许多朋友发送照片询问有关面部的信息:我的嘴很凸,我的脸歪了,我需要进行正颌手术吗?
但是面对面看照片,显然是牙齿的问题,不需要矫正手术!实际上,许多朋友无法分辨他们是“骨性不对称”还是“牙性不对称”。
今天,我将为您提供一些流行科学,并教您如何判断! ! !
骨性不对称的表现
01 偏颌
下颌未对准主要是指下颌的左右两侧不对称,有些人的下巴也有偏差。在严重的情况下,它将导致脸部两侧严重不对称,影响嘴巴和发音。

牙齿畸形,凸嘴该如何矫正?#雅悦齿科#
她的牙齿没有上下对齐
下巴在左边,脸部不对称
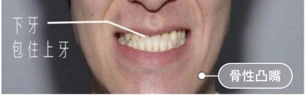
02 地包天
下颌骨的前牙移至上颌骨的前牙外侧。除美学问题外,它还会引起功能障碍,例如咀嚼和发音。需要进行正颌手术来治疗因异常颌骨颚引起的交叉。

牙齿畸形,凸嘴该如何矫正?#雅悦齿科#
03 龅牙
牙可分为牙齿骨和骨骼牙。咬合牙齿时,从上前牙的切齿端到下前牙的唇面的最大水平距离超过3mm,上牙突出。大部分的龅牙小伙伴可以正畸治疗解决,严重的骨性则需要做正颌矫正。
牙齿不对称的表现
01牙列拥挤

牙齿畸形,凸嘴该如何矫正?#雅悦齿科#
例如,三人座车必须坐在五人座车的后座上,每个人只能以交错的方式坐着。牙齿凌乱而拥挤。
还有的人因为是智齿没有长好,挤压前面的牙齿,也会将牙齿挤歪。
02 对刃
正常人的牙齿在上门牙和下门牙之间为2mm。如果前牙的切牙端(即切牙冠的咬合部分)与切牙端接触并刚接触,则为对刀。
03 牙列稀疏

牙齿畸形,凸嘴该如何矫正?#雅悦齿科#
牙弓太大,牙齿太小或太少(出生时牙齿缺失或一天脱落),导致太松和散乱。最直观的表现是牙齿之间的大间隙。
大多数人属于牙齿不对称,只有严重的骨骼不对称需要正颌手术。总之,正颌手术一定要谨慎!
那么,现在拿出镜子,看看上面的参考图片,您属于骨骼不对称还是牙齿不对称?
如果您仍然不知道是否需要更正,可以去医院请医生为您看一下〜
如果觉得这篇文章不错,就请收藏或分享给好友吧。添加雅悦齿科为好友,学习更多爱牙护齿科学方法。公众号:yyck2001