牙齿是人体中最坚硬的器官,负责咀嚼食物还能起到保护面部外形和辅助发音等作用,牙齿分为:切牙、尖牙、前磨牙、磨牙四种,人的一生要萌出两次牙。
随着年龄逐渐增长,牙齿根部会逐渐松弛,也会出现牙齿掉落情况,很多老人为了品尝美味食物就直接把牙齿摘掉,直接佩戴假牙。
如今我们经常发现,有些小孩子牙齿看上去并不是很理想,甚至早早就出现龋齿。如果没有保护好牙齿,以后可要遭罪了,甚至会影响口腔健康。

关注口腔健康的人对于牙结石应该非常熟悉,牙结石的形成与多方面因素有关系,但是牙结石对于口腔伤害并不小,一定要认真对待。
为啥会长“牙结石”?
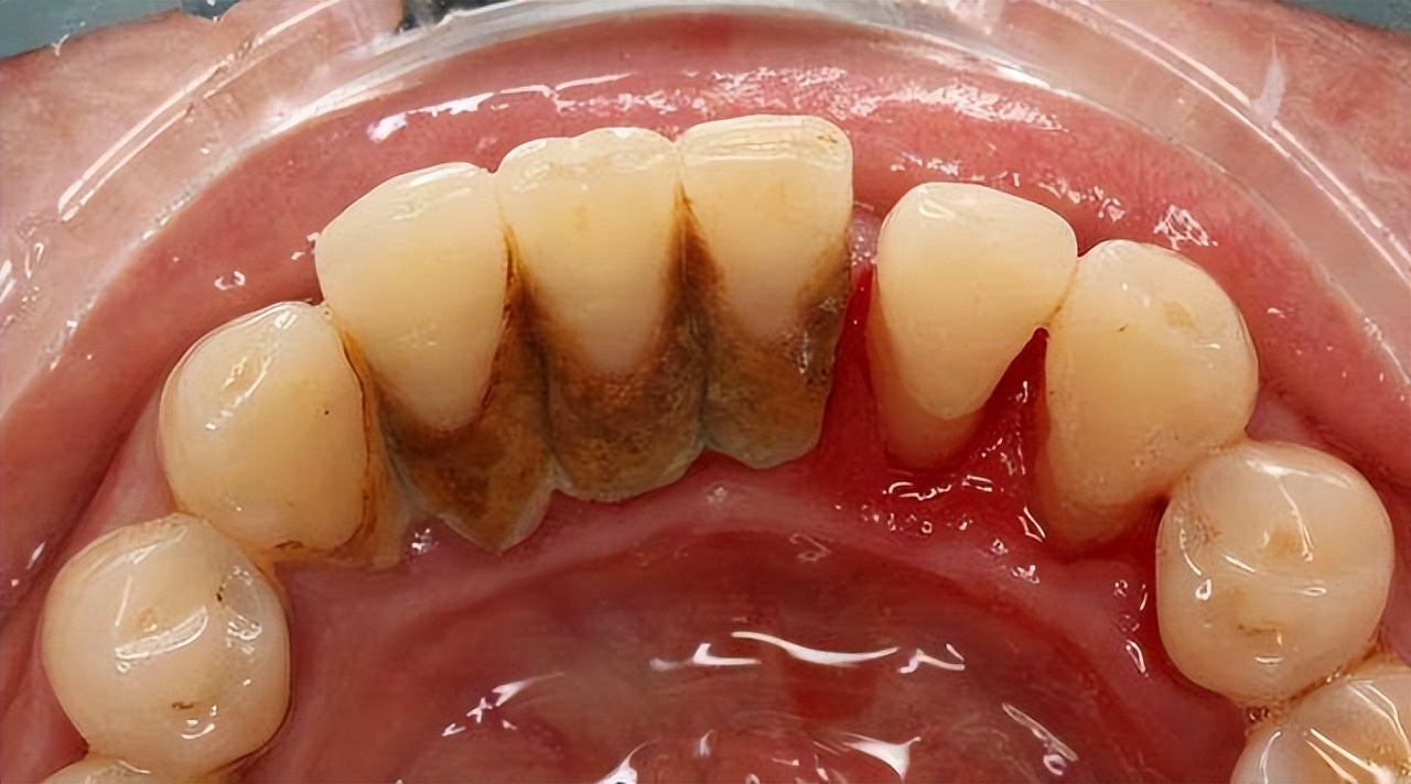
牙结石附着在牙冠或者牙齿的颈部,主要是由食物残渣物,口腔上皮细胞和唾液中的矿物质脱落和脱落形成的钙化矿物质形成。
牙结石颜色是白色或者黄色,如果吸烟会慢慢变成黑色,主要分为上牙龈结构和龈下结石。
上牙龈附着于牙齿的光滑表面,容易脱落,龈下附着于牙齿不齐的牙石,贴近穴位,不易脱落。

研究表明牙结石的形成主要是由于唾液分泌以及饮食习惯和口腔习惯等因素造成的,牙结石的发生要满足两个条件:
一方面是口腔中的酸浓度;另一方面存在的寄生体,一旦这两个条件得到满足,无论如何刷牙,都不能阻止牙结石发证。
如果已经发现形成牙结石,必须尽快去牙科洗牙,因为牙结石会造成牙周炎和其他口腔炎症。
刷牙并不能消除牙结石,因为99%的牙结石是唾液的结晶,依赖于斑块的侵蚀能力,累积在牙齿上。这种衍生物不能用牙膏除去。

