有产后的女性朋友总有疑问:为什么要做盆底肌康复?还要花上好几千甚至上万元,真有必要做吗?

产后的女性很多不理解
有很多小伙伴开玩笑的时候喜欢说“笑尿了”,我们今天就来聊一聊这个问题。
您身边是否有这样的女性,咳嗽、打喷嚏、跳绳等动作时就会出现漏尿的现很多人都误以为生完孩子就这样,或者年龄大了都这样,有些人则偷偷用起了护垫或纸尿裤……,其实产后妈妈极易出现尿*禁失**、子宫脱垂、阴道松弛、*生活性**不和谐等盆底功能障碍性疾病。

作为一名超声科医生,聪哥医生以前简单的认为检查出问题后,产妇们就会选择去康复,但是,很大一部分女性压根就不理解和不相信,甚至认为没必要去康复。
我们先从一个临床病例来跟大家讲一讲这个问题,如果您是一位正处于漏尿、夫妻生活受影响的女性,您可能会在我介绍的例子当中找到自己的影子。
病例
这是一个真实的病例!
病史:女性,50岁,孕4产3,现在已停经一年,详细询问病史,自述过去的25年里,夫妻生活并不如意,搬东西或大笑就会出现漏尿,症状第一胎产后就开始出现,当时并不在意,一直没有处理,最近一年发现子宫下垂、直肠膨出,影响到正常的生活。
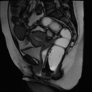
超声影像:
1.尿道漏斗形:指静息状态下和最大Valsalva动作时尿道倾斜角的差值。

尿道漏斗形
2.子宫脱垂。目前超声对子宫脱垂分度尚无统一定论。
3.直肠膨出:又称为阴道后壁膨出,亦称为直肠阴道膨出或者直肠阴道疝。该膨出物与肛管约呈90度夹角。

分析原因:
1.问题要追溯到分娩时,由于过去女性及妇产科医生对盆底损伤认识和重视不够。
2.中国女性坐月子观念根深蒂固许多产妇不愿过早训练。
3.另外由于产后还有照顾小孩太劳累,从而没有精力去配合康复治疗,也不愿意花钱。
4.由于需要1-3个月才能看出效果,早期很多女性不能坚持。

总结:
很多人想不到,漏尿、子宫脱垂很可能是几十年前分娩损伤引发的,产后40天做的训练盆底功能康复训练,目的是为了防止她们在25年后出现尿*禁失**。很多年轻妈妈重视产后修身,事实上,产后修复盆底肌更为重要。
压力性尿*禁失**
中国妇女尿*禁失**总体发生率约30.6%。
约20-30%的女性在妊娠期即会发生不同程度的尿*禁失**。
约40%的绝经期女性患有不同程度的尿*禁失**等排尿问题。

盆腔脏器脱垂
世界卫生协会(WHI)研究显示:
子宫脱垂的发生率为14.2%。
膀胱膨出的发生率为34.3%。
直肠膨出的发生率为18.6%。

该怎么做
产后42天到6个月是盆底康复的黄金期,很多医生都建议在这个时期做个盆底筛查
1:产后半年内
进行盆底康复的黄金时机;
2:产后半年至一年以内
属于盆底肌恢复的理想时期;
3:产后一年半至三年内
属于产后女性的恢复末期。

该如何去做
生活方式干预:
1.戒烟限酒,减少饮用含有咖啡因的饮品
2.不要拎重物,减少或不做增加腹压的活动。
3.肥胖的女性必须减肥!
盆底肌训练:
通过主动锻炼盆底肌群来提高盆底张力,这种方法叫做凯格尔运动。

- 盆底肌收缩(收缩肛门、阴道的动作),
- 每次收紧5~10秒,
- 呼气时放松10秒后再收缩,
- 连续20~30分钟,每天2~3次。
- 6-8周为1个疗程4-6周患者有改善
- 3个月有明显效果
总结
关于女性盆底康复的这篇文章,聪医生已经想写很久了,但是因为需要夸学科的比较多,部分需要查找相关文献,今天终于写了这么一篇文章,就是为了能真正的帮助女性朋友们理解自己为什么需要做盆底康复问题,建议产后妈妈们还需要听从医生的专业指导,不能道听途说,放弃最好的黄金时期,选择正确正规的医疗机构,决绝去不规范的机构浪费不必要的金钱。
希望女性朋友们真正认识到身体变化的深层次的原因,不要只是盲目的去关注片面的问题,要在解决带娃问题的同时,也要积极去锻炼康复,希望对于女性朋友们有一些帮助。

我是坚持用简单语言解释复杂疾病知识的广东聪哥医生,敲字不易,如果您赞同我的观点,请帮忙一键三连吧(点个关注、点个赞、点个分享),如果您或者是您的家人朋友,也有女性相关方面的困扰请把这篇文章转发给需要的她们吧,谢谢了!