
支气管扩张症的患病率随着年龄的增加而增高,在我国,支气管扩张症并不少见,但很多人对这一疾病长期以来缺乏重视。支气管扩张症合并其他肺部疾病的情况也日益突出,随着高分辨率CT(HRCT)的应用,发现在慢性支气管炎或COPD患者中,有大约15%~30%的患者存在支气管扩张,一些重度COPD患者这一比例甚至达半数。今天,小编就跟大家聊一聊关于支气管扩张的几个问题。
-
什么是支气管扩张

支气管扩张是指支气管树的异常扩张,是一种呼吸道的慢性化脓性炎症。反复发作的慢性炎症和纤维沉积或纤维化修复使支气管壁毁损,导致支气管持久扩张、变形,且这一过程是不可逆的。支气管扩张不是一种独立的疾病,多种直接或间接导致支气管壁受损的疾病均可导致支气管扩张。支气管扩张可称弥散性,也可仅有一两处病灶,一般支气管扩张多发生于中等大小的支气管,更细小的支气管则最终闭塞。
正常情况下,支气管壁可分为数层,在气道不同的部位,各层的厚度和成分均有差异。最内层(粘膜)及其下的组织(粘膜下层)所含的细胞,可保护气道和肺组织免受有害物质的损伤。这些细胞包括粘液分泌细胞、纤毛细胞(其表面的纤毛可清除气道内的颗粒物质和粘液),及其他细胞(参与免疫反应及其他防御机制的细胞)。弹力和肌肉纤维及软骨层等气道结构,具有调节气道口径的作用。血管和淋巴样组织具有气道营养和防御作用。

支气管扩张部位的支气管壁存在慢性炎症而遭到破坏,纤毛细胞受损或消失,粘液分泌增多。此外,支气管壁的正常张力丧失:受累支气管变得更大而松弛,向外突出,或形成囊状。粘液分泌增多有利于细菌滋生,常可阻塞支气管,导致感染性分泌物积聚而进一步损害支气管壁。炎症亦可扩展至肺泡,引起支气管肺炎,瘢痕形成,以及具有功能的肺组织减少。严重患者,肺内瘢痕形成和血管减少最终可加重心脏负担。此外,支气管壁的炎症和血管增多又可引起咯血。受累的气道闭塞将导致血氧含量异常降低。
-
支气管扩张的病因
引起支气管扩张的病因分先天性和继发性两种,一般以继发性支气管扩张最为多见。引起继发性支气管扩张的基本因素是支气管反复感染和阻塞,使支气管壁的炎症和破坏逐步加重,最终发展为支气管扩张。另外,支气管感染可触发局部的免疫反应,免疫反应异常造成局部组织的进行性损害。

一些常见病因:
1、下呼吸道感染:是儿童和成人支气管扩张最常见的病因,约占41%~69%,特别是细菌性感染、百日咳、支原体及病毒感染。
2、结核:支气管和肺结核是我国支气管扩张症的常见病因。
3、气道阻塞:儿童下呼吸道异物吸入是最常见的气道阻塞原因,成人也可因吸入异物或气道内肿瘤阻塞导致支气管扩张,黏液栓塞。
4、遗传性缺陷:纤毛缺陷(如纤毛不动综合征)、α1抗胰蛋白酶缺陷症、囊性纤维化。
5、免疫缺陷状态:先天性获得性丙种球蛋白缺乏症、慢性肉芽肿,免疫功能缺陷在儿童支气管扩张患者中常见。
6、先天性解剖缺陷:先天性支气管软骨发育不全、巨大气管-支气管症、支气管囊肿、食管气管瘘。
7、其他气道疾病:支气管哮喘也可能加重或诱发成人支气管扩张,弥漫性泛细支气管炎多以支气管扩张为主要表现
8、结缔组织病:大约有5%的类风湿关节炎患者肺部HRCT可发现支气管扩张,另外干燥综合征患者支气管扩张的发生率大约有60%,
9、其他:如有毒、有害物质吸入、药物滥用、HIV感染、马方综合征等。
-
支气管扩张的分类
目前常采用Reid 提出的分类方法,将支气管扩张分为以下三类:
1、柱状支气管扩张:这种支气管扩张的横截面是等大的。
2、囊柱状支气管扩张:在柱状支气管扩张上存在局限性的狭窄,使支气管外观不规则,类似静脉曲张的表现。
3、囊状支气管扩张:这种支气管扩张越靠近肺的外周扩张月明显,最终形成气球样的改变。
-
临床表现

支气管扩张可发生于任何年龄,但常发生于青少年。症状主要在疾病晚期开始出现,且多在呼吸道感染后出现,且逐渐加重。多数患者长期咳嗽、咳脓痰、反复咯血,咳痰的量取决于病情的轻重及是否合并感染,咯血为最常见的症状。
1、慢性咳嗽、大量脓痰。
2、反复咯血。
3、反复肺部感染。
4、慢性感染中毒症状。发热、消瘦、贫血等。
-
支气管扩张的检查方法
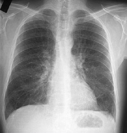
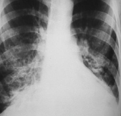
1、X线:病情较轻时仅表现为肺纹理增粗,病情加重时双肺可见环状透光阴影,呈卷发状或蜂窝状,常伴肺段或肺叶不张及炎症浸润阴影。

早期支气管扩张,双肺纹理增多、增粗。

典型支气管扩张,肺野内不规则的卷发状、蜂窝状阴影。
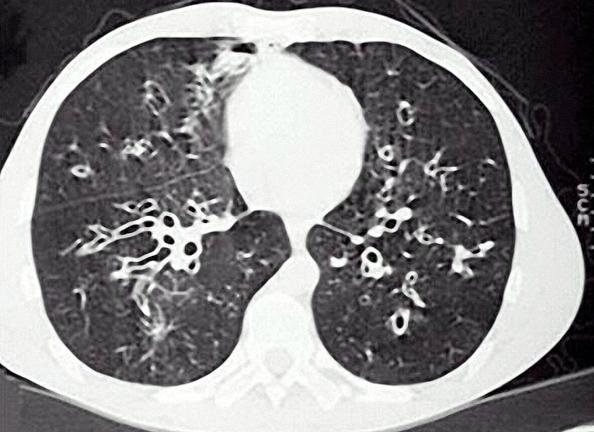
2、CT:HRCT已经代替了曾经的支气管造影检查,HRCT安全可靠,是目前确诊支气管扩张的主要方法,敏感性和特异性都大于95%,是临床诊断支气管扩张的“金标准”。

支气管扩张的CT表现,可见“*轨双**征”、“印戒征”。
3、纤维支气管镜检查:可明确出血、扩张或阻塞部位,并可进行局部灌洗。
来源:放射科那点事儿
商业转载请联系获得授权,非商业转载请注明出处,违者必究!
-----
如果您有更好的想法和建议,可以在下面留言给我们,也可以通过微信(搜索:xraystory)、微博(搜索:放射科那点事儿)、QQ(860921858)反馈给我们!有您的支持和帮助,我们将会更努力地为大家的健康服务!