牙结石的危害有哪些呢?
①影响美观①
牙结石附着在牙齿表面是已经钙化的硬性沉积物,一般刷牙很难清除,多呈浅黄色,但常常可因饮食、喝茶、吸烟以及药物等因素导致染色加深,对牙齿美观造成了极大的不利影响。
②牙龈出血
牙结石是附着在牙齿表面的硬性斑块,其外形似黄色干石灰块,较坚硬,牙结石容易吸附细菌和毒素,再加上牙结石本身局部刺激很容易导致牙龈出血。

③牙龈溃疡
由于龈下牙石刺激及附着物产生的毒素,可导致牙龈内侧发生溃疡,而且由于牙结石的不断刺激,溃疡面不容易愈合,进而可加重牙龈出血、口臭和牙周感染等情况。
④产生口臭
牙结石容易导致口腔异味,当牙结石堆积到一定厚度之后,可压迫牙龈导致牙龈发炎,造成牙周病,产生口臭。

⑤迫使牙龈组织发生营养障碍
沉积在龈缘或龈沟内的结石,可对牙龈造成持续性的刺激和压迫,使牙龈组织发生局部营养障碍,抗菌能力降低,牙龈易出现炎症、出血、牙龈萎缩,严重时可引发牙周脓肿、牙齿松动、脱落,破坏牙列完整,妨碍咀嚼功能,影响机体健康。
可以直接用手“抠掉”牙结石吗?牙科医生揭晓答案
答案:牙结石是不可以自己抠掉的。
如果直接用手抠牙结石并不会将全部牙结石清除,因为牙结石不仅附着在牙龈内,同时还存在于牙根牙颈部和牙冠上,用手抠掉的牙结石,仅仅是附着在牙冠表面上,存在的其他部位的牙结石是无法用手指抠掉的。

牙结石形成速度非常快,最快的能在刷牙完成后的48小时内形成结石,慢的甚至达到数年之久,想要用手清除牙结石是完全不可能的事情。
用手指抠掉牙结石还容易造成牙龈损伤,因为指甲是非常锋利的,牙龈在多年牙结石伤害下已经非常脆弱和敏感,稍有不慎就会造成牙龈损伤,出血是小事感染就会严重损害口腔健康。
有些人也会用比较锋利的小器械抠掉牙结石,这样的做法更是大错特错,简直就是拿自己牙齿健康开玩笑,最终很可能会导致牙齿表面的牙釉质受到伤害。

我们每天坚持刷牙,对于清除牙结石有一定效果,牙结石刚开始形成时颜色为浅黄色,质地比较软,此时选择正确刷牙方法和正确清洁用品能够消除。
如果牙结石形成时间长,颜色深且较厚,这样的牙结石通过刷牙很难改变。如果是频繁刷牙可能还会损伤牙龈导致口腔炎症,也会加重牙齿的磨损程度。
如何改善牙结石?
增加唾液流量
由于口水可以清洗牙齿表面,所以进食酸性食物可以刺激唾液腺分泌大量唾液,有助于口腔卫生的保持。反之,甜美的食物会产生较少且稠的唾液,容易造成牙结石的沉淀。

进食粗纤维食物
进食大量纤维食物和粗糙的食物有助于减少牙结石的产生,因为牙结石可借助于咀嚼时食物的自动清除作用而除去,牙齿表面若经常有食物清洗,就不会有牙结石的沉淀。
保持口腔卫生
科学的刷牙,在每次餐后三分钟内一定要仔细刷牙,可保持口腔卫生,减少牙结石的产生机会。

及时牙齿矫正
治牙列不齐牙齿拥挤、错位,消除单侧咀嚼的不良习惯,可以减少食物残渣在牙齿中的残留,让所有的牙齿均发挥其咀嚼功能,能够有效减少牙齿缝隙间结石的形成。
定期洗牙
每隔半年到一年请牙医洗牙,尤其是钙化后的牙结石或囊袋深部的食物残渣、牙齿斑或者牙结石,只有靠牙医才能清除干净。

延伸——洗牙粉能把牙洗白吗?
使用洗牙粉可以把牙齿洗白,但有一定的限度,只能改善轻中度的牙齿着色,对于重度牙齿着色的效果不理想,而且需要连续使用多次,时间比较长。
初期使用的效果较好,后期效果较差,牙齿表面是牙釉质,这是白色、透明的,内侧是淡黄色的牙本质,其内是粉红色的牙髓组织,正常牙齿的颜色呈淡黄色,也就是牙本质的颜色。
牙齿出现异常的颜色都是外源性着色导致,使用洗牙粉把牙齿洗白都是靠洗牙粉内的漂白剂成分把着色的牙体组织漂白,对牙齿表浅的着色效果较好,对深部的着色效果比较差。

因为漂白剂渗透不进去无法发挥漂白作用,这些漂白剂对黏膜具有较大的刺激和损伤,操作时一定要小心谨慎,切忌洗牙粉直接接触牙龈及口腔黏膜组织引起软组织灼伤。