怀孕生子是一件喜事
如果怀的还是多胞胎
那更是喜上加喜

在问答平台上
关于“怀上多胞胎,是种什么体验?”
这个问题
得到了
3807691 条结果


看到这里,小伙伴是不是觉得怀上多胞胎都是喜事?
如果几个宝宝乖乖地待在妈妈的子宫内,当然是喜事。
但如果 有些在宫内,有些在宫外 ,那就比较糟心了!

孕妈突发腹痛
一查竟是宫内宫外合并妊娠
龚女士现年31岁,温州泰顺人。
龚女士患有“多囊卵巢综合征”,为了求子,几个月前,她在某医院进行了促卵泡发育治疗,最终顺利受孕。
今年9月初,怀孕两个多月的龚女士突发下腹部疼痛,并伴有恶心、呕吐。

这可把龚女士和家人吓坏了。家人赶紧把龚女士送到龙湾一医就诊。
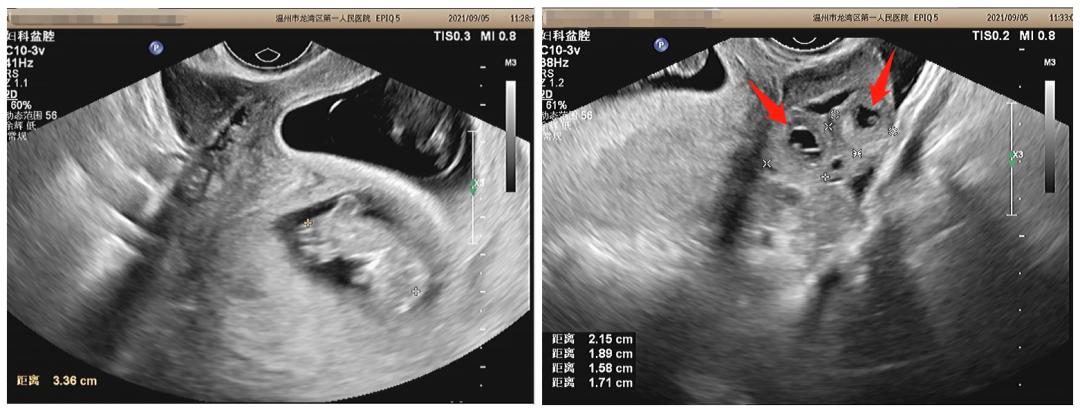
经过B超检查发现,龚女士的 子宫内有两个胚胎,子宫外输卵管的部位,还有两个胚胎。

龚女士B超检查单——
红色箭头处便是跑到宫外的“两个淘气宝宝”
“这是什么情况?产检医生明明说我怀的是双胞胎,怎么变成四胞胎了!”龚女士和家人一头雾水。
接诊的龙湾一医妇产科副主任医师张淑琼说,这叫 宫内妊娠合并宫外妊娠(复合妊娠) ,通俗点说,就是 宫腔内正常妊娠和宫外孕同时存在。
微创治疗 既解决了宫外孕
又保住了宫内宝宝
由于龚女士是宫内外复合妊娠,而且宫外孕已经发生破裂,情况危急, 如果不及时手术治疗,很可能因为失血性休克而危及生命 。
做手术会不会影响子宫内的宝宝呢?龚女士和家人万分焦急,不知怎么办。
张淑琼说, 宫外孕手术并不会涉及到宫腔,因此对宫内胎儿的存活率无明显影响。
经过充分准备,张淑琼和团队对龚女士进行了腹腔镜微创手术。
在龚女士的腹部开三个小孔,将发生宫外孕的右侧输卵管切除,而宫内的胚胎则保留,及时阻止了一系列危险情况的发生。
手术过程顺利,术后第四天,B超检查显示,宫内宝宝没有受到损伤。
说到这
是不是有人很好奇
为什么会发生复合妊娠呢?

其实, 发生复合妊娠的高危因素和发生宫外孕的高危因素相似 :如输卵管疾病史、盆腔手术或盆腔炎、多次流产等。
复合妊娠在自然受孕的女性当中是很少见的,发病率约为 1/30000, 但随着 辅助生殖技术的广泛应用 , 复合妊娠的发生率正逐年上升。


如何避免发生复合妊娠?
1. 在胚胎移植时,尽量减少胚胎移植数目。
2. 接受促排卵治疗的不孕患者,确定妊娠后,如出现出血或腹痛等症状及时就诊,不要盲目保胎。
3. 不要盲目促排卵,应该在生殖科医生的指导下用药。
4. 患者有发生宫外孕的基础问题时,应尽量避免宫腔操作的发生:如人工流产,诊刮等手术。
5. 如有盆腔炎性疾病、阴道炎,需及时治疗,避免炎症的蔓延。
6. 加强自身的锻炼,增强免疫力,提高身体素质。
7. 女性备孕前可以做常规的孕前检查;如既往有异位妊娠或盆腔慢性炎症等病史的女性,可以做针对性的检查,了解输卵管是否通畅,如输卵管造影或通液等。
如何尽早发现复合妊娠?
复合妊娠如果不及时发现,容易引起宫外孕破裂导致大出血,还可导致宫内胎儿流产等不良结局,所以 早发现、早诊断 非常重要。
由于宫内妊娠的干扰,导致 复合妊娠诊断较为困难 ,容易发生误诊或漏诊。这就需要 阴道超声检查 , 帮助诊断 。
一般建议孕妇在 妊娠的6-7周 做阴道超声检查,特别是胚胎移植或促排卵后的妊娠妇女,需要提供病史给超声科医生。
如果阴道超声检查后,发现宫内有孕囊,还需要观察附件部位有没有可疑孕囊,尽早发现宫内外合并妊娠。
最后
希望所有准爸准妈
都能在充足的准备下
迎来健康宝宝!
