征、Langer-Giedion综合征、Rubenstein-Taybi综合征、Williams综合征等。
(二)巨颅
胎儿头围超过正常的第98百分位或2个标准差时为胎儿巨颅。巨颅可以是单纯的头颅增大,即所谓的良性巨颅或原发性巨颅,也可见于病理性异常如脑积水、颅内肿瘤等结构性异常,有研究者称之为综合征性巨颅。Petersson等在144273有产前头围检查记录的胎儿资料中发现了732例巨颅,发生率为0.51%。
常见的良性巨颅有明显的家族性,属于常染色体显性遗传。尽管称之为良性巨颅,但统计发现在智障儿童和自闭症儿童中,巨颅的发生率较正常头颅儿童明显增加。
超声显像检查一般要在晚期妊娠中通过胎头的测量获得诊断。同小头畸形的诊断一样也要注意核对孕龄及连续动态检查,并需要注意排除颅内外结构性异常及孕妇糖尿病的存在。