在门诊,很多患者说,大夫,我怎么就得了慢性子宫内膜炎呢?我不痛不痒,没有任何不舒服呢~我也没有不洁的*行为性**啊~我家里人都没有这个病啊!
慢性子宫内膜炎属于慢性盆腔炎性疾病,是一种慢性、良性病变,临床症状轻微、不典型,容易被忽视。
部分与既往有急性子宫内膜炎、长时间阴道流血、人流史、宫腔操作、细菌性阴道炎、急慢性盆腔炎、输卵管积水等病史有关。

慢性子宫内膜炎对女性生育有不良影响,不少研究显示它导致不孕、反复种植失败、复发性流产等。文献报道,不孕患者中慢性子宫内膜炎的发病率在3%至57%不等。目前,我们中心的慢性子宫内膜炎的检出率约为27.18%(633/2329例)。
正因为慢性子宫内膜炎通常没有症状,临床上易被忽视。So,你没发现这个病,可能是没有去诊断,或者是诊断方法没选对....
目前确诊慢性子宫内膜炎主要靠宫腔镜检查及组织病理学检查,后者是诊断慢性子宫内膜炎的金标准。
宫腔镜下慢性子宫内膜炎的表现
子宫内膜基质的水肿、局部点状或弥散性充血、或散在直径小于1mm的微小息肉及草莓征等表现。

慢性子宫内膜炎的宫腔镜表现
组织病理学检查
显微镜下子宫内膜和间质发育迟缓,毛细血管和静脉窦增多并处于扩张状态,内膜间质内有数量不等的浆细胞及淋巴细胞浸润。而浆细胞是诊断慢性子宫内膜炎的唯一依据。
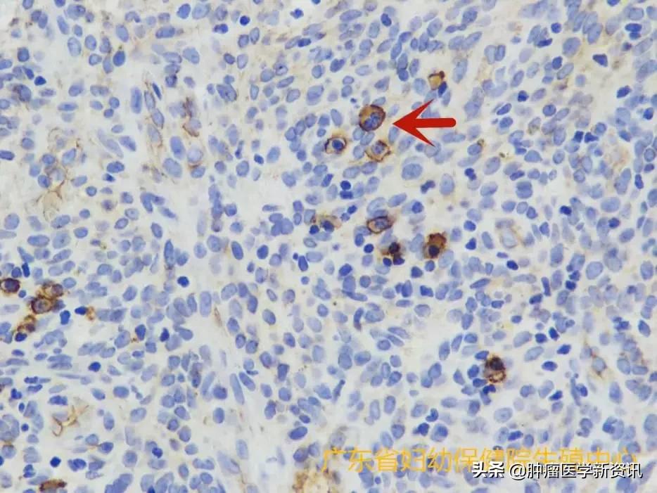
现本中心通过免疫组化检测浆细胞特异性表面抗原CD138诊断慢性子宫内膜炎,具有更高的敏感度和特异性。本中心诊断慢性子宫内膜炎标准:每400倍高倍镜视野下,子宫内膜间质中CD-138大于或等于5个。

CD138免疫组化染色判断标准:CD138免疫组化染色后在浆细胞胞膜可显示强阳性,胞质弱阳性为特征,视野下可见椭圆但偏于细胞一侧,染色质粗,沿核膜呈辐射状排列成车轮状。胞质成嗜碱性。
治疗子宫内膜炎的措施
确诊慢性子宫内膜炎后应尽早抗炎治疗,常规方案有:多西环素0.1g,一天两次,治疗2周;或左氧氟沙星0.4g联合甲硝唑0.5g,一天两次,治疗2周。如果进行了细菌培养,则根据药物敏感试验结果选择敏感的抗生素对因治疗。特别需注意的是,治疗期间需避孕哦!
其他治疗子宫内膜炎症的措施还包括: 宫腔整形、宫腔灌注、子宫内膜搔刮及免疫疗法等。对于子宫内膜结构异常, 我们可以进行宫腔镜手术, 比如内膜息肉摘除、子宫纵隔电切、宫腔粘连分离、黏膜下子宫肌瘤剔除等。
在 IVF周期监测过程中, 观察到内膜不均、内膜线不连续等情况, 我们也建议患者进行宫腔镜检查, 如有病理状态存在, 则尽早行宫腔整形术, 有利于助孕结局。
癌症的发生,是一个多因素、多阶段且复杂渐进的慢性过程,它通常是积累长达十几年甚至几十年的结果。除去已明确的致癌因素,如基因缺陷、内外致癌物质诱发等生物学及理化因素等,同时心理的、社会行为的因素也在癌症的发展中起着或多或少不可忽略的作用,特别是精神心理状态。

