有一种舒服,叫做掏耳朵。
那触电般的酥麻感,
用时下流行的网络语来说就是:
好嗨哟,感觉人生已经到达了巅峰。
尤其是从自己耳朵中掏出一大坨,
会有满满的成就感。

很多人因此沉迷于掏耳朵不能自拔,
还觉得掏得越干净越好,
隔三岔五给耳朵“搞卫生”。
其实从医生的角度来看真没必要,
而且经常会有人掏着掏着就出事了……

78岁大伯常掏耳朵,检查结果令他慌了
上周在杭州市中医院耳鼻喉科门诊,一位满头白发的大伯捂着耳朵,满面愁容地走进了诊室。
大伯姓徐,今年78岁。“医生啊,我一个礼拜前,突然出现了右侧脸麻木,嘴角歪向一边。吃饭喝水都会漏出来,是不是面瘫了?”徐大伯愁眉苦脸地说,最近几年来,他右耳几乎听不到了,现在又撞上面瘫了,真是屋漏偏逢雨。
接诊的梅显伟医师赶紧给徐大伯仔细检查。医生发现他面部右侧额纹消失,口角明显向左偏斜,右鼻唇沟变浅,电测听检查提示右耳混合性听力下降。视频耳内窥镜下可见右侧外耳道后壁有棕黑色及白色洋葱皮样新生物附着,梅显伟考虑诊断为外耳道胆脂瘤。

听到医生的诊断,徐大伯顿时慌了神:“怎么好好的耳朵里生了瘤呢?”他马上快速回忆起这几年自己对耳朵曾经做过的那些事:“我平时最爱的就是掏耳朵,平时有空,我就会拿个棉棒或牙签啊,有时候手边有什么顺手的东西,我都会拿来掏一下。”大伯还说这几年自己的右耳经常觉得闷、涨,好像听力也很不好,但只是想到这是老年人的通病,毕竟年纪大了耳朵总是要背的,也就没怎么在意。
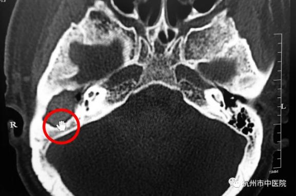
为明确诊断,梅医生又为徐大伯开出了螺旋CT检查,结果显示大伯的右侧外耳道骨壁、乳突区及听小骨骨质均被破坏、吸收,这些症状可能就是胆脂瘤破坏听小骨的传导功能而引发听力下降,又侵犯到面神经引起的面瘫的结果,如果再不及时进行干预,侵犯入脑就会引发生命危险。

近日,医生为徐大伯进行了右侧外耳道成形术、胆脂瘤切除、鼓室成型、肌膜瓣转移等一系列手术治疗,彻底清除了横行在他耳朵里的巨大胆脂瘤,并进行了耳道的修复。大伯恢复得很快,他表示:“今后再也不敢乱掏耳朵了,真的是血淋淋的教训啊。”
无独有偶,
去年一年轻姑娘
也被诊断为外耳道胆脂瘤!
掏不尽的“耳屎”,让姑娘痛苦又尴尬
2019年7月中旬,浙江省人民医院来了位年轻姑娘小林,只见她捂着左耳,愁眉苦脸。
原来,小林近两个月左耳闷闷的,被杭州多家医院诊断为耵聍(俗称耳屎)栓塞,进行过外耳道冲洗等措施,但耳闷症状并未缓解,反而出现了左耳道疼痛的症状并逐渐加重,同时听力也在不断下降。
“蛮漂亮的小姑娘,怎么耳屎多得老跑医院。”自己痛苦不堪,同事们在背后风言风语,这让小林难受又尴尬。
苏立众主任经过详细询问病史后,采用视频耳内镜检查,发现小林的左耳外耳道口肉芽增生,几乎完全堵塞外耳道,清除部分肉芽后进一步检查外耳道有白色豆渣样组织。根据丰富的临床经验,苏立众认为这很可能是外耳道胆脂瘤。没想到,一听是瘤,小林吓得”哎呀”一声轻喊,随即眼泪夺眶而出。

ct片
“你先别哭呀,胆脂瘤并不是真正的肿瘤,可以手术除去的。”苏立众主任忙安慰泪眼婆娑的小林别紧张,并简单介绍此少见疾病的来龙去脉,然后开具了颞骨CT检查。
不出所料,颞骨CT检查显示小林左侧外耳道胆脂瘤,已挤压破坏左侧听骨链,且与左侧颈静脉及面神经管等重要结构关系密切,所以小林疼痛症状明显,左耳听力已有明显的下降。一切明了,小林如释重负。
苏立众评估小林的病情及心情后,表示尽快手术为好。于是,他及主治医师刘越徉,急诊为小林行全麻下视频耳内镜辅助下耳后径路左侧外耳道胆脂瘤切除术,手术彻底将左耳胆脂瘤清除,病理也最终确诊为胆脂瘤。

术前耳道几乎被堵塞
术后,小林耳痛等症状完全缓解。
警惕!外耳道胆脂瘤早期易误诊漏诊
苏立众介绍,外耳道胆脂瘤属于少见病,各年龄段均可发病,中老年人多见,多为单侧发病;临床观察较中耳胆脂瘤少见,约占其1/30~60,10万居民年发病率约为0.15~0.3。
外耳道胆脂瘤并非真正的瘤。它由外耳道皮肤脱屑、胆固醇结晶、上皮包裹等所形成的囊状团块,乍一看,确实有点像耳屎。
常堵塞于耳道骨部。由于胆脂瘤呈膨胀性生长,周围骨质长时间受压、破坏、吸收,导致外耳道扩大。主要危害是对外耳道、中耳乳突及相邻骨质的广泛破坏,引起听力下降,甚至引起颅内外严重并发症,应及时取除。

