临床上,彩超是甲状腺检查的首选方法。有研究显示,彩超对甲状腺良恶性鉴别的准确性可以高达90%以上。
但往往拿到报告单,普通人是不太能看懂的。
其实彩超的工作原理是借助超声波回声来采集信息,就好像是对着大山喊一声,会听到回声,根据回声也可以知道山的远近一样。
给甲状腺做彩超时,甲状腺的组织就是超声波遇到的“山”。
超声波遇到“山”会产生回声,超声仪器接收到这些回声后,进行回声强弱、均匀与否的分析,再成像描述“山”的结构、形态、大小等。

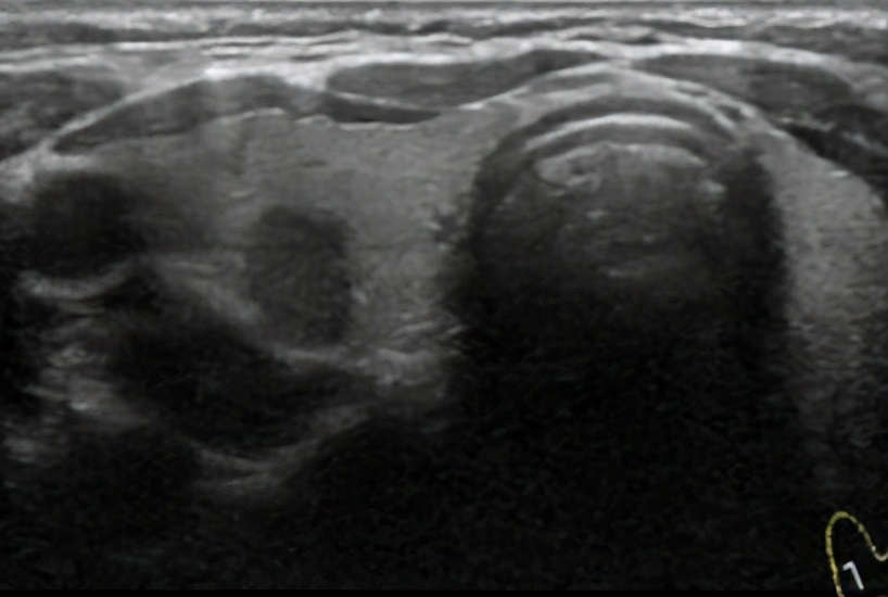
那么彩超的回声征象分别代表什么呢?
等回声: 甲状腺组织是正常的状态,没有液体、也没有实体组织出现,反射回来的会是等回声;
无回声: 遇到的组织有液体,一般反应是没有回声,比如临床上观察到的囊性结节等,一般为良性组织,囊性组织越多,良性概率越高;
低回声: 遇到的组织是实体组织,但没有硬性积集,反应会是低的回声,低回声可见于各种良恶性的结节,但并不是明显的恶性特征;
极低回声: 是一种低于颈前肌肉群的回声,在超声上的显影是颜色最暗的,极低回声通常可以作为明显的恶性特征;
高(强)回声: 如果组织内有实性结节,而且出现了硬性积集,通常表示结节有钙化,反应就会是高回声或强回声;出现钙化会增加恶性的风险,而微钙化是更加明显的恶性特征,但并不是所有的微钙化都代表恶性。
回声只是彩超检查里的一部分内容,判断组织的良恶性不能仅依靠一个指标, 结节的大小、边界、血流、纵横比 都是重要的方面。

担心彩超不准怎么办?
彩超检查因为需要人为判断,所以会和医生的经验、技术水平有关。
如果情况比较复杂,建议找经验丰富一些的专业医生;
如果已经做了检查,但还是比较担心准确性,也可以复查一次,如果两次结果显示都一样,那基本就差不多是准确的了。