尽管癌症依然是一种严重威胁生命的疾病,但由于免疫治疗的出现,癌症变成了容易预防并可以治疗的疾病。虽然免疫疗法不能说可以治愈每一例的癌症,但根据事实表明,免疫疗法在许多癌症的治疗中效果不错。接受免疫治疗的癌症患者,在不同程度上获得了癌症缓解,有的患者即使癌细胞没有完全被控制住,但人却可以好好地生存,且生活质量较好、生命时限较长。
在21世纪,也许我们可能无法治愈所有的癌症,但是在大多数情况下,免疫治疗可以使我们可以与它们很好地“和平共处”,让得了癌症的患者能有生存质量的长期生存。人类应对癌症的主要目标是 “尽可能的延长有生存质量的生存时间”。
癌症免疫治疗
当人类机体察觉到细胞癌变发生的时候,机体会利用自身免疫力消灭癌细胞的防卫反应在医学上称为免疫应答。消灭癌细胞的免疫应答,大致可以分为两个阶段的反应。第一阶段称为先天免疫,是一个反应性高的过程,主要是排除刚发生,或者是复发的微小癌肿瘤;第二阶段称为获得性免疫,当先天免疫不能完全应付的时候,需要杀灭已经长大的肿瘤的时候,发挥清除效果。
担负初期癌细胞清剿行动的先天免疫,是白细胞中的中性粒细胞或嗜酸性粒细胞,此外,单细胞、巨噬细胞与NK细胞,这些细胞在癌变局部部位进行初期的癌细胞*伤杀**作用。紧接着,更有效、强有力的免疫应答,被称为获得性免疫的反应开始支援。在获得性免疫中的单细胞、巨噬细胞和树突状细胞(DC),这些抗原提呈细胞可以发现癌细胞的癌抗原信息,并将癌细胞的身份特征交付给攻击癌细胞的其它淋巴细胞做出重要的免疫反应。

人体要完全消除癌细胞,仅仅强化淋巴细胞是远远不够的,还需要找到潜藏在身体中的癌细胞,再把一部分癌细胞处理了之后变成癌细胞标记(肿瘤标志物),将信息输送至淋巴细胞处。根据所传递的明确肿瘤标志物信息,淋巴细胞在介导标记信息后,就开始包围癌细胞,通过免疫力对癌细胞进行剿灭。
癌症患者生存质量
传统癌症治愈的概念认为,延长癌症患者生存期的唯一条件是各种治疗手段能达到的无癌程度。而曾经人们为了追求杀灭清除癌症患者体内最后一个癌细胞,尽可能扩大的根治手术、大剂量多种药物的强化或冲击化疗、大射野的根治性放疗等。
迄今为止,传统3大癌症治疗方法所能达到的最高疗效大多都仅仅是短期的缓解癌症,癌症的复发转移仍然是难以解决的问题。而且,癌症患者经过传统的治疗后,普遍出现生存质量明显下降,甚至还会因不能耐受继续治疗而面临死亡。
癌症患者经过反复的放、化疗后,癌细胞容易产生抗药性,使放化疗的治疗敏感性降低。另外,癌症有极高的复发转移率,放化疗的使用容易增加患者的二次癌、三次癌的可能性。

然而,免疫疗法,在许多临床数据中表明,对癌细胞的转移及癌症复发有很好的控制作用。接受免疫治疗的癌症患者其生活质量和生命时长比未接受治疗的患者高,且发生转移、癌症复发的几率要低。因此,想要杀尽癌症患者体内的最后一个癌细胞,不仅是可不可能的问题,更是是否有这个必要与价值的问题。
美国临床肿瘤协会(ASCO)第38届年会上,欧美发达国家的许多相关医学人员提出他们对癌症治疗的新认识,并总结了他们过去的以癌病灶为中心的治疗思想,转向对癌症患者的总体呵护,提高患者的生存质量和社会适应能力。目前,国际上已将提高癌症患者生存质量,延长生存时间作为重要且主要的治疗指标,列入了肿瘤疗效评价标准。
中国抗癌协会临床肿瘤协作中心(CSCO)表示,有些癌症患者经过治疗后,癌症可以长期不进展,但也不缩小,虽然治疗的有效率看起来不高,但患者确实可以实现长期生存,同时其生存期拥有较好的生活质量。这对于广大癌症患者的治疗体验来说,是一个巨大的成功。

癌症治疗的目标应该是,且只能是尽可能的减少癌症疾病对患者生活与生存带来的不利影响,控制或减缓该病的发展或恶化态势,帮助癌症患者获得更高质量的生活,更长的生活时间。最重要的是,癌症治疗首先应强调的是高质量的生活,减轻患者的疼痛与不适,而后才是强调生存时间的延长。
6种复合免疫疗法与癌症患者生活质量状态
免疫治疗,作为癌症治疗的第4种手段,利用患者自身的免疫力对癌病灶进行控制。6种免疫疗法,增殖并激活患者的6种免疫细胞(辅助性T细胞、*伤杀**性T细胞、NK细胞、NKT细胞、γδT细胞与DC细胞),对癌细胞进行强有力的攻击及复发预防。6种复合免疫疗法在临床的治疗中暂未出现明显副作用,且据患者表示,他们的生活质量可以得到一定的改善。

通过对235名接受6种免疫疗法的癌症患者统计数据中表明,其中,有183名(78%)患者展示出了不同程度的治疗效果。这包括91名(39%)癌症患者达到肿瘤消失、或缩小了30%以上,这部分的患者生活质量得到了很大程度的改善;92名(39%)癌症患者达到肿瘤大小长期不变、无转移、肿瘤标志物下降或恒持的效果,这部分患者虽然肿瘤体积没有明显的变化,但是他们的生活质量相比接受治疗前提高了;有28名(12%)的癌症患者虽然肿瘤依然在逐渐变大,但是其变大速率变慢,肿瘤进展得到缓解,恶化进展缓慢,生命也得到了延续(如下图)。

总体而言,人类癌症治疗应将治疗重心放在在延长患者生命周期的同时,提高他们的生活质量,真正达到国际化的癌症治疗方针“实现保有高质量生存,同时拥有更长的生存周期”。
近年来,肿瘤细胞免疫治疗的发展越来越快,许多患者在求医的道路上茫然,如果有患者想咨询相关问题,可以点击我的头像私信咨询到我,我会尽我所能帮助到大家,给患者照亮求医之路。