该病早期一般没有明显不适,后期可出现耳堵塞感、听力下降,若继发了感染,还会出现耳痛、流脓(血)性分泌物,伴特殊臭味等症状。检查时可以见到外耳道内有灰白色或黄色角蛋白碎屑、上皮样物堵塞,表面被多层鳞片状物包裹,外耳道皮肤充血、肿胀、糜烂,可伴有肉芽形成。必要时还可做颞骨CT检查,以确定是否有骨质破坏。
“外耳道胆脂瘤的诊断需要结合患者病史、查体、耳镜和CT检查明确。其临床上表现的外耳道局灶性侵蚀,炎症反应和角化物堆积并不具有特征性。因此早期易误诊漏诊,需要和坏死性外耳道炎、恶性肿瘤、外耳道阻塞性角化病、朗格汉斯巨细胞增多症等相鉴别。”
苏立众说,在治疗上,常可直接器械去除或行外耳道冲洗去除,如病变难以清除则需在全麻内镜或显微镜辅助下手术治疗。
在预防方面,医生建议:
1.平时注意耳部卫生,戒除挖耳等不良习惯。凡有耳部湿疹、耳疖肿、化脓性中耳炎者,应格外注意耳道局部的洁净与干燥,耳痒时不要搔抓,可以用3%硼酸酒精滴耳液涂擦耳道。
2.耳部有阻塞或炎症时切忌水洗。若有污物或痂皮堆积,及时到医院找专科医生取出。
3.夏季是游泳季,外耳道阻塞并外耳道炎症时禁止游泳。此外,耳朵进水后会把耳屎泡涨,堵住耳朵,不及时取出就会出现闷涨感,引起耳鸣、耳痛、听力下降,严重的会引起鼓膜穿孔、中耳炎等。所以建议在游泳前先清理耳屎,以防耵聍栓塞。
耳屎别乱掏,它有三大作用
人体的外耳道软骨部皮肤具有耵聍腺,其淡黄色黏稠的分泌物称“耵聍”,俗称耳屎。当“耳屎”积聚较多时,就会发痒,条件反射,人们就会去掏,但殊不知耳屎也有“特殊功用”,在“保护人体”这个领域也有自己的一席之地:
➤ 抵抗细菌、病毒
耳屎富含油脂,在耳道皮肤表面形成一层酸性膜,赋予外耳道抵抗细菌、病毒侵害的作用
➤ 阻挡异物入侵耳内
耳屎所含的油脂能滋润外耳道皮肤上的细毛,这些茸茸的细毛和富有黏性的耳屎,能阻挡由外界吹进来的尘埃颗粒,挡住昆虫进入外耳道。
当耳朵不小心进水时,耳屎还可以阻挡脏水的侵入,并防止可能引起的感染性疾病如外耳道炎、中耳炎的发生。
➤ 保护鼓膜
耳屎使外耳道空腔稍稍变窄,对传入的声波能起到过滤和缓冲的作用,使鼓膜不致被强声所震伤。
此外,富含油脂的耵聍能使外耳道保持一定的温度和湿度,保证耳道深处的鼓膜不致变干,从而使鼓膜处于最佳运动状态。
日常不需要刻意去掏耳朵
耳屎其实是保护耳朵的防线,潜意识中,大部分人把它当成了人体的废弃物。其实,建议是不要经常掏耳朵。耳屎缓慢地从耳道内移向耳道口,累积到一定程度,通过咀嚼时下颌关节的运动,会不断脱落排出耳朵外面,不用担心堵塞耳道影响听力。
健康的外耳道本身有自洁功能,如果一味去掏,反而可能损伤局部的软组织,引起外耳炎甚至鼓膜部位炎症,影响听力。
此外,经常掏耳朵还可能会引起耳屎的分泌异常。对于耳屎被尘埃、脱屑包裹后形成的比较硬的耵聍,堵塞在外耳道部位时,可能会影响听力,这时候应该去耳鼻喉科让医生帮忙使用特定的器械取出来,建议不要自行掏硬度太强的耳屎。
实在忍不住?这里有一份特别的“挖耳屎”技巧
如果你实在受不了的话,下面的攻略送给你:
第一步:软化耳屎
往耳道里滴入少许干净的双氧水、甘油或者小苏打滴耳液使耳屎软化(任选一种就行,大概浸泡3-5分钟)
第二步:温水冲洗
用橡皮球注射器缓缓缓缓地把温水冲进外耳道,然后让水自己流出来(此时你就可以看见混着耵聍的混合液体了)
第三步: 擦干!擦干!擦干!
冲洗完成后,务必用干净的毛巾或者吹风机将外耳道弄得干干爽爽。
当然最简单靠谱的方法还是,定期去医院挂个号清理,让专业人士解决问题,清理完之后你会“惊喜”地发现——耳朵更灵敏了!世界变得更喧闹了。
为争夺孩子的抚养权
厦门一对同*伴侣性**对簿公堂
一个声称孩子是自己亲生血脉
一个表示孩子由自己怀胎分娩
到底是怎么